マルチブラケット矯正症例コラム
予後不良の歯を抜歯して、きれいな歯に並べ替える

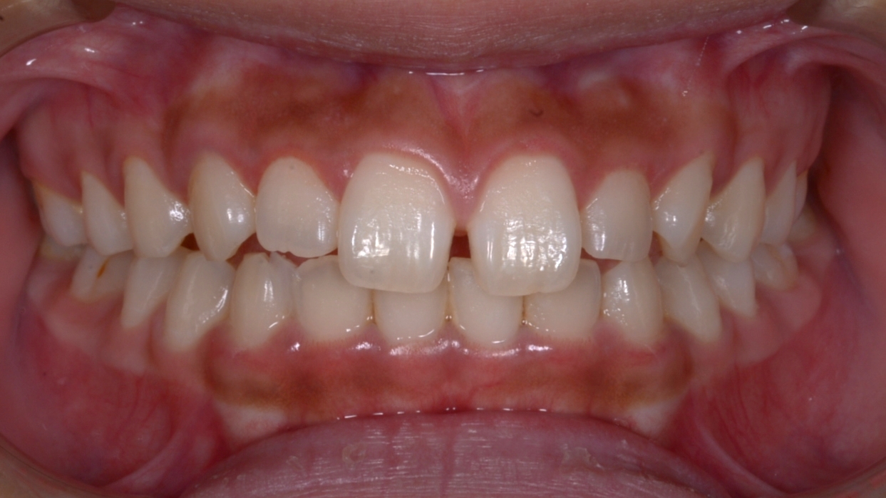
Before

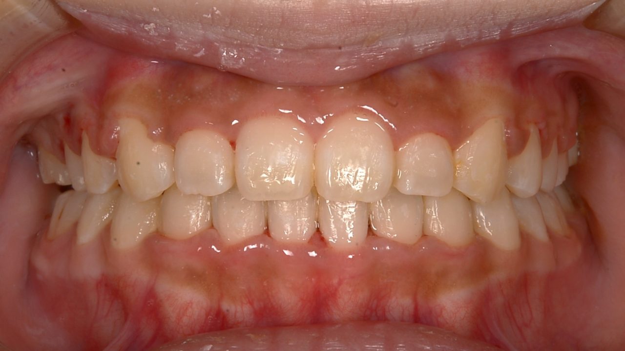
After
| 年齢 | 14歳 |
|---|---|
| 性別 | 女性 |
| 主訴 | 右上第1大臼歯が何もしなくても痛い 前歯がすきっぱ 前歯で物が噛みにくい |
| 診断 | 右側アングルクラスⅡ 左側アングルクラスⅠ 正中離開 前歯オープンバイト |
| 矯正方法 | マルチブラケットによる矯正治療 矯正用アンカーを用いる |
| 矯正期間 | 14か月 |
| 費用 | 910,000円(税別) |
| 調整料 | 5,000円(税別) |
| 備考 | 右上第1大臼歯の自発痛で来院されました。 マイクロスコープ下の精密根管治療を行えば、十分改善する見込みはありました。 しかし、14歳と若く、長期的な予後は不安でした。 前歯の歯列、咬合不正があったため、全顎矯正を提案しました。 全顎矯正ができれば、予後不良な右上第1大臼歯を抜歯して、親知らずを活かせます。 そうなれば、神経の死んだ歯はなくなり、歯の数も減りません。 14か月で矯正治療が終了したため、まだ親知らずは萌出していませんが、レントゲン的にはいい位置に来そうです。 注意深いメインテナンスを行っています。 |
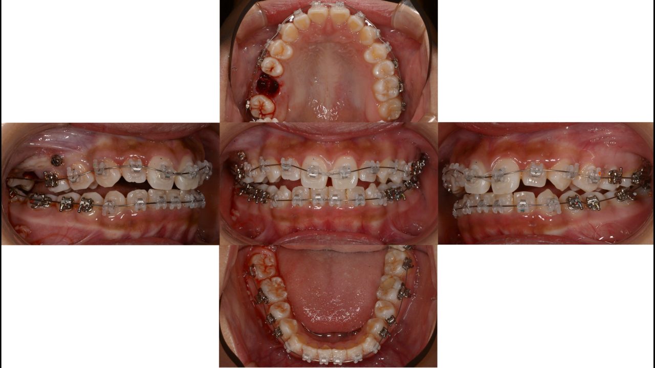
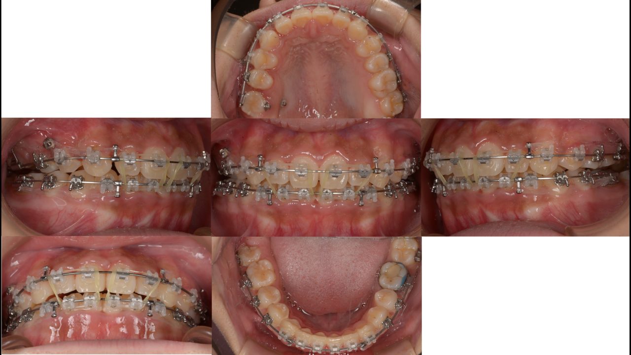
治療詳細

2020.12.9 初診

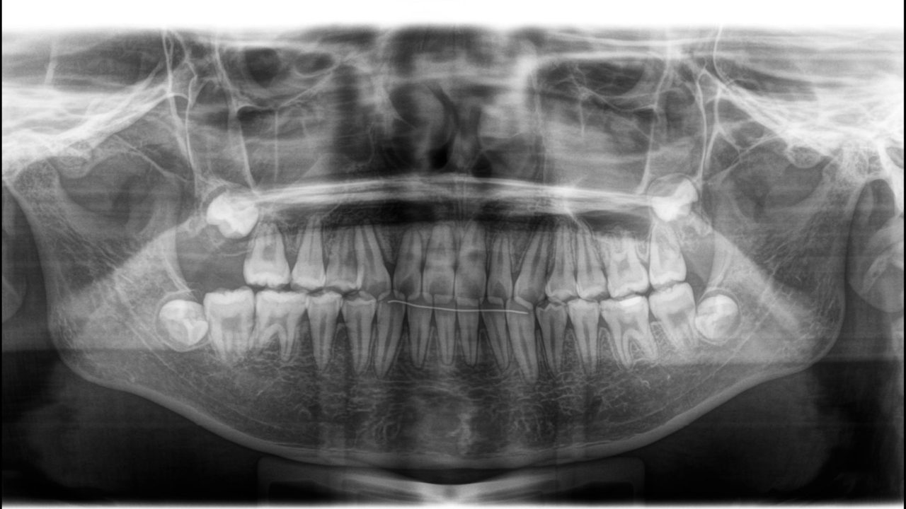
初診レントゲン

2021.1.7 矯正治療開始

2021.10.11 治療開始9か月

2022.3.14 矯正治療終了

矯正治療後レントゲン
この治療の担当者
昭和歯科・矯正歯科 院長 木南 意澄
ワイヤーを用いたマルチブラケット矯正をはじめ、矯正治療において500症例以上の豊富な実績と15年以上の経験がございます。確かな技術力で、抜歯を伴う難症例やミリ単位の細かな調整にも対応し、多くの患者さまの理想の笑顔を実現してきました。
無料相談では、お顔貌と口腔内診査を行い、あなたのお口の状態に最適な治療の概要をご説明します。
当院で実際にマルチブラケット装置で改善した治療例をお見せし、治療期間や費用を概算いたします。
「確実な仕上がりを求めたい」「自分の歯並びがワイヤーで治るか知りたい」という方は、お気軽にご相談ください。

資格・所属学会
- インビザライン認定医
- 日本先進矯正歯科学会
- 日本舌側矯正歯科学会
当院が行うワイヤー矯正について詳しくはこちら→ワイヤー矯正専門ページ
