マウスピース矯正叢生(八重歯、凸凹、乱食い歯)症例コラム
時間効率の高いマウスピース矯正

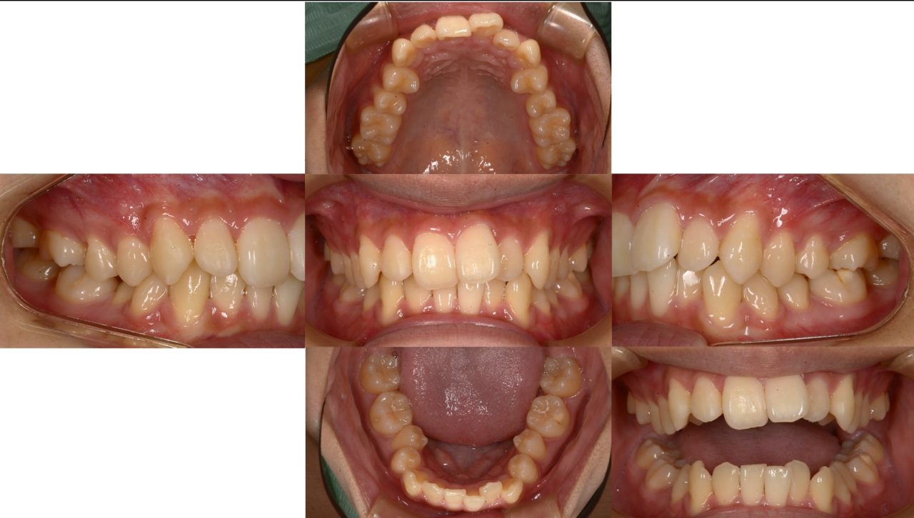
Before

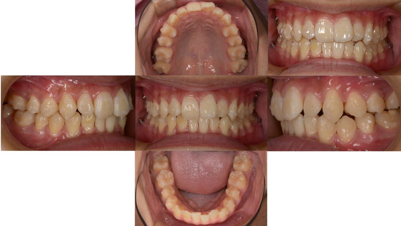
After
| 年齢 | 20歳 |
|---|---|
| 性別 | 男性 |
| 主訴 | 上下顎の前歯がガタガタで見た目が気になるので歯並びをきれいにされたいと希望されていた。 矯正装置はできるだけ目立たないものを希望された。 |
| 診断 | 両側アングルクラスⅢ 前歯の叢生を伴う不正咬合 |
| 矯正方法 | 矯正用アンカースクリューを用いて、奥歯を全体的に後方へ移動後 インビザラインによるマウスピース矯正で治療期間の短縮を狙う |
| 矯正期間 | 18か月 |
| 費用 | 1,010,000円(税込み) |
| 調整料 | 5,500円(税込み) |
| 備考 | マウスピース矯正に先立ち、奥歯に矯正用アンカースクリューとブラケットを装着して、奥歯の全体的後方移動を行った。奥歯なので、外から装置はほとんど見えない状態であった。 8か月行った後、インビザラインによるマウスピース矯正に移行した。 口元が前に出ないように配慮した治療計画だったので、従来マウスピース矯正単独なら2年くらい時間がかかるが、ワイヤー矯正を併用することで治療期間を短縮することができた。 |
治療詳細

2023.2.2 初診
上下顎ともに前歯に歯列不正を認める

2023.4.10 奥歯にブラケット装着
奥歯にアンカースクリューとブラケットを装着し、矯正治療開始

2024.1.16 マウスピース矯正開始
インビザライン開始

2024.10.30 矯正治療終了
動的矯正治療終了
昭和歯科・矯正歯科 院長 木南 意澄
目立たないマウスピース矯正をはじめ、矯正治療において500症例以上の豊富な実績と15年以上の経験がございます。透明で取り外し可能な装置を用い、周囲に気づかれずに美しい歯並びへと導いてきました。
無料相談では、お顔貌と口腔内診査を行い、あなたに合った矯正治療の概要をご説明します。
当院でのマウスピース矯正の治療例をお見せしながら、治療期間や費用を概算いたします。
「目立たずに歯並びを治したい」「食事や歯磨きは普段通りにしたい」とお考えの方は、お気軽にご相談ください。

資格・所属学会
- インビザライン認定医
- 日本先進矯正歯科学会
- 日本舌側矯正歯科学会
当院が行うマウスピース矯正について詳しくはこちら→マウスピース矯正専門ページ
