叢生(八重歯、凸凹、乱食い歯)症例コラム
7歳のマウスピース矯正

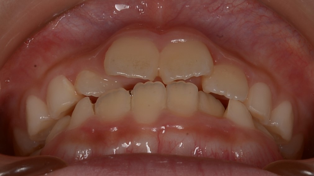
Before

After
| 年齢 | 7歳 |
|---|---|
| 性別 | 女性 |
| 主訴 | 上下顎前歯のガタガタ |
| 診断 | ターミナルプレイン バーティカル 上下顎前歯叢生 |
| 矯正方法 | インビザラインファーストによるマウスピース矯正 |
| 矯正期間 | 6か月 |
| 費用 | 490,000円(税別) |
| 調整料 | 5,000円(税別) |
| 備考 | 前歯が永久歯に生え変わり、ガタガタが気になる患者さんでした。 第1期治療としてマウスピース矯正を行いました。 従来の床拡大装置を用いた第1期治療よりさらに短く、6か月で終了できました。 違和感も少なく、大変喜んでいただけました。 |
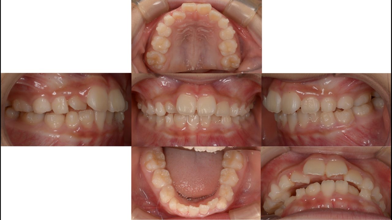
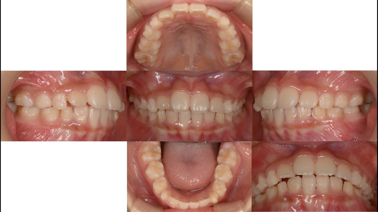
治療詳細

初診 2021年7月

マウスピース矯正開始1か月

マウスピース矯正開始4か月

終了
矯正期間6か月
この治療の担当者
昭和歯科・矯正歯科 院長 木南 意澄
目立たないマウスピース矯正をはじめ、矯正治療において500症例以上の豊富な実績と15年以上の経験がございます。透明で取り外し可能な装置を用い、周囲に気づかれずに美しい歯並びへと導いてきました。
無料相談では、お顔貌と口腔内診査を行い、あなたに合った矯正治療の概要をご説明します。
当院でのマウスピース矯正の治療例をお見せしながら、治療期間や費用を概算いたします。
「目立たずに歯並びを治したい」「食事や歯磨きは普段通りにしたい」とお考えの方は、お気軽にご相談ください。

資格・所属学会
- インビザライン認定医
- 日本先進矯正歯科学会
- 日本舌側矯正歯科学会
当院が行うマウスピース矯正について詳しくはこちら→マウスピース矯正専門ページ
