理想的な噛み合わせ

ご自分の歯を一生守っていきたいと考えるなら、「噛み合わせ」について、最低限の知識が必要です。
むし歯と歯周病は感染症なので、歯みがきやフッ素、そして、食生活などで管理します。
- aキチンと歯みがきをしている
- b甘いものをあまり取らない
- cタバコも吸わない
それでも、むし歯や歯周病になりやすい、歯がしみる、そんな方は、噛み合わせに問題があるかもしれません。
噛み合わせは実に複雑でこんな1ページで語れるほど簡単なことではないのですが、基本的な形式を、知っているだけでも、非常に役に立つので、コラムとしてここでお話しさせていただきます。
Contents
理想的な歯並びと噛み合わせの違い
「理想的な噛み合わせ」を見るポイントはたった2つ
・「ポステリア サポート」
・「アンテリア ガイダンス」
この2つが確立されている噛み合わせはそうでないものより、歯の寿命を大きく延ばせます。
まず、「ポステリア サポート」、和訳すると「後方支持」となります。
両側奥歯の上下がきちんと噛み合っていること、これがポステリア サポートの条件です。
理想は小臼歯、大臼歯のすべてが噛み合っている状態です。
比較的若く、歯の欠損がほぼない場合はポステリア サポートの条件は満たしていることが多いです。
「奥歯でしっかり噛めないと、前歯に負担がかかって、前歯が悪くなる」これはイメージがつきやすいのではないでしょうか。
見た目がきれいなだけが理想の歯並びではない
矯正治療はアンテリア ガイダンスを得るのが最大の目的
「アンテリア ガイダンス」は和訳すると「前方誘導」です。
下顎を前後左右に動かし、上下の歯同士をギリギリしたとき、どの歯がよく当たるでしょうか?
理想的なのは前歯だけしか当たらない状態で、これをアンテリア ガイダンスが取れていると表現します。
アンテリア ガイダンスの条件を満たしていないと、奥歯に横揺れの過大な力がかかるため、クラックや修復物の変形脱離が起こりやすく、むし歯や歯周病、歯牙破折のリスクが高くなります。
矯正治療の目的は、患者さんの立場からすると見た目が1番かもしれませんが、歯科医の立場から、歯の長持ちを考えると、アンテリア ガイダンスを獲得することが何より重要なのです。
当院が行う矯正治療
| 主訴 | 前歯をきれいにしたい | 診断 | 叢生を伴う顕在的病的咬合 |
|---|---|---|---|
| 矯正方法 | 小臼歯4本抜歯を伴うマルチブラケット | 矯正期間 | 30か月 |
| 費用 | 矯正70,8000円(税別) 修復補綴 1,500,000円(税別) | 調整料 | 月1回 5,000円(税別) |
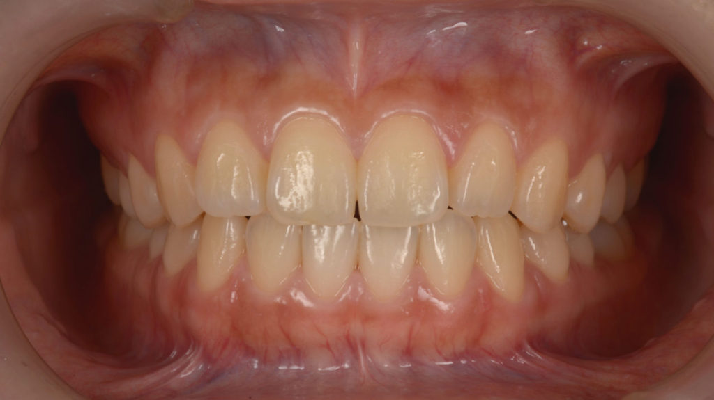
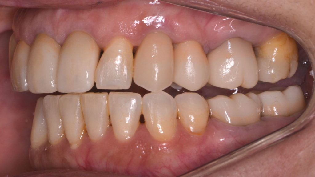
治療前



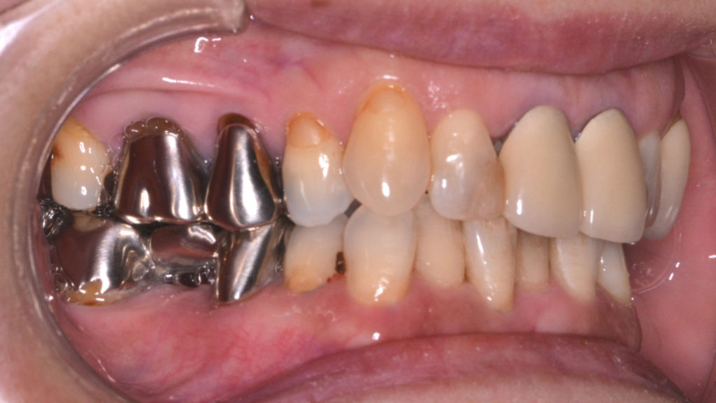
奥歯が干渉している状態
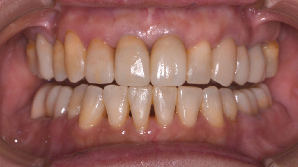
治療後



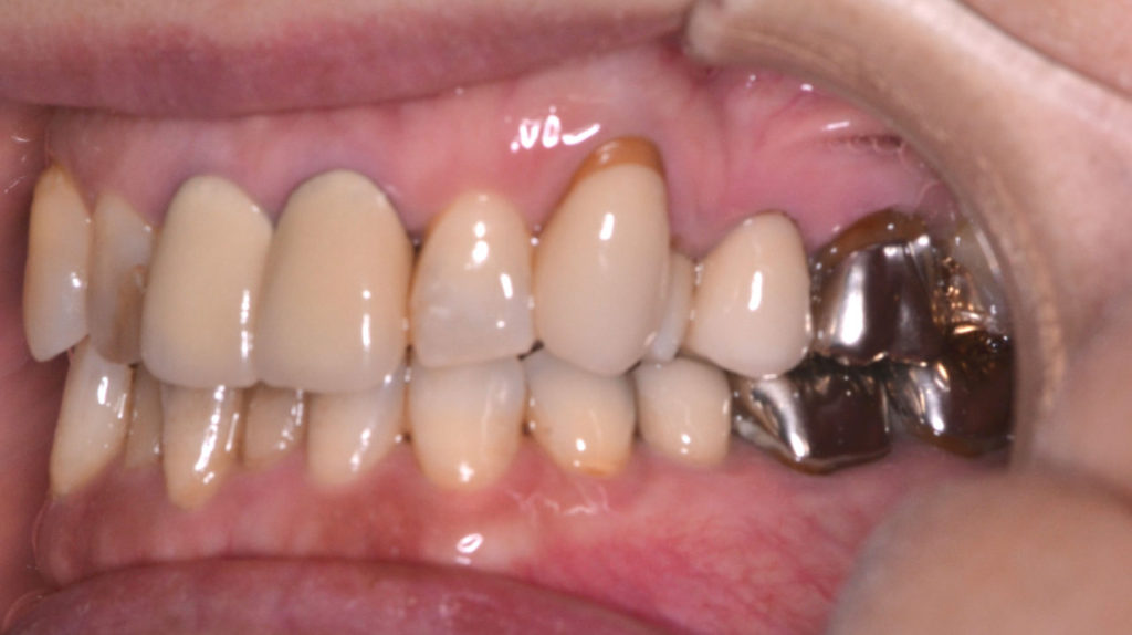
奥歯が干渉している状態
矯正を伴う咬合再構成を行った患者さんです。アンテリア ガイダンスが取れるようになりました。
まとめ
昭和歯科・矯正歯科の強み
・総合診療を行うからこその機能面も考慮した矯正
・15年以上の矯正治療経験
理想の歯並びは人それぞれです。
中には「本当に治療が必要なのか分からない」「子どもの歯並び、今のままで大丈夫?」と不安を抱える方もいらっしゃいます。
そんな疑問にお応えするため、専門的な視点から現状を丁寧にご説明いたします。
当院では無料で歯並びに関する相談を受け付けております。
ご気軽にご相談ください。
https://www.kyosei-shika.net/contact/#online
