叢生(八重歯、凸凹、乱食い歯)症例コラム
マウスピース矯正とインプラントのコンビネーション

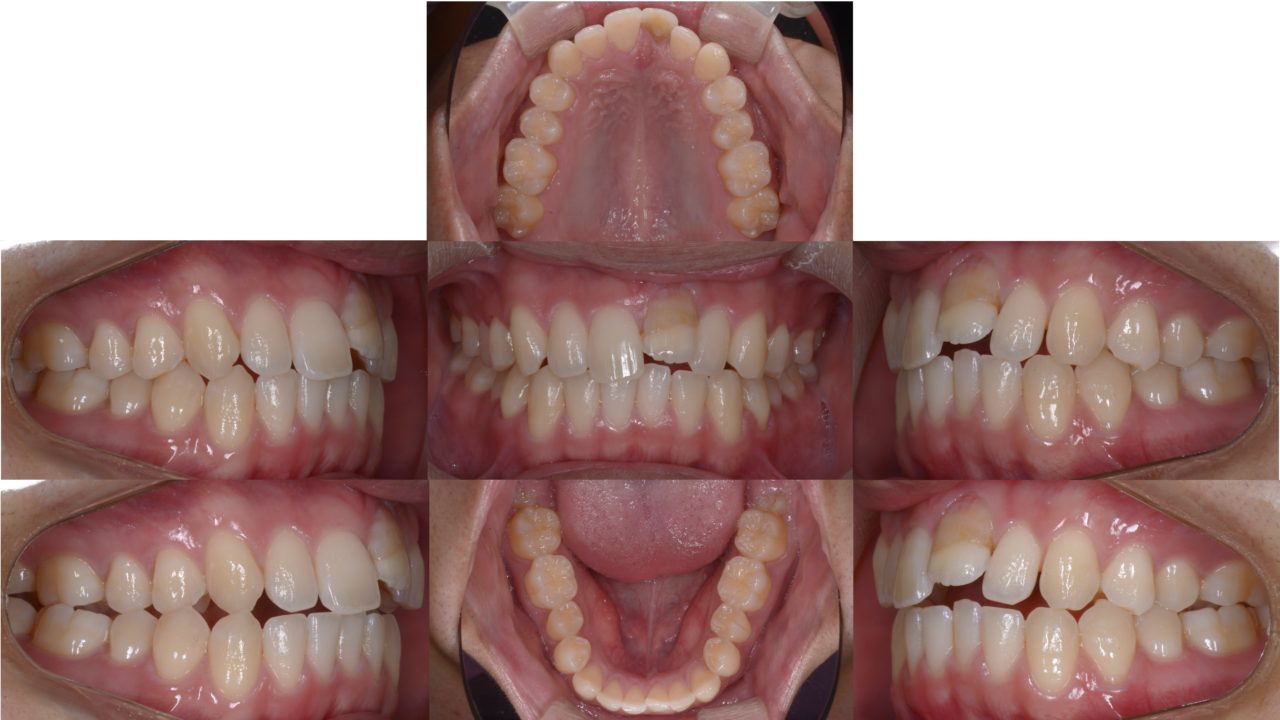
Before

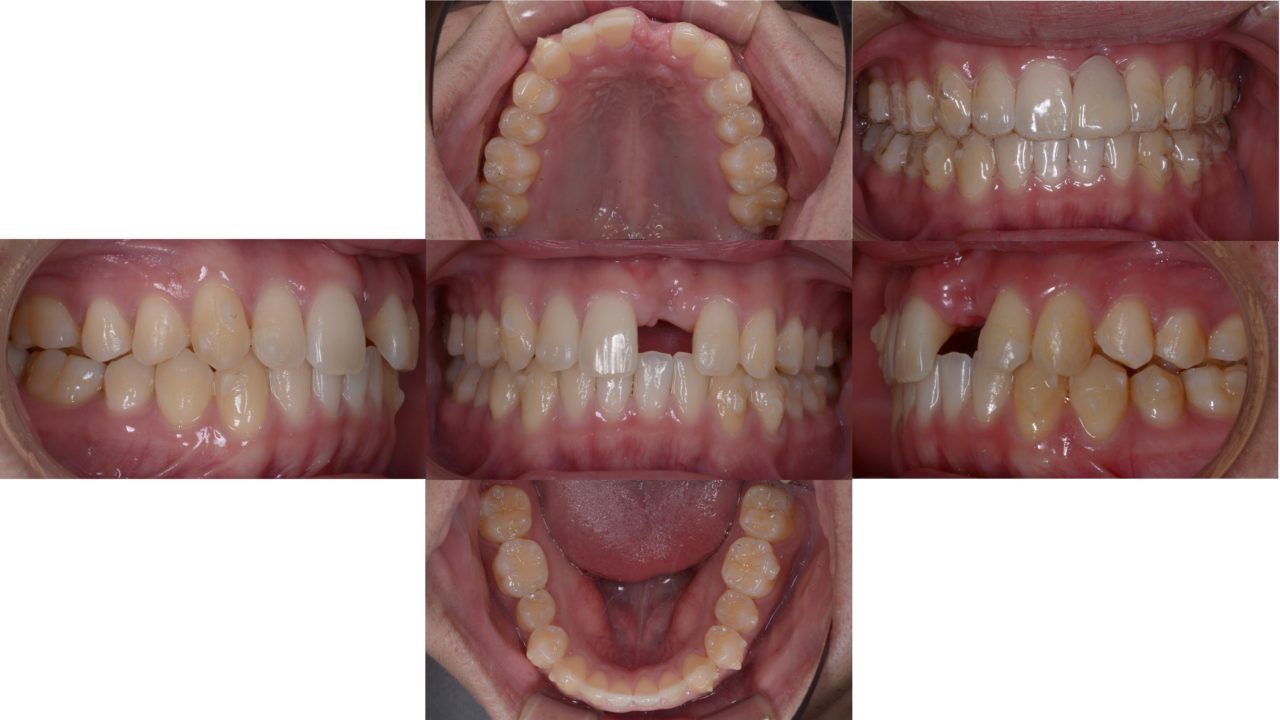
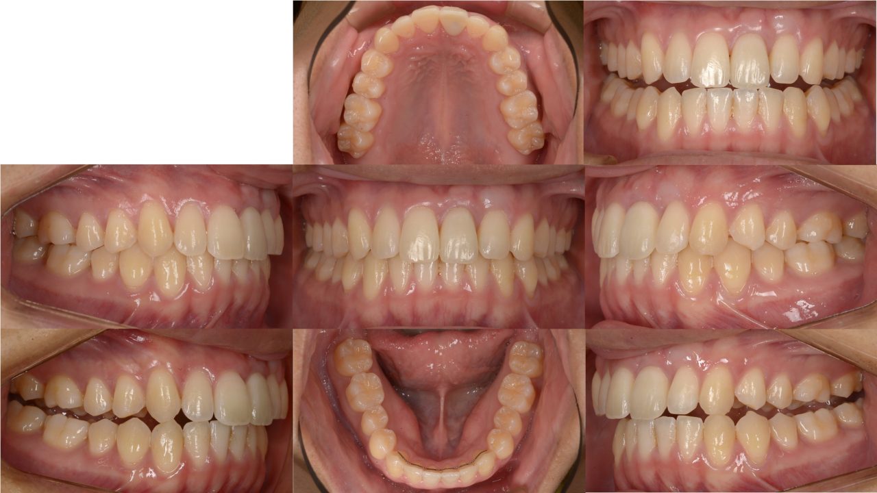
After
| 年齢 | 19歳 |
|---|---|
| 性別 | 男性 |
| 主訴 | 色の変わった前歯を抜歯してインプラントにしてほしい |
| 診断 | 両側アングルクラスⅠ 上顎前歯叢生 左上中切歯 外部吸収と骨性癒着にて予後不良 |
| 矯正方法 | インビザラインによるマウスピース矯正 左上中切歯抜歯 同部位にインプラント |
| 矯正期間 | 18か月 |
| 費用 | 890,000円(税別) |
| 調整料 | 5,000円(税別) |
| 備考 | 10歳のときに外傷を受けた左上中切歯が骨癒着を起こし、予後不良の状態でした。 インプラントを計画しましたが、歯列不正があり、適正なインプラント治療ができないと診断したので、 インビザラインによるマウスピース矯正を行うこととしました。 インプラント予定歯の周囲の歯をきれいに並べることで自分の歯と区別がつかない自然なインプラントができました。 |
治療詳細

初診 2019.5

マウスピース矯正開始 2019.10

インプラント埋入 2020.8

ファイナル 2021.6
この治療の担当者
昭和歯科・矯正歯科 院長 木南 意澄
目立たないマウスピース矯正をはじめ、矯正治療において500症例以上の豊富な実績と15年以上の経験がございます。透明で取り外し可能な装置を用い、周囲に気づかれずに美しい歯並びへと導いてきました。
無料相談では、お顔貌と口腔内診査を行い、あなたに合った矯正治療の概要をご説明します。
当院でのマウスピース矯正の治療例をお見せしながら、治療期間や費用を概算いたします。
「目立たずに歯並びを治したい」「食事や歯磨きは普段通りにしたい」とお考えの方は、お気軽にご相談ください。

資格・所属学会
- インビザライン認定医
- 日本先進矯正歯科学会
- 日本舌側矯正歯科学会
当院が行うマウスピース矯正について詳しくはこちら→マウスピース矯正専門ページ
