開咬(オープンバイト)
open bite
開咬(オープンバイト)とは

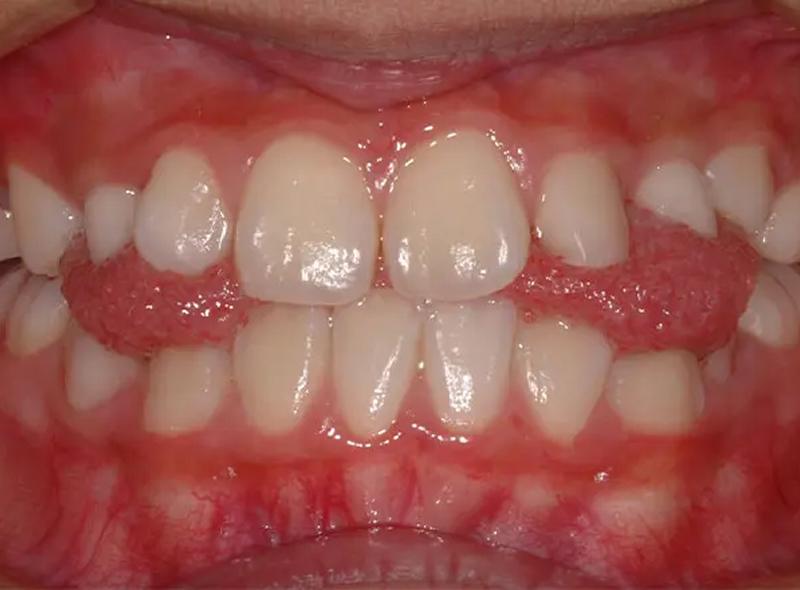
開咬とは前歯が噛んでいない噛み合わせのことです。
自分では不正咬合に気づきにくいですが、実は非常に問題のある噛み合わせです。
軽度であれば、見た目はほとんど気になりません。だから、自ら開咬の治療希望をされる方は少ないです。重度になると「前歯で食べ物が噛み切れない」という訴えが出ます。
ただ、舌を使って、器用に噛み切り、ハンバーガーやラーメンを難なく食べられる人もたくさんいます。この舌を使う癖が開咬の大きな特徴であり、大きな難関になります。
開咬(オープンバイト)詳細
★が多いほど悪くなります。(3段階)
こんなお悩みはないでしょうか?
- 前歯が噛み合わない
- 食べ物を噛み切りにくい
- 発音が不明瞭になりやすい
- 口が常に開いている(また口が開いていることによって口腔内が乾く)
開咬(オープンバイト)の原因
-
原因 01
歯を動かす舌癖

無意識に舌で歯を押す癖のことを舌癖(ぜつへき)と言います。舌は「スポット」と呼ばれる上の前歯の真裏にある上顎のふくらみにあるのが普通です。しかし、無意識のうちに舌を置く位置がズレると、圧力を受けた歯が動き、開咬の原因になります。
-
原因 02
指しゃぶりや頬杖の影響

お子さんが指しゃぶりの癖を持っている場合、開咬のリスクが高いため要注意です。幼少期に指しゃぶりをするのは普通ですが、4歳以上になっても指しゃぶりを続ける場合、骨格や歯並びに悪影響を及ぼす場合があります。頬杖やうつ伏せ寝なども、注意が必要な悪癖の一つです。
-
原因 03
遺伝や骨格の問題

両親や兄弟の中に開咬の人がいる場合は、骨格の遺伝が原因で開咬になる可能性があります。顎の骨の成長に合わせて症状が目立つようになるパターンが多いです。そのため、年齢を重ねて、永久歯が生え揃ってから開咬になる人もいます。
開咬(オープンバイト)をそのままにしていると・・・

奥歯に過度の負荷がかかる
しっかりとかむことで歯や顎などの口周りを鍛えられますが、開咬の人はかみ合わせの負荷を上手に分散させられません。これが奥歯に過度な負担をかける原因になります。その状態のまま長く放置すると、歯が脆くなり、劣化するおそれがあります。
口呼吸になりやすい
上下の歯に隙間が生じるため、常に口が開いている状態になりがちです。そのため、無意識のうちに口呼吸をする頻度が高くなります。
これにより生じる問題が、口腔内の乾燥です。乾燥すると雑菌が繁殖しやすくなるため、虫歯や歯周病を引き起こす原因となります。さらに口臭を強める可能性があることに加えて、アレルギーの悪化や、ウイルス感染のリスク増悪につながる恐れもあります。
噛む機能が上手くいかなくなる
歯間の隙間が広いため、力を入れて口を閉じても、上手に食べ物をかみ切るのが難しくなります。咀嚼が不十分な状態で飲み込むと、胃腸にかかる負担が大きくなるため要注意です。重症例の方は、ラーメンなどの麺類をかみ切れずに、舌を使って食べる人もいます。食事にかかる時間が長くなりがちなことも、開咬を治療せずに放置するデメリットです。
滑舌の影響
前歯に隙間があると空気が抜けやすく、発音に影響が出る場合もあります。 特に歯をすり合わせて発音する「サ行」や、舌先を上顎に密着させて発音する「タ行」は、開咬による影響を受けやすいです。舌足らずな喋り方になり、コミュニケーションに問題が生じる可能性もあります。
開咬(オープンバイト)の治療方法
開咬は最も治療が難しい噛み合わせの1つです。その大きな理由は舌癖が関与するからです。舌を上下顎の前歯の間に入れる習癖があると、矯正歯科治療で歯を動かそうとしても、なかなか噛んできません。また、1度は矯正歯科治療で前歯が噛んだとしても、後戻りしやすいと言えます。それでも、しっかり力をかけられる矯正装置で前歯を閉じてあげれば、前歯は噛むようになります。前歯が閉じれば、舌が入るスペースもなくなるので、徐々に舌癖も改善することが多いようです。
近年、様々な装置が開発され、従来は時間がかかっていた開咬の治療もかなり時間短縮されました。
舌癖の改善が開咬治療のカギを握る
開咬が先か、舌癖が先か、いずれにしろ、開咬と舌癖には切っても切れない深い関係があります。開咬の要因として最も多いのは前歯が萌出する小学低学年時に、舌を上下前歯の間に入れる舌突出癖とされています。開咬になった後は、しゃべるとき、つばを飲み込むとき、前歯で噛み切るときなどに舌を上下前歯の間に入れる習慣がついてしまい、開咬が重篤化する傾向があります。
矯正歯科治療をする際も、舌癖があると治りにくく、後戻りしやすくなります。だから、舌癖を改善するための装置や訓練が必要になることもあります。ただ、開咬が治れば、舌を入れるスペースがなくなるので、舌癖が改善することも多いようです。
見た目や噛みにくさが気にならなくても、絶対治療すべし
開咬は日常では困っていない人が多い噛み合わせです。しかし、それは若いときだけで、40歳を超えるころには奥歯や顎関節に大きな問題が生じます。開咬は「理想的な噛み合わせ」と真逆の噛み合わせのため、奥歯に大きな負担がかかり、経年的に奥歯を失っていくリスクが非常に高いです。自覚症状と噛み合わせのリスクの大きなギャップが開咬治療の大きな障壁になります。
成人で開咬の人は学生時代の歯科検診で何回かは指摘され、治療を勧められているはずです。
それは叢生や上顎前突とは違い、できれば治した方が良いというレベルではない勧告なのです。「気にならないから大丈夫です。」と思うかもしれませんが、見た目は気にならない噛み合わせだから要注意なのです。反対咬合と並び、歯の寿命を著しく短くする噛み合わせである開咬はできるだけ早期に治療すべきと言えます。
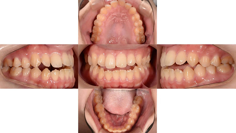
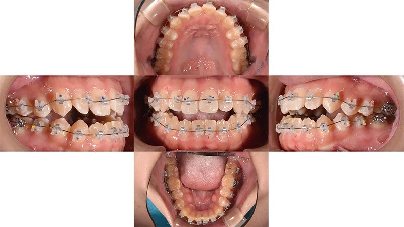
開咬(オープンバイト)の症例
Case01右上の歯が少なく、かみ合わせがずれている開咬を改善した症例
右上第2小臼歯が先天欠損していることを主訴に来院されました。歯数が足りないことも問題でしたが、前歯が噛んでいない「開咬」状態が最大の問題でした。矯正用アンカーを用いたマルチブラケットシステムによる矯正治療を行いました。歯の欠損部位にはインプラントによる欠損治療を行いました。機能的、審美的に良好な歯列状態を構築し、現在もメインテナンスで維持できるていることを確認できています。
口元比較 横側
Before
After
口元比較
Before
After
初診 2018.3.13

矯正治療開始 2018.5.18

ファイナル 2020.2.14

治療後3年 2023.2.16

| 主訴 | 右上の歯が少なく、かみ合わせがずれているので治したい |
|---|---|
| 診断 | 下顎の左方変位を伴う開咬 |
| 矯正方法 | 矯正用アンカーを用いた非抜歯によるマルチブラケットシステム |
| 矯正期間 | 18か月・20回 |
| 費用 | 930,000円(税別) |
| 調整料 | 月1回 5,000円(税別) |
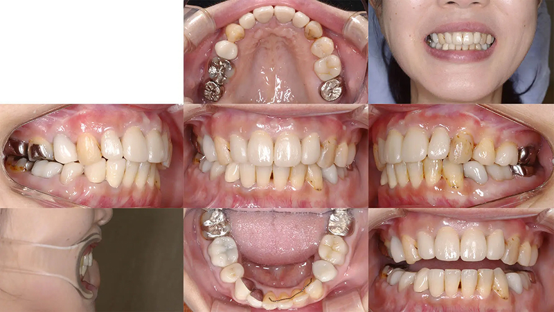
Case02右下の奥歯に痛みがでている開咬を改善した症例
奥歯の痛みを主訴に来院されました。嚙み合わせの状態を見ると前歯が噛んでいない「開咬」でした。開咬は奥歯に負担がかかる嚙み合わせで、痛みの根本原因と診断しました。矯正用アンカーを用いて、奥歯を圧下して、開咬を治す治療計画を立てました。開咬は後戻りしやすい病態なので、保定をしっかりしてメインテナンスをしています。
口元比較
Before
After
初診

矯正治療開始

治療終了

| 主訴 | 右下奥歯が痛い |
|---|---|
| 診断 | アングルクラスⅠの開咬 |
| 矯正方法 | 矯正用アンカーを用いた非抜歯によるマルチブラケットシステム |
| 矯正期間 | 15か月・17回 |
| 費用 | 970,000円(税別) |
| 調整料 | 月1回 5,000円(税別) |
Case03前歯でものが噛みにくい開咬を改善した症例
前歯でものが噛みにくく、舌を使って麺や葉物を噛み切っていました。だんだん前歯の空いているスペースが拡がってきたとのことでした。開咬は舌癖があるとなかなか治りにくい噛み合わせです。しかし、ゴムメタルワイヤーを用いることで比較的短期間で改善させることができました。前歯で何でも噛めるようになったと喜んでもらえました。
口元比較
Before
After
初診 2016.10.1

矯正治療開始 2016.10.28

ファイナル 2017.9.8

ファイナル 2017.9.8

| 主訴 | 前歯で物が噛み切れない |
|---|---|
| 診断 | 左側アングル1級、右側アングル3級の開咬 |
| 矯正方法 | 矯正用アンカーを用いた非抜歯によるマルチブラケットシステム |
| 矯正期間 | 11か月・13回 |
| 費用 | 730,000円(税別) |
| 調整料 | 月1回 5,000円(税別) |
Case04開咬や嚙み合わせで歯が悪くなっていた症状を改善した症例
年齢の割に神経が死んだ歯が多く、根尖性歯周炎になっている歯もいくつか認めました。歯の治療ももちろん行いますが、今までの履歴を考えると明らかに噛み合わせから歯が悪くなっていると診断しました。奥歯を圧下することで、噛んでいない前歯を噛ませました。顔が長い傾向だったので、咬合高径を下げ、小顔になるよう配慮しまいた。前方に出た前歯は上顎小臼歯2本を抜歯することで後方に引っ込めました。治療後の口元が劇的に改善されたのが分かります。歯の状態も含め、継続的なメインテナンスが必要です。
口元比較
Before
After
口元比較
Before
After
初診 2016.11.8

矯正治療開始 2017.2.6

矯正治療終了 2019.5.20

ファイナル 2019.10.3

ファイナル 2019.10.3

| 主訴 | 左上奥歯が痛い |
|---|---|
| 診断 | 両側アングル1級の叢生を伴う開咬 |
| 矯正方法 | 矯正用アンカーとゴムメタルワイヤーを用いた抜歯を伴うマルチブラケット |
| 矯正期間 | 27か月・29回 |
| 費用 | 770,000円(税別) |
| 調整料 | 月1回 5,000円(税別) |
Case05開咬や嚙み合わせで歯が悪くなっていた症状を改善した症例
左下第2大臼歯に根尖性歯周炎を起こし、咬合痛がある状態でした。若いのに下顎両側第2大臼歯が神経がなくなっており、噛み合わせの不正を疑う所見でした。原因は前歯がしっかり噛んでいない開咬の状態と診断しました。根管治療を行った後、矯正治療にて前歯が噛む状態を作りました。見た目的にはあまり変化はありませんが、機能的に大きく改善された症例です。
初診 2017.11.21

矯正治療開始 2018.2.15

矯正治療終了 2018.11.9

ファイナル 2019.1.28

ファイナル 2019.1.28

| 主訴 | 左下奥歯が噛むと痛い |
|---|---|
| 診断 | 両側アングル3級の開咬伴う下顎前突 |
| 矯正方法 | 矯正用アンカーを用いた非抜歯によるマルチブラケットシステム |
| 矯正期間 | 9か月・11回 |
| 費用 | 730,000円(税別) |
| 調整料 | 月1回 5,000円(税別) |
開咬(前歯が噛まない状態)でお悩みの方は
ぜひご相談ください

矯正治療において500症例以上の豊富な治療実績・15年以上の矯正治療経験があり、確かな技術力によって多くの患者さまの笑顔を実現してきました。
無料相談では、顔貌と口腔内診査を行い、あなたにあった矯正治療の概要を説明します。
当院での治療例をお見せし、治療期間や費用を概算します。
歯並びやお口の機能でお悩みがあればお気軽にご相談ください。
ご来院前に、お電話やネット予約にて事前予約をお願い致します。
- 【受付時間】
- 9:00~12:00/ 13:00~18:00 ※土曜日 …9:00~13:00
- 【休診日】
- 土曜午後、日曜、祝日
開咬(オープンバイト)のよくある質問
舌は口の中のどの位置にあるのが正しいですか?
舌の正しい位置は、上顎の裏でスポットといわれる場所です。前歯に押し当てるような癖がある方は、歯並びに影響が出る可能性があります。
また、舌が正しい位置にないと、発音や嚥下(飲み込み)の機能にも影響を及ぼすことがあります。舌の位置を改善するためには、MFT(口腔筋機能療法)などのトレーニングが有効です。
口を閉じると顎にシワが出来ます。直せますか?
前歯が前にでており、口が閉じにくい状態だと口が閉じにくく、シワが入る場合があります。歯科医院で歯並びを確認してもらいましょう。
また、口周りの筋肉(口輪筋)が衰えていると、無意識に力を入れて口を閉じるためシワができやすくなります。筋肉を鍛えるためのトレーニングや、リラックスした口元の状態を意識することも改善に役立ちます。
前歯で食べ物を噛みきることできない場合、矯正治療は必要ですか?
若いころは不便に感じない場合でも、年齢を重ねると奥歯や顎に大きな負担がかかることがあります。気になる場合はお早めに受診してください。
特に、前歯で噛みきる機能が低下していると、奥歯への過度な負担が原因で、将来的に歯の摩耗や顎関節症を引き起こす可能性があります。矯正治療だけでなく、噛み合わせのバランスを考慮した治療計画が重要です。
矯正治療をすることで、前よりかみ合わせが悪くなったけれど、どうすればよいの?
矯正治療は、歯だけでなく、顎の状態や姿勢も考慮して治療方針を決める必要があり、医師の知識や経験によっても治療に差があります。矯正中の違和感は一時的な場合もありますが、長期間続く場合は噛み合わせの調整が必要な可能性があります。気になる場合は、治療途中でも主治医以外の医師に相談「セカンドオピニオン」してみることをお勧めします。
開咬は自然に治ることがありますか?
軽度の開咬であれば、成長過程や生活習慣の改善によって自然に治る場合もあります。しかし、多くの場合は舌を前に押し出すなどの口腔習癖により開咬がひどくなるケースが多いため、矯正治療が必要になります。
開咬は子どものうちに治したほうがいいですか?
はい、成長期に治療を行うことで、比較的短期間で改善しやすくなります。特に、指しゃぶりや舌の癖が原因の場合は、早めに対応することで将来的な矯正治療の負担を軽減できます。小児矯正では、マウスピース矯正(プレオルソなど)や、舌のトレーニングを取り入れながら治療を行います。
顎の関節がカクカク鳴るのですが、原因は何ですか?
噛み合わせが不安定だと、顎の関節に余計な負担がかかり、関節の音が鳴ったり、痛みを感じたりすることがあります。この状態を放置すると、重度の顎関節症につながることもあるため、症状が続く場合は早めに専門医に相談するのがよいでしょう。
