子どものマウスピース矯正
pediatric mouthpiece
小児期のマウスピース矯正「インビザライン・ファースト」

インビザライン・ファーストとは、小学生向けに作られたマウスピース型の矯正装置です。
インビザラインは、永久歯が生え揃う中学生以降の大人向けマウスピース矯正として普及しました。現在は技術の進歩により、乳歯と永久歯が生え変わる前のお子さんにも、インビザライン・ファーストで治療することが可能になっています。
- 治療回数/期間
- 2カ月につき1回~2回 / 1年~7年(通期)
- メリット
-
- 透明なので治療中なのが気付かれにくくなります
- 取り外しができるので、ケアがしやすくなります
- 取り外しができるので、装着時の圧迫感や痛みが少なくなります
- デメリット
-
- 一日の中で、長時間装着していただく必要があります
- 長時間装着の必要がある為、保護者の協力が欠かせません
インビザライン・ファーストが選ばれる理由
-
Reason 01
非抜歯矯正ができる

通常の矯正治療は、抜歯が必要になる場合があることがデメリットです。永久歯が生えるスペースを確保するために、健康な歯を抜歯するケースが目立ちます。
しかし、インビザライン・ファーストは、乳歯と永久歯が混在している状態から治療を開始できる為、永久歯の生えるスペースを確保できる可能性が高く、抜歯をせずに歯並びを整えやすい治療方法といえます。 -
Reason 02
治療中だと周囲に気づかれない

小学校入学後は多感な時期と重なり、周囲の目を気にするお子さんが多くなります。この時期にワイヤー矯正を行うと、装置が目立つなどの理由により、矯正治療に嫌悪感を抱くお子さんも多いです。
マウスピースは透明なため、外から見られても矯正装置が目立ちません。また、食事の時や音楽・体育といった授業の時はマウスピースを取り外せます。そのため、日常生活への影響が最小限です。 -
Reason 03
治療回数・期間が短くなることも

一般的な矯正治療の場合、1か月に一度のペースで歯科医院に通い、矯正装置の調整を受けなければなりません。一方のインビザライン・ファーストは、基本的に2か月に一度(初回のみ1か月後)の通院で済みます。治療完了までに必要なマウスピースを最初に全て作るため、メンテナンスの必要がないのです。そのため、勉強や部活、習い事が忙しいお子さんも、気軽に矯正できます。
インビザライン・ファーストをおすすめする方
インビザライン・ファーストをおすすめできるのは、乳歯から永久歯に生え変わる6歳~12歳までのお子さんです。
この時期から治療を始めると、顎の成長をコントロールでき、将来の歯並びに好影響が及びます。
- 乳歯の歯並びが悪いと診断された方
- 矯正装置を目立たせたくない方
- 日常・学校生活への支障なく矯正治療をしたい方
- ワイヤー矯正の違和感を避けたい方
インビザライン・ファーストの流れ
-
01
無料カウンセリング
当院では、小児矯正をお考えの方に、無料のカウンセリングを実施しております。お子さんと親御さんの双方にご参加いただき、治療内容・費用・期間などを詳しくご説明いたします。

-
02
事前の精密検査
歯科用CTや口腔内スキャナーなどの先端機器を使用して、お子さんの口周りを精密検査いたします。
当日の検査の場合は5,000円、後日検査を受ける場合は10,000円がかかります。
-
03
治療計画の説明~ご契約
精密検査の結果を分析し、お子さんに合った治療計画を作成いたします。治療計画の内容は、専門用語を避け、わかりやすく説明するためご安心ください。
治療計画にご納得いただきましたら矯正治療をスタートします。
-
04
インビザライン・ファーストを使った歯列矯正(ステージ1)
マウスピースを作製し、ステージ1の治療開始となります。治療期間中は、毎日20時間ほどマウスピースを装着いただくようお願いしております。

-
05
保定期間と経過観察
ステージ1の治療期間は1年~1年半が目安です。その後は歯の後戻りを防ぐための保定期間に入ります。この期間は、保定装置と呼ばれる装置を装着していただきます。
-
06
インビザライン・ファーストを使った歯列矯正(ステージ2)
永久歯が全て生え揃った12歳~13歳頃からステージ2の治療に移ります。治療期間中は、ステージ1と同様にマウスピースを装着していただき、永久歯の歯並びを整えます。
-
07
治療完了
ステージ2の治療計画完了をもって、治療は終了です。メンテナンスが必要なため、歯科医師がご案内する間隔を守り、定期的にご来院ください。

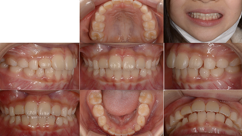
インビザライン・ファーストの症例紹介
Case01インビザライン・ファーストによる矯正治療例
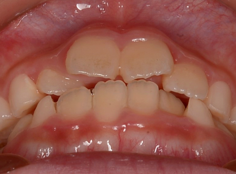
お子さんの前歯のガタガタが気になると来院されました。今の歯並びも気になるが、大人の歯に生え変わった後も綺麗な状態にしてあげたいという保護者のご希望があり、小児矯正から生え変わったあとの矯正までをしっかりとサポートする「通期矯正」を行いました。
口元比較
Before
After
口元比較 横側
Before
After
初診 2021.7.31

レントゲン図

矯正開始1か月 2021.9.18

矯正開始2か月 2021.10.30

ファイナル 2022.2.12

| 主訴 | 上下顎前歯のガタガタ |
|---|---|
| 診断 | ターミナルプレイン バーティカル 上下顎前歯叢生 |
| 矯正方法 | インビザラインファーストによるマウスピース矯正 |
| 矯正期間 | 6か月・8回 |
| 費用 | 490,000円(税別) |
| 調整料 | 月1回 5,000円(税別) |
お子さまの歯並びでお悩みの方・矯正をご検討の方は
ぜひご相談ください

矯正治療において500症例以上の豊富な治療実績・15年以上の矯正治療経験があり、確かな技術力によって多くの患者さまの笑顔を実現してきました。
無料相談では、顔貌と口腔内診査を行い、あなたにあった矯正治療の概要を説明します。
当院での治療例をお見せし、治療期間や費用を概算します。
歯並びやお口の機能でお悩みがあればお気軽にご相談ください。
ご来院前に、お電話やネット予約にて事前予約をお願い致します。
- 【受付時間】
- 9:00~12:00/ 13:00~18:00 ※土曜日 …9:00~13:00
- 【休診日】
- 土曜午後、日曜、祝日
インビザライン・ファーストのよくある質問
インビザライン・ファーストは痛みはありますか?
インビザライン・ファーストは歯にかかる圧力が弱く、痛みが少ない矯正方法です。複数のマウスピースを作成し、少しずつ歯を移動させるため、痛みを最小限に抑えられます。
生え変わりの時期と重なりマウスピースが合わなくなったらどうしたらいいですか?
まずは当院にご連絡ください。
生え変わりにより歯並びが変わる場合、マウスピースを作り直す場合があります。多くのお子さまが同様な経験をするため、心配することはありません。また、追加料金はかかりませんのでご安心ください。
矯正治療前にむし歯があった場合は治療が必要ですか?
むし歯があれば治療後の矯正開始となります。
当院は総合歯科医院の為、検査結果を基に、まずはむし歯の治療を行います。
インビザライン・ファーストの情報について
未承認医療機器かどうか
インビザライン®は、薬機法上は医療機器としての矯正装置に該当しません。
そのため薬機法上対象外ですが、マウスピースに使用される材料は薬事承認されています。症例数も多く、安全にご使用いただけます。
国内の承認医薬機器等の有無
インビザライン®以外にもマウスピース型矯正装置があります。その中には、薬機法上の条件を満たしており、薬事承認されているマウスピース型矯正装置もあります。詳しくはお問い合わせください。
諸外国における安全性等に係る情報
1998年に米国食品医薬局(FDA)から医療機器として認証されています。
販売認可を受け、世界中で累計1,500万人以上の患者さんに使用していますが、重篤な副作用などは報告されていません。
入手経路
インビザライン®は、アライン・テクノロジー社(アメリカ)の製品です。 当院はアライン・テクノロジー社のグループ会社「アライン・テクノロジー・ジャパン株式会社」より入手しています。
医薬品副作用被害救済制度について
インビザラインを用いた治療により重篤な副作用が出た場合は、国の医薬品副作用被害救済制度の対象外となります。
