マルチブラケット矯正下顎前突(反対咬合、受け口)症例コラム開咬(前歯が噛まない状態)
開咬矯正は小顔のチャンスあり

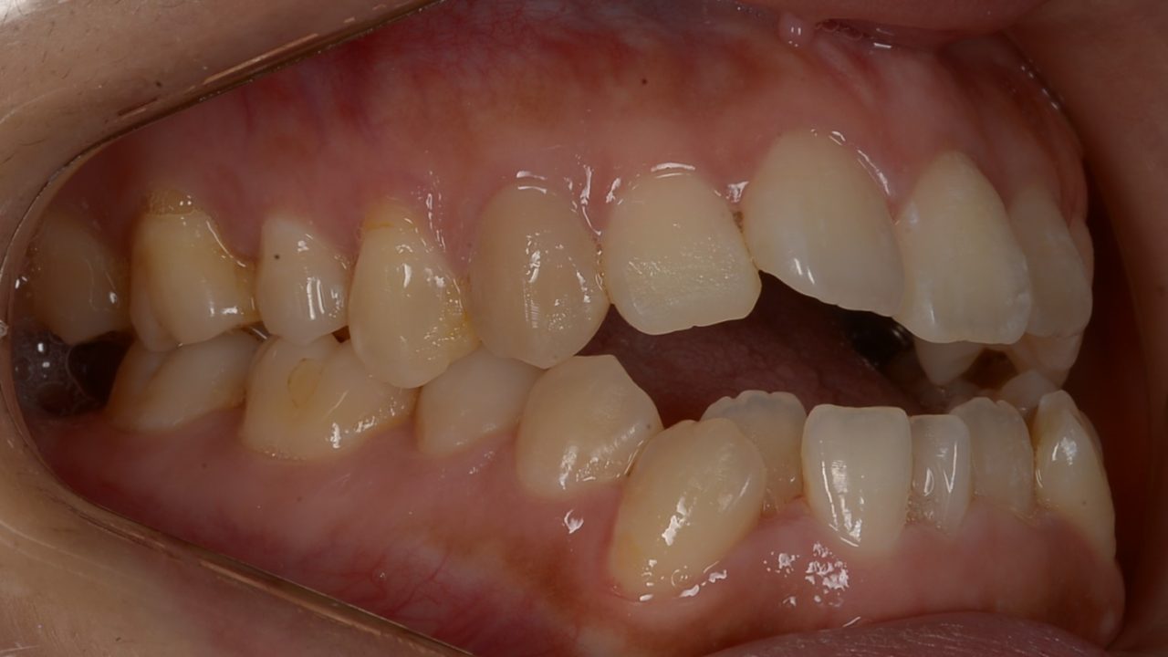
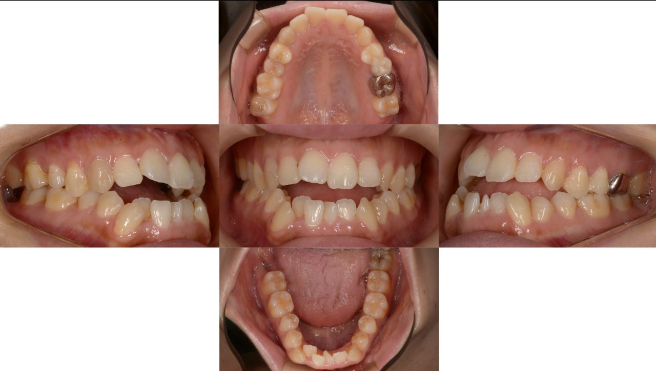
Before

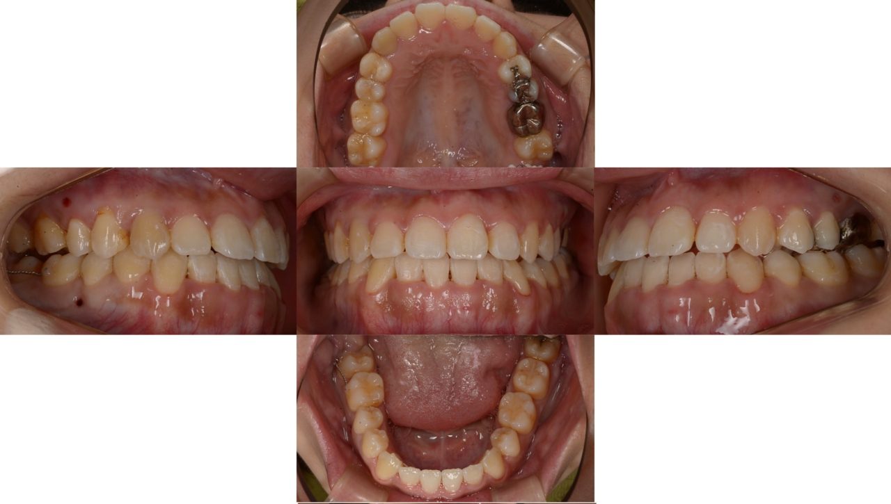
After
| 年齢 | 26歳 |
|---|---|
| 性別 | 女性 |
| 主訴 | 前歯が全く噛んでない開咬の状態 また、反対咬合(受け口)を併発しており、改善を希望された。 本来は外科矯正治療の適応だが、歯列矯正での治療を望まれた。 |
| 診断 | 両側アングル クラスⅢ 開咬、叢生を伴う不正咬合 |
| 矯正方法 | 矯正用アンカースクリューを用いたマルチブラケットシステム |
| 矯正期間 | 27か月 |
| 費用 | 979,000円(税別) |
| 調整料 | 5,000円(税別) |
| 備考 | 前歯が噛んでいない開咬状態による摂食障害と見た目の改善を主訴に来院された。他の矯正歯科にいくつか行ったがどこも外科矯正治療の適応だと断られたとのことだった。患者の希望要件と骨格、歯列の診断から歯列矯正で十分治療可能と診断した。矯正用アンカースクリューを使い、奥歯を圧下することで開咬を改善した。咬合高径が低下したことにより、下顔面高が小さくなり、顔が短くなった。 |
治療詳細

初診 2021.9.25

矯正治療開始 2021.11.13

1年経過時 2022.11.11

矯正治療終了 2024.2.3

矯正治療前後比較
鼻から顎の下までの長さが短くなっているのがわかる
この治療の担当者
昭和歯科・矯正歯科 院長 木南 意澄
前歯が噛み合わない開咬(オープンバイト)の改善をはじめ、矯正治療において500症例以上の豊富な実績と15年以上の経験がございます。確かな技術力で、奥歯への過度な負担を減らし、前歯でしっかりと食べ物を噛み切れる正常な噛み合わせを実現してきました。
無料相談では、お顔貌とお口の機能(舌の癖など)を含めた口腔内診査を行い、あなたに合った矯正治療の概要をご説明します。
当院での開咬の治療例をお見せし、治療期間や費用を概算いたします。
「前歯で麺類などが噛み切れない」「口がポカンと開いてしまう」とお悩みの方は、お気軽にご相談ください。

資格・所属学会
- インビザライン認定医
- 日本先進矯正歯科学会
- 日本舌側矯正歯科学会
当院が行う開咬(前歯が噛まない状態)について詳しくはこちら→開咬専門ページ
