唇側矯正治療
labial
唇側矯正治療(ワイヤー矯正)とは

唇側矯正治療(ワイヤー矯正)とは従来型の装置で歯の唇側に装置をつける方法です。
ただ、昔とは違い、前歯につける部位には歯の色のブラケットを使用するので、あまり目立ちません。矯正装置としての歴史が長いので、様々な装置があり、適応範囲が広いと言えます。埋伏した親知らずの牽引、開咬の矯正は第1選択になります。
- 治療回数/期間
- 1カ月につき1回~2回 / 6カ月~3年
- メリット
-
- 歴史が最も長い治療方法なので、術式が多く、応用が利く。
- 治療費が比較的安い。
- デメリット
-
- 装置が比較的目立つ。
- 歯みがきが悪いとむし歯になりやすい。
ワイヤー矯正をおすすめする方
- できるだけ治療費を抑えたい方
- マウスピース型矯正装置で治療できない方
- 発音しにくい矯正装置は避けたい方
- 舌先に矯正装置が触れるのが気になる方
- よりスムーズで効率的な治療を求める方
- 矯正装置の見た目が気にならない方
ワイヤー矯正の症例紹介
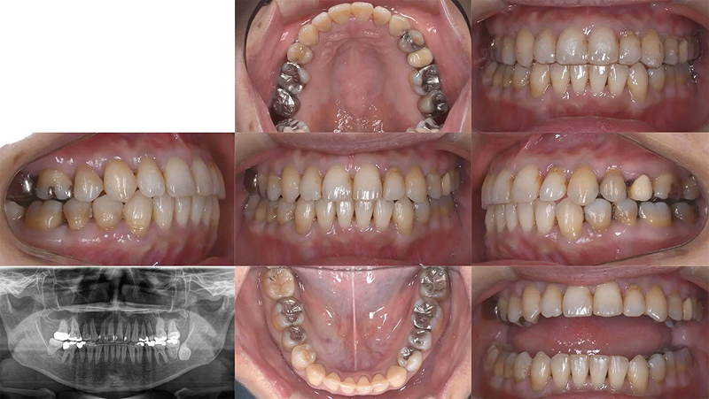
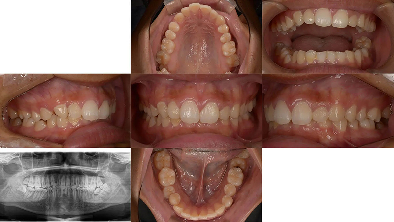
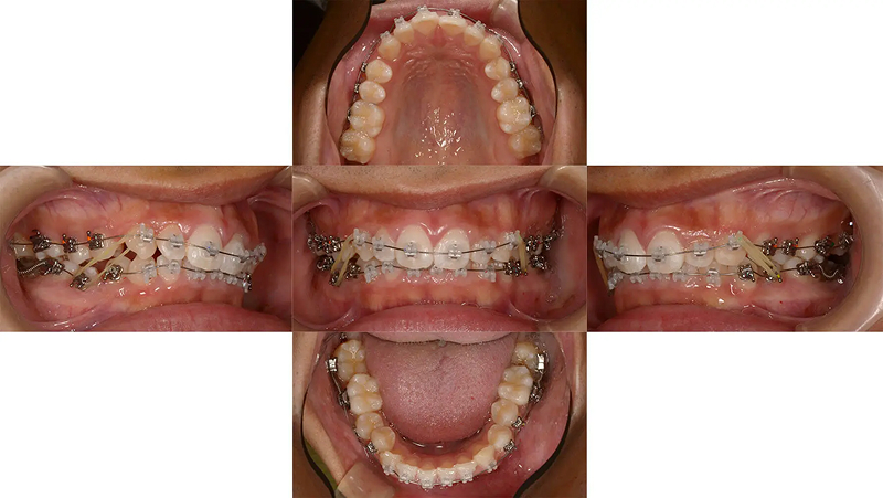
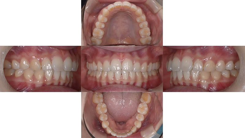
Case01右側奥歯が噛んでいない状態を親知らずを利用し改善した症例
右下第2大臼歯が親知らずの影響で予後不良の状態でした。第2大臼歯を抜歯して、矯正治療で親知らずを利用できないか相談にいらっしゃいました。右側奥歯は交差咬合でしっかり噛めていない状態でした。診査の結果、矯正用アンカーを用いた矯正治療で改善すると診断しました。親知らずは予定通り、第2大臼歯の位置に移動でき、抜歯の跡を隠すことができました。
口元比較
Before
After
初診 2016.5.13

矯正開始 2017.6.21

ファイナル 2018.9.4

ファイナル 2018.9.4

| 主訴 | 右側奥歯が噛んでいない、親知らずを利用できないか |
|---|---|
| 診断 | 両側アングル1級の叢生 |
| 矯正方法 | 矯正用アンカーを用いたマルチブラケット |
| 矯正期間 | 15か月・17回 |
| 費用 | 730,000円(税別) |
| 調整料 | 月1回 5,000円(税別) |
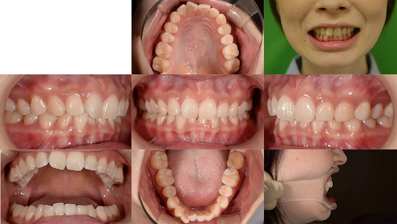
Case02前歯の凸凹を改善した症例
結婚式前に前歯の凸凹を治したいといらっしゃいました。叢生は軽度でタイムリミットは8か月でした。診査の結果、非抜歯なら十分に間に合うと診断しました。上下顎ともに少し側方拡大を行い、歯を並べました。2年後、問題なく経過しています。
口元比較
Before
After
初診 2017.3.23

矯正開始 2017.3.24

ファイナル 2017.10.27

治療2年後 2019.10.12

| 主訴 | 前歯の凸凹が気になる |
|---|---|
| 診断 | 両側アングル1級叢生 |
| 矯正方法 | オーバーレイアーチを併用したマルチブラケット |
| 矯正期間 | 7か月・9回 |
| 費用 | 690,000円(税別) |
| 調整料 | 月1回 5,000円(税別) |
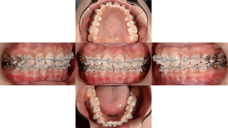
Case03左下の奥歯がとてもしみるを改善した症例
左下第1大臼歯の歯髄炎を主訴に来院されました。第2大臼歯が倒れこんでいるため、治療はできるが、歯質を多量に削合する必要があり、また、今後もむし歯リスクが高い状態が継続します。この環境から脱出するために歯列矯正を提案しました。倒れこんでいた下顎第2大臼歯は左右ともに整直し、過蓋咬合も改善しました。
口元比較
Before
After
初診 2017.8.1

矯正開始 2017.10.18

ファイナル 2019.8.12

ファイナル 2019.8.12

| 主訴 | 左下の奥歯がとてもしみる |
|---|---|
| 診断 | 両側アングル1級の叢生を伴う過蓋咬合 |
| 矯正方法 | 矯正用アンカーを用いたマルチブラケット |
| 矯正期間 | 24か月・26回 |
| 費用 | 730,000円(税別) |
| 調整料 | 月1回 5,000円(税別) |
歯並びでお悩みの方・矯正をご検討の方は
ぜひご相談ください

矯正治療において500症例以上の豊富な治療実績・15年以上の矯正治療経験があり、確かな技術力によって多くの患者さまの笑顔を実現してきました。
無料相談では、顔貌と口腔内診査を行い、あなたにあった矯正治療の概要を説明します。
当院での治療例をお見せし、治療期間や費用を概算します。
歯並びやお口の機能でお悩みがあればお気軽にご相談ください。
ご来院前に、お電話やネット予約にて事前予約をお願い致します。
- 【受付時間】
- 9:00~12:00/ 13:00~18:00 ※土曜日 …9:00~13:00
- 【休診日】
- 土曜午後、日曜、祝日
唇側矯正のよくある質問
金属アレルギーなので矯正ができるか心配です。
金属アレルギーの方でも反応する金属が違うので、ご自身が何の金属に反応するかを事前に調べる必要があります。それにより、アレルギー反応が出ない装置での矯正をお選び頂けます。
矯正治療で、顔が変わることがありますか?
歯並びが輪郭や顔の表情筋に影響を与えている場合、矯正治療により、顎のラインや横顔、表情が変わることはよくあります。
抜歯をせずに矯正することはできませんか?
もちろん、症状によっては非抜歯で治療できる場合もあります。しかし、スペースが不足している状態で無理に並べようとすると、歯列の幅が広がりすぎたり、後戻りしやすくなることもあります。診断結果に基づいて最も適した方法をご提案しますので、ご相談ください。
出産の予定がある妊婦です。矯正治療はできますか?
基本的に妊娠中でも矯正治療の制限はありません。
特にマウスピース矯正なら、ストレスも軽減されます。
初期でつわりが強い場合はその時期が終わってからを推奨しています。
矯正していてもスポーツや楽器の演奏などはできますか?
スポーツはできますが、お顔や口元をぶつける可能性が高い激しいスポーツは、怪我に繋がることもあります。楽器の演奏は、種類にもよりますが、定期演奏会や大会前での治療は避けた方がよいかもしれません。
