叢生(八重歯、凸凹、乱食い歯)
下顎前突(反対咬合、受け口)叢生(八重歯、凸凹、乱食い歯)症例コラム
骨格性反対咬合を歯列矯正15か月で改善

Before

After
| 年齢 | 29歳 |
|---|---|
| 性別 | 男性 |
| 主訴 | 治療前のANBが-6°とかなり重度の骨格性の反対咬合でした。 受け口を治すのは諦めていたけど、改善できるなら歯列矯正を受けたいとのことでした。 本来なら外科的矯正治療が必要でしたが、今回は歯列矯正の範囲内での希望でした。 |
| 診断 | 両側アングルクラスⅢ 臼歯部交叉咬合、叢生を伴う反対咬合 |
| 矯正方法 | 矯正用アンカースクリューとマルチブラケットを用いたワイヤー矯正 |
| 矯正期間 | 15か月 |
| 費用 | 1,067,000円(税込み) |
| 調整料 | 5,500円(税込み) |
| 備考 | 矯正用アンカースクリューを下顎親知らず相当部に左右1本ずつ埋入し、下顎全体を後方に移動する計画とした。 上顎前歯は内側に倒れているので、外向きに倒す力を継続的にかけた。 治療開始8か月で反対咬合が改善した。 後戻りを考慮して、オーバー目に下顎全体を後方に移動させ、アンカースクリューと固定した。 骨格性の反対咬合を比較的短期間の15か月で改善することができた。 |
マウスピース矯正叢生(八重歯、凸凹、乱食い歯)症例コラム
周りに気づかれず歯並びを改善

Before

After
| 年齢 | 28歳 |
|---|---|
| 性別 | 女性 |
| 主訴 | 前歯を中心に歯並びのガタガタを認めた。 特に上顎前歯2本が内側に倒れ込んでおり、それを気にされていた。 マウスピースによる目立たない矯正装置を希望された。 |
| 診断 | 両側アングルクラスⅡ 上下顎前歯に叢生を伴う不正咬合 |
| 矯正方法 | 矯正用アンカースクリューを併用したインビザラインによるマウスピース矯正 |
| 矯正期間 | 17か月 |
| 費用 | 1,067,000円(税込み) |
| 調整料 | 5,500円(税込み) |
| 備考 | 臼歯関係がクラスII級であったため、口元の突出を抑えたいという希望を考慮し、矯正用アンカースクリューを併用する治療計画を立てました。 治療はインビザライン(マウスピース型矯正装置)を用いて実施しました。 具体的には、下顎の臼歯部にアンカースクリューを埋入し、矯正期間を通して、上顎のマウスピースを顎間ゴムで牽引しました。 その結果、口元を突出させることなく、美しい歯列を獲得することができました。 |
マウスピース矯正叢生(八重歯、凸凹、乱食い歯)症例コラム
時間効率の高いマウスピース矯正

Before

After
| 年齢 | 20歳 |
|---|---|
| 性別 | 男性 |
| 主訴 | 上下顎の前歯がガタガタで見た目が気になるので歯並びをきれいにされたいと希望されていた。 矯正装置はできるだけ目立たないものを希望された。 |
| 診断 | 両側アングルクラスⅢ 前歯の叢生を伴う不正咬合 |
| 矯正方法 | 矯正用アンカースクリューを用いて、奥歯を全体的に後方へ移動後 インビザラインによるマウスピース矯正で治療期間の短縮を狙う |
| 矯正期間 | 18か月 |
| 費用 | 1,010,000円(税込み) |
| 調整料 | 5,500円(税込み) |
| 備考 | マウスピース矯正に先立ち、奥歯に矯正用アンカースクリューとブラケットを装着して、奥歯の全体的後方移動を行った。奥歯なので、外から装置はほとんど見えない状態であった。 8か月行った後、インビザラインによるマウスピース矯正に移行した。 口元が前に出ないように配慮した治療計画だったので、従来マウスピース矯正単独なら2年くらい時間がかかるが、ワイヤー矯正を併用することで治療期間を短縮することができた。 |
叢生(八重歯、凸凹、乱食い歯)症例コラム
7歳のマウスピース矯正

Before

After
| 年齢 | 7歳 |
|---|---|
| 性別 | 女性 |
| 主訴 | 上下顎前歯のガタガタ |
| 診断 | ターミナルプレイン バーティカル 上下顎前歯叢生 |
| 矯正方法 | インビザラインファーストによるマウスピース矯正 |
| 矯正期間 | 6か月 |
| 費用 | 490,000円(税別) |
| 調整料 | 5,000円(税別) |
| 備考 | 前歯が永久歯に生え変わり、ガタガタが気になる患者さんでした。 第1期治療としてマウスピース矯正を行いました。 従来の床拡大装置を用いた第1期治療よりさらに短く、6か月で終了できました。 違和感も少なく、大変喜んでいただけました。 |
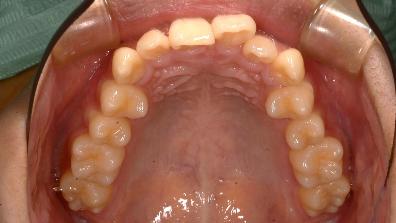
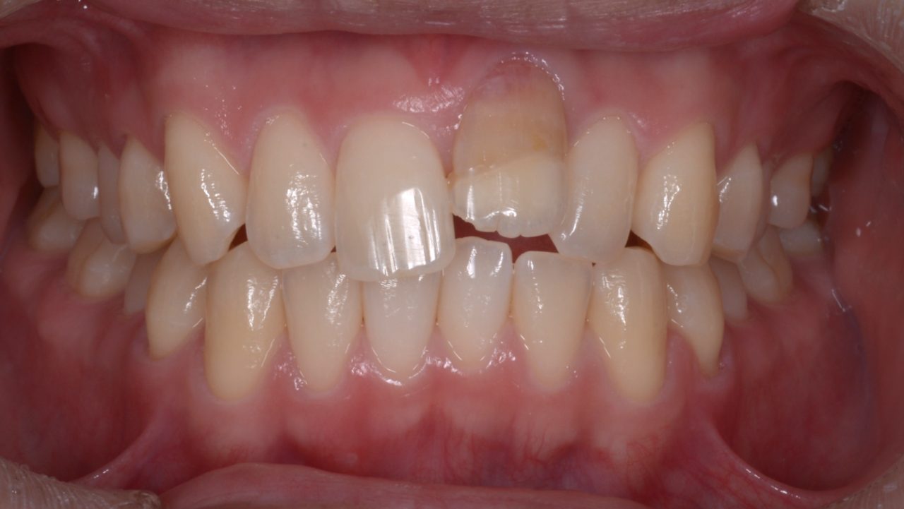
叢生(八重歯、凸凹、乱食い歯)症例コラム
マウスピース矯正とインプラントのコンビネーション

Before

After
| 年齢 | 19歳 |
|---|---|
| 性別 | 男性 |
| 主訴 | 色の変わった前歯を抜歯してインプラントにしてほしい |
| 診断 | 両側アングルクラスⅠ 上顎前歯叢生 左上中切歯 外部吸収と骨性癒着にて予後不良 |
| 矯正方法 | インビザラインによるマウスピース矯正 左上中切歯抜歯 同部位にインプラント |
| 矯正期間 | 18か月 |
| 費用 | 890,000円(税別) |
| 調整料 | 5,000円(税別) |
| 備考 | 10歳のときに外傷を受けた左上中切歯が骨癒着を起こし、予後不良の状態でした。 インプラントを計画しましたが、歯列不正があり、適正なインプラント治療ができないと診断したので、 インビザラインによるマウスピース矯正を行うこととしました。 インプラント予定歯の周囲の歯をきれいに並べることで自分の歯と区別がつかない自然なインプラントができました。 |
