マルチブラケット矯正
マルチブラケット矯正叢生(八重歯、凸凹、乱食い歯)症例コラム
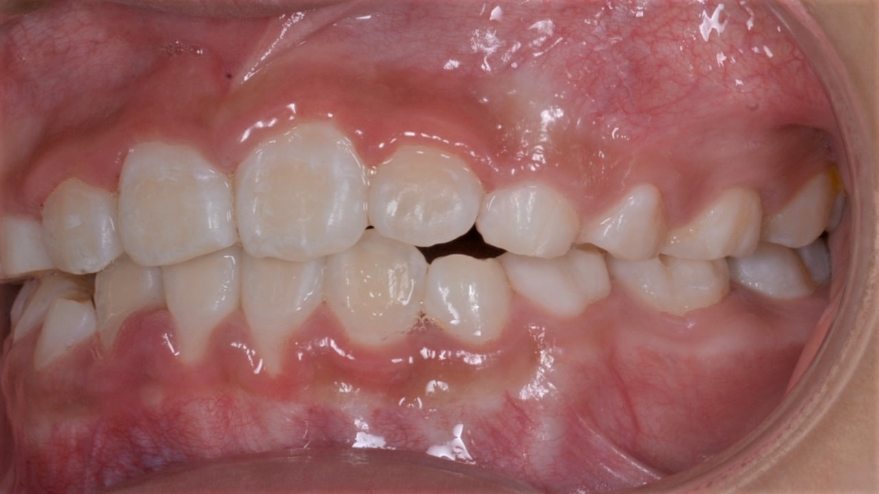
八重歯が気になる

Before

After
| 年齢 | 12歳 |
|---|---|
| 性別 | 男性 |
| 主訴 | 前歯が曲がっている 八重歯を治したい |
| 診断 | 両側アングルクラスⅡ 上顎前歯叢生 |
| 矯正方法 | 全顎マルチブラケットによる矯正治療 |
| 矯正期間 | 11か月 |
| 費用 | 730,000円(税別) |
| 調整料 | 5,000円(税別) |
| 備考 | 上顎がかなり凸凹で八重歯の状態でした。 いとこが当院で矯正治療をされていたので、ご紹介でいらっしゃいました。 上顎は前に出ているのにスペースが足りない状態でしたので、上顎だけ両側小臼歯を1本ずつ抜く計画としました。 中学生なので、治療スピードが早く、1年以内に終えることができました。 中学生は本当に短期間で治療が終わるのでこの時期に矯正治療を行うのはお勧めです。 |
マルチブラケット矯正叢生(八重歯、凸凹、乱食い歯)症例コラム
歯を抜かないで口元を引っ込めたい

Before

After
| 年齢 | 34歳 |
|---|---|
| 性別 | 女性 |
| 主訴 | 上下顎前歯の凸凹 口元がやや出ている |
| 診断 | 上下顎前歯叢生 両側アングルクラスⅠ |
| 矯正方法 | 全顎マルチブラケットによる矯正治療 |
| 矯正期間 | 22か月 |
| 費用 | 730,000円(税別) |
| 調整料 | 5,000円(税別) |
| 備考 | 前歯の凸凹を主訴にいらっしゃいました。 凸凹は軽度なので、それだけであれば、6か月くらいで終わる簡単な症例です。 治療前の診断では前歯が理想より3,4㎜前に位置している状態でした。 実際、5か月で凸凹はほぼ治りました。 しかし、もっと口元を引っ込めて欲しいという希望が出てきました。 矯正用アンカーを使用して、上下顎すべての歯を後方へ移動させる治療計画を追加しました。 治療期間はだいぶ延びてしまいましたが、歯を抜くことなく、口元をすっきりさせることができました。 矯正用アンカースクリューのおかげで、歯を抜かずにできる症例がかなり多くなりました。 |
マルチブラケット矯正症例コラム
ずっと気になっていた前歯をやっと治せた

Before

After
| 年齢 | 39歳 |
|---|---|
| 性別 | 女性 |
| 主訴 | 左上前歯が前に出ているのが気になる |
| 診断 | 左上中切歯唇側転位 右側アングルクラスⅠ 左側アングルクラスⅡ |
| 矯正方法 | 上顎マルチブラケット部分矯正 |
| 矯正期間 | 5か月 |
| 費用 | 210,000円(税別) |
| 調整料 | 5,000円(税別) |
| 備考 | 20歳のころに抜歯矯正を行っていました。保定をしなくなってから、前歯が動き、左上中切歯はかなり前突していました。 長年、気になっていましたが費用が気になり、治療に踏み切ることができませんでした。 再矯正でもあり、費用をできるだけ抑えたいとの希望があったので、上顎前歯のみの部分矯正としました。 全体が前に出ないようにエナメル質を削合するIPRを10本の歯に行いました。 上顎部分矯正の制限がありましたが、審美的、機能的に問題ないレベルまで改善できました。 5か月と短期間で希望通り終了したので、非常に喜んでいただけました。 |
マルチブラケット矯正上顎前突(出っ歯)症例コラム
前歯を引っ込めたい

Before

After
| 主訴 | 口元が出ているから前歯を引っ込めてすっきりしたい |
|---|---|
| 診断 | 右側アングルクラスⅠ 左側アングルクラスⅢ |
| 矯正方法 | 3本抜歯を伴うマルチブラケットシステム |
| 矯正期間 | 25か月 |
| 費用 | 750,000円(税別) |
| 調整料 | 5,000円(税別) |
| 備考 | 口元の突出感を気にされていました。歯列はきれいに並んでいるのですが、上顎も下顎も全体的に前方へ出ていました。歯を抜歯できれば、かなり口元をひっこめることができます。今回は失活歯が4本あったので、そのうちの3本を抜歯することにしました。右下は親知らずだけ抜歯なので、矯正用インプラントを用いて歯列全体を後方に移動させました。変則的な抜歯なので、少し時間がかかりました。それでも、予後が不安な失活歯を少なくし、歯列全体を引っ込めることができました。口元は見違えるようにきれいになり、口を閉じた横顔が自然になりました。 |
マルチブラケット矯正下顎前突(反対咬合、受け口)叢生(八重歯、凸凹、乱食い歯)症例コラム
下顎前歯をきれいにしたい

Before

After
| 主訴 | 以前矯正をていたが、下顎前歯が凸凹になった 歯の色もきれいにしたい |
|---|---|
| 診断 | 両側アングルクラスⅠ叢生 |
| 矯正方法 | 上下前歯だけ動かすマルチブラケットシステムを用いた部分矯正 |
| 矯正期間 | 3か月 |
| 費用 | 350,000円(税別) +ホワイトニング費、下顎前歯審美修復治療費 |
| 調整料 | 5,000円(税別) |
| 備考 | 患者様は中学生の頃に矯正治療を経験されていましたが、保定装置(リテーナー)の使用を中断された結果、歯の凸凹(叢生)が再発していました。 また、右下中切歯(前歯)にはエナメル質形成不全が見られ、審美的な問題となっていました。 幸い、奥歯の噛み合わせ(臼歯関係)には問題がなかったため、前歯の歯並びのみを改善する部分矯正を適用しました。 その結果、わずか3ヶ月という短期間で治療を完了することができました。 矯正治療の終了後は、歯全体のホワイトニングを行い、特に審美障害のあった右下中切歯に対してダイレクトボンディングによる修復を行いました。 |
