舌側矯正治療
lingual
舌側矯正とは

主に歯の裏側に矯正装置をつけて、歯を動かす審美的な矯正方法です。矯正治療において、気にされる方が多い、「矯正装置が見えること」を解決しています。唇側矯正装置は既製品を使用しますが、舌側矯正装置は歯型をとって、オーダーメイドで作製します。したがって、作製までに期間がかかり、治療費も比較的高くなります。
ワイヤーも特殊で最終的な噛み合わせになるようにコンピューター上で細かく屈曲されたものを治療計画順に入れていきます。見た目を気にする方で、審美矯正を希望される方はこの舌側矯正かマウスピース型矯正になります。抜歯矯正の場合は舌側矯正、非抜歯矯正ならマウスピース矯正が基本適応です。
- 治療回数/期間
- 1カ月につき1回~2回 / 6カ月~3年
- メリット
-
- 矯正装置を舌側(歯の裏側)につけるので、外から見えにくい。
- 唇側(歯の表側)につけるより、むし歯になりにくい。
- 出っ歯、噛み合わせが深い症例はやりやすい。
- デメリット
-
- 費用が比較的高い。
- はじめしゃべりづらいことがある。
- 特別な技術が必要になるので、行っている歯科医院が少ない。
舌側矯正をおすすめする方
矯正治療のデメリットとなるのが見栄えの悪さです。歯列矯正に興味を持っている一方で、口を開けた時に矯正装置が見えてしまうことを嫌い、矯正を諦める方もいます。
そんな方におすすめできるのが「舌側矯正」です。舌側矯正は、歯の裏側に矯正装置を取り付ける治療法のため、口を開けても装置が目立ちません。そのため、次のような方には特におすすめできます。
- 矯正していることを
周囲に気づかれたくない方 - 成人式や結婚式など
人前に出る予定がある方 - 就職活動などを
控えている方 - 営業職などで
口もとが気になる方
舌側矯正と唇側矯正の比較
-
舌側矯正- 見た目の違い
-
- 装置が裏にあるので周囲に気づかれにくい。
- 口腔内の粘膜を傷つける可能性もあります。
- ケアのしやすさ
- 矯正器具が歯の表面についてないので、毎日のブラッシングしやすいとされています。
- 費用
- 症状による変動はありますが、唇側矯正よりは高くなる可能性があります。
-
唇側矯正- 見た目の違い
-
- 使用できる症例は多く汎用性があります。
- 表側についているので、気づかれる可能性も高い。
- ケアのしやすさ
- 表側に器具が付いているので、コツが必要になります。歯科医院で磨き方の指導を受けていただくことをおすすめしています。
- 費用
- 症状による変動はありますが、舌側矯正よりは安くなる可能性があります。
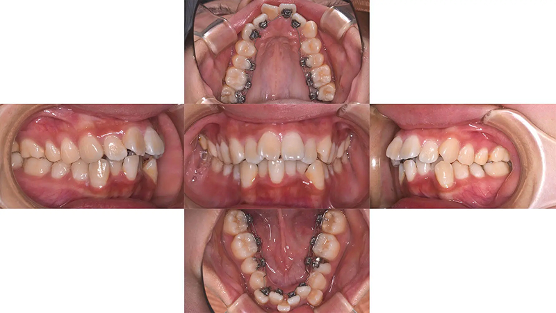
舌側矯正の症例紹介
Case01目立たない矯正装置で凸凹と出っ歯を改善した症例
歯並びは治したいが目立つ装置は付けたくない希望で来院されました。前歯の歯並びはかなり凸凹がひどく、口元も前方に出ている状態でした。診査の結果、第1小臼歯4本抜歯が必要と診断しました。抜歯矯正なので、マウスピース矯正より舌側矯正の方がきれいに仕上がると考えました。歯列は整い、口元もかなりすっきりして、「治療中のつらさも忘れられる」と非常に喜んでいただけました。
e-ライン 比較
Before
After
口元比較
Before
After
初診 2014.10.31

矯正治療開始 2015.1.14

ファイナル 2016.11.26

ファイナル 2016.11.26

治療2年後 2018.11.29

| 主訴 | 凸凹と出っ歯を舌側矯正で治したい |
|---|---|
| 診断 | 両側アングル1級の叢生 |
| 矯正方法 | 矯正用アンカーを用いた抜歯を伴うハーモニーシステムの舌側矯正 |
| 矯正期間 | 22か月・24回 |
| 費用 | 1,066,000円(税別) |
| 調整料 | 月1回 5,000円(税別) |
Case02目立たない矯正装置で出っ歯を改善した症例
上顎前歯が凸凹で前に出ているのを改善させることを希望して来院されました。診査の結果、抜歯と非抜歯のボーダーラインでした。歯を抜かないできれいになるなら、それに越したことはないので、非抜歯で行う診断をしました。また、目立たない装置を希望されたので、舌側矯正のハーモニーシステムを適応しました。初めは床矯正装置を用いて拡大しました。口元が美しくなり、笑顔の印象は格段によくなりました。
口元比較
Before
After
口元比較
Before
After
初診 2017.6.30

矯正治療開始 2017.8.16

矯正開始4か月 2017.12.26

矯正治療終了 2019.5.14

矯正治療終了 2019.5.14

| 主訴 | 前歯の出っ歯を治したい |
|---|---|
| 診断 | 両側アングル1級の叢生を伴う上顎前突 |
| 矯正方法 | 矯正用アンカーを用いたハーモニーシステムの舌側矯正 |
| 矯正期間 | 21か月・23回 |
| 費用 | 1,030,000円(税別) |
| 調整料 | 月1回 5,000円(税別) |
歯並びでお悩みの方・矯正をご検討の方は
ぜひご相談ください

矯正治療において500症例以上の豊富な治療実績・15年以上の矯正治療経験があり、確かな技術力によって多くの患者さまの笑顔を実現してきました。
無料相談では、顔貌と口腔内診査を行い、あなたにあった矯正治療の概要を説明します。
当院での治療例をお見せし、治療期間や費用を概算します。
歯並びやお口の機能でお悩みがあればお気軽にご相談ください。
ご来院前に、お電話やネット予約にて事前予約をお願い致します。
- 【受付時間】
- 9:00~12:00/ 13:00~18:00 ※土曜日 …9:00~13:00
- 【休診日】
- 土曜午後、日曜、祝日
舌側矯正のよくある質問
舌側矯正は、滑舌が悪くなると聞きました。どのような状態になりますか?
歯の裏側に矯正装置を装着するため、舌の動くスペースが狭くなり、舌の裏側に舌を付けて発音する音(サ・タ・ラ行)の滑舌が悪くなりやすいです。1ヶ月程で慣れてくる方が多いです。
歯の表に装着する矯正と、裏に装着する矯正は、仕上がりに違いがありますか?
矯正方法による仕上がりの差は、ほとんどありません。
矯正治療中ですが、口内炎がよくできます。防ぐ方法はありますか?
矯正装置がお口の中の粘膜に当たり、傷つけてしまうことで口内炎ができやすくなります。お口の粘膜の強化や再生に必要な栄養素は、タンパク質・ビタミンB6、ビタミンC、亜鉛などです。栄養素を意識した食事を心がけましょう。
