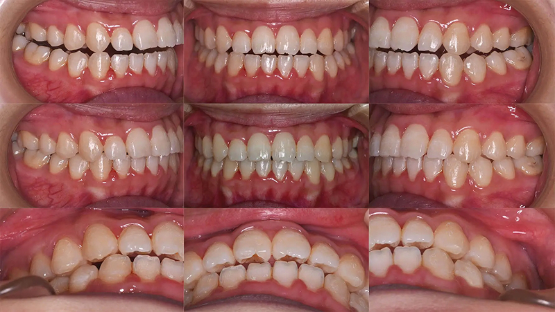
叢生(八重歯、凸凹、乱食い歯)
crowded
叢生(八重歯、凸凹、乱食い歯)とは

歯がガタガタに並んでいる状態を「叢生」といい、最も多い不正咬合です。八重歯も叢生の一種です。
近年、食べ物の軟化に伴い、顎の成長が悪くなっているため、年々多くなっていると言われています。歯と歯の間が磨きにくく、清掃不良となるので、むし歯や歯周病のリスクが高まることが大きな問題です。
叢生(八重歯、凸凹、乱食い歯)
★が多いほど悪くなります。(3段階)
こんなお悩み、症状はないでしょうか?
- 歯並びが歪んでいる気がする
- デコボコになった歯並びにお口のケアしずらい
- お口が閉じづらい
- 唇などに傷がつくときがある
叢生(八重歯、凸凹、乱食い歯)の原因
-
Reason 01
先天的遺伝の要素

顎の骨の大きさは遺伝的な要因で決まることが多いです。親御さんの顎が小さい場合、お子さんの顎も小さくなりやすく、歯が生えるスペースが限られます。これが八重歯の原因になることがあるのです。
-
Reason 02
顎の発達が遅い

叢生の原因として特に多いのは、歯の大きさに対して顎が小さすぎることです。顎が小さいと、全ての永久歯が適切な間隔で並ぶスペースを確保できません。結果的に、後から生える永久歯が押し出されて、八重歯ができてしまいます。
-
Reason 03
乳歯のむし歯

八重歯は後天的な原因で発生することもあり、その理由として多いのが乳歯の虫歯を放置したことです。虫歯は乳歯を溶かしてしまい、乳歯のサイズが小さくなる場合があります。結果として永久歯が生えるスペースが減り、叢生の原因となるのです。
叢生をそのままにしていると…

ケアのしづらさから虫歯や歯周病になりやすい
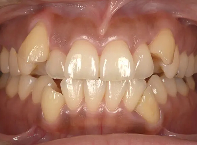
歯列弓はアーチ状ですが、八重歯はそこからはみ出して生えるため、歯並びがデコボコになります。
歯並びが複雑になると、歯ブラシの毛先が届きにくい部分ができ、磨き残しが多くなるでしょう。磨き残した部分にはプラーク(歯垢)が付着し、これが虫歯や歯周病を引き起こします。
犬歯が出ていることで口内炎になりやすい
叢生になる部分は一般的に「犬歯」と呼ばれており、前歯から数えて3番目にあります。犬歯は全ての歯の中で最も歯根が長い歯です。犬歯が飛び出すと唇に干渉し、唇を巻き込んで噛んでしまうことが原因で、外傷性の口内炎ができやすくなります。
歯列矯正を行うと、このような原因で起こる口内炎を防ぎやすくなるでしょう。口内炎を何度も繰り返している方には、歯列矯正をおすすめします。
見た目のコンプレックスにつながる可能性も
笑った時など、口を開けた時に前歯の不規則さが目立つため、コンプレックスを抱く原因にもなります。特に思春期のお子さんにとっては悩みの種になるでしょう。
上下の歯のかみ合わせが合わず歯に負担がかかる
奥歯がしっかりとかみ合い、歯ぎしりした時は犬歯だけが当たる状態が、理想的なかみ合わせの状態と言われています。しかし、八重歯は犬歯が外側に飛び出した状態のため、下の犬歯とかみ合わず、かみ合わせが機能しないケースがほとんどです。
ここで問題となるのが、本来犬歯が支えるべき歯を、周囲の別の歯が支える状態になることです。この状態のまま放置すると、周囲の歯に過剰な負担がかかり「欠ける」「摩耗する」「割れる」などの問題が発生しやすくなります。
叢生(八重歯、凸凹、乱食い歯)の治療方法
ガタガタに並んだ歯をきれいな弧を描くように並べるには主に5つの方法があります。
- A臼歯遠心移動
- B側方拡大
- C唇側傾斜
- DIPR
- E抜歯
これらの5つを単独もしくは組み合わせて叢生を改善します。基本的には非抜歯で行いたいため、A~Dで叢生を解消できるか診査診断します。
ポイントは口元です。口元が標準範囲内で行えるなら、非抜歯での矯正治療になります。A~Dだけでは口元が出てしまう場合は「E 抜歯」を検討することになります。ただ、これは理論上のことなので、実際は患者さんの希望を考慮して治療計画を立てます。例えば、口元が少し出たとしても、絶対抜歯はしたくない方は、仕上がりの口元の感じを考慮の上で、非抜歯で行います。逆に、分析上治療後の口元が標準内だとしても、最大限引っ込めて欲しい方もいます。そんな方は抜歯矯正を行い、できるだけ希望の口元になるようにします。ただ、医療ですので、機能が損なわれるような無茶な治療計画は立てられませんので、ご了承ください。
歯を長持ちさせたいなら、八重歯はダメ
好発部位は下顎前歯に最も多く、上顎前歯、特に犬歯は八重歯になりやすいです。
「八重歯はかわいい」とされる場合がありますが、それは若いときだけで、歳をとるにつれて、歯ぐきが下がったり、さらに目立つようになったりして醜くなります。
芸能人でも出たてのころは八重歯だとしても、30歳前には矯正してきれいに並んでいるのがわかります。八重歯の最大の問題はアンテリアガイダンスがとれず、奥歯がディスクルージョンしないことです(詳しくはコラムの「理想的な噛み合わせ」をご参照ください)。要するに奥歯に負担がかかりやすく、奥歯から歯を失っていく噛み合わせなのです。前歯の叢生は口元の印象に大きな影響を及ぼします。また、叢生は経年的に悪化する傾向にあります。
健康面、審美面どちらを考えても、早期に治療したい噛み合わせです。
子どもの歯並びの悩みで一番多い叢生
子どもの歯並びに関する問題として特に多いのが叢生(そうせい)です。叢生に代表される、歯並びが悪い状態のことを「不正咬合」と言います。
不正咬合は歯の大きさに対して顎の骨が狭いために起こることがほとんどです。歯ブラシが届きにくい箇所が生まれるため、プラーク(歯垢)が溜まりやすく、虫歯や歯周病の原因となります。
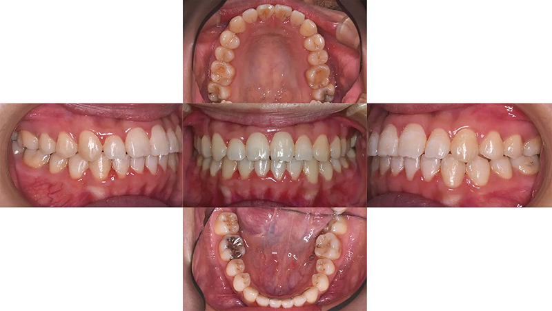
叢生(八重歯、凸凹、乱食い歯)の症例
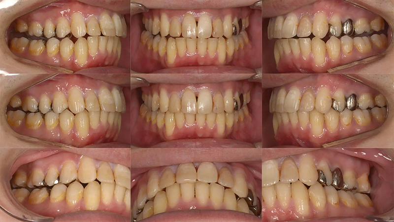
Case01全体的な凸凹を改善した症例
大学4年生の5月に来院して、卒業までに矯正治療が終わるかということでした。就職すると歯科医院に通院するのが難しいからと強い希望を持っていました。診査の結果、歯列の拡大で行えギリギリ間に合う診断をしました。矯正治療後、審美治療を行う時間もあり、十分、納得のいく治療をすることができました。
口元比較
Before
After
初診 2017.5.24

矯正治療開始 2017.6.19

矯正治療終了(9か月) 2018.3.6

矯正治療終了(9か月) 2018.3.6

ファイナル 2018.3.16

| 主訴 | 全体的な凸凹を治したい |
|---|---|
| 診断 | 両側アングル1級の叢生 |
| 矯正方法 | オーバーレイアーチを用いたマルチブラケット |
| 矯正期間 | 9か月・10回 |
| 費用 | 750,000円(税別) |
| 調整料 | 月1回 5,000円(税別) |
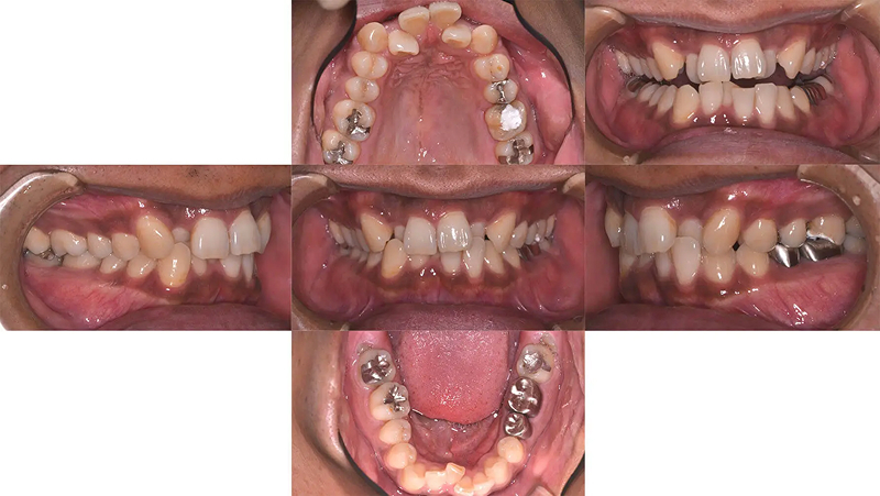
Case02前歯の凸凹を改善した症例
前歯の凸凹が著しい状態でした。清掃がしにくく、上顎側切歯がロックされていました。むし歯治療とともに矯正治療をすることになりました。診査の結果、歯列にスペースがないことがわかりました。口元をきれいにし、歯列を整えるには小臼歯4本抜歯が必要と診断しました。仕事をしながらなので、通院が少し大変でしたが、無事きれいな歯列を獲得できました。
初診 2014.10.16

矯正治療開始 2014.11.26

矯正治療終了 2016.7.12

ファイナル 2016.12.22

ファイナル 2016.12.22

治療後2年半 2019.6.24

| 主訴 | 前歯の凸凹を治したい |
|---|---|
| 診断 | 両側アングル1級の叢生 |
| 矯正方法 | 小臼歯4本抜歯を伴うマルチブラケット |
| 矯正期間 | 20か月・21回 |
| 費用 | 746,000円(税別) |
| 調整料 | 月1回 5,000円(税別) |
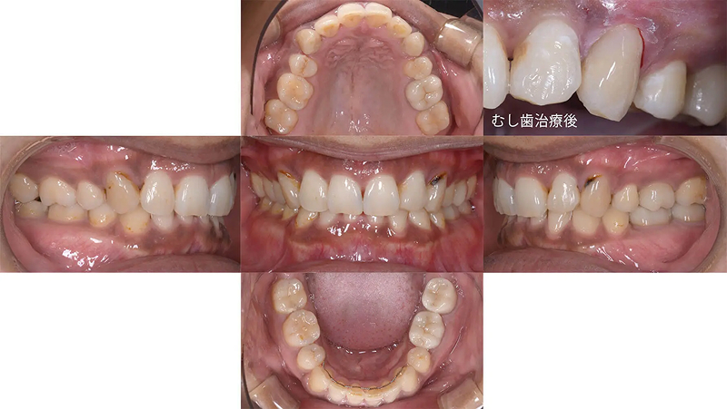
Case03前歯の凸凹を改善した症例
上顎前歯が重なって生えているのを気にされて来院されました。昔から気になっていたが、治療する機会がなく、今回、時間と費用を捻出できそうなので、決断したとのことでした。凸凹は強いですが、口元が元々出ていないタイプだったので、診査の結果、歯列を拡大するだけで非抜歯で可能と診断しました。3年後も安定した状態を保っています。
初診 2015.10.17

矯正治療開始 2015.10.31

ファイナル 2016.5.13

ファイナル 2016.5.13

治療3年後 2019.6.8

| 主訴 | 前歯の凸凹が気になる |
|---|---|
| 診断 | 両側アングル1級の叢生 |
| 矯正方法 | オーバーレイアーチを用いたマルチブラケット |
| 矯正期間 | 6か月・7回 |
| 費用 | 690,000円(税別) |
| 調整料 | 月1回 5,000円(税別) |
叢生(八重歯、凸凹、乱食い歯)で
お悩みの方はご相談ください

矯正治療において500症例以上の豊富な治療実績・15年以上の矯正治療経験があり、確かな技術力によって多くの患者さまの笑顔を実現してきました。
無料相談では、顔貌と口腔内診査を行い、あなたにあった矯正治療の概要を説明します。
当院での治療例をお見せし、治療期間や費用を概算します。
歯並びやお口の機能でお悩みがあればお気軽にご相談ください。
ご来院前に、お電話やネット予約にて事前予約をお願い致します。
- 【受付時間】
- 9:00~12:00/ 13:00~18:00 ※土曜日 …9:00~13:00
- 【休診日】
- 土曜午後、日曜、祝日
叢生(八重歯、凸凹、乱食い歯)のよくある質問
叢生(歯がガタガタ)にならない予防策はありますか?
毎日よく噛んで食事をすることです。あごの骨を大きく成長させることで、歯が生える空間を作ることができます。
また、口呼吸の習慣や舌の位置の異常も、顎の成長に影響を与えることがあるため、早めにチェックして改善することが大切です。さらに、指しゃぶりや頬杖などの癖があると歯並びに悪影響を及ぼすため、これらの習慣にも注意することが予防につながります。
八重歯を残したまま矯正はできますか?
お口の状況によりますが、歯を残したまま矯正治療をしたい場合は、歯科医院に相談してください。2つ以上の専門医に話を聞くと、より幅広い提案の中から治療を選ぶことができます。八重歯を残すことで見た目の特徴を生かしながら歯並びを整える方法もありますが、清掃性や噛み合わせに問題がないか慎重に判断することが重要です。また、非抜歯での矯正が可能な場合でも、歯列の幅を広げる装置や部分矯正を併用することが多いです。
矯正で抜歯や歯を削る可能性はありますか?
あります。歯の大きさと顎の広さのバランスが悪い場合、元の歯を抜歯したり削ったりすることで、バランスを整えます。無理に歯並びだけ動かそうとすると、噛み合わせに悪影響を与えることがあります。
ただし、近年では歯を抜かずに矯正する方法(非抜歯矯正)も増えており、歯列を広げる装置やスライス(歯を少し削る方法)を活用することで対応できるケースもあります。最適な治療法を選ぶためには、事前の精密検査を行い、抜歯の必要性を慎重に判断することが大切です。
八重歯をそのままにしておくと、良くないですか?
八重歯は、他の歯に重なるように生えてくるので、ブラッシングが行き届かず、虫歯や歯周病というトラブルが起きる可能性が高いです。ただし、トラブルが起きていないのに必ず治療する必要はありません。
しかし、歯並びが悪いことで噛み合わせが不安定になり、顎関節症や肩こりなどの全身の不調につながることもあります。
叢生の矯正治療は痛みがありますか?
矯正治療の初期や調整後に、歯が動くことで軽い痛みを感じることがあります。通常は数日で慣れることが多く、痛みが強い場合は痛み止めを使用することもできます。マウスピース矯正はワイヤー矯正に比べて痛みが少ない傾向があります。
八重歯を治療した後、歯が動き続けることはありますか?
治療後、歯が少しずつ動くことがあります。これは、歯の骨と歯茎が新しい位置に馴染む過程で起こります。そのため、治療後もしばらくは歯科医院で定期的に経過を見てもらい、必要に応じて微調整を行うことが重要です。また、歯の後戻りを防ぐために、リテーナー(保定装置)を適切に使用し、指示された期間しっかり装着することが大切です。
