マルチブラケット矯正症例コラム
ずっと気になっていた前歯をやっと治せた

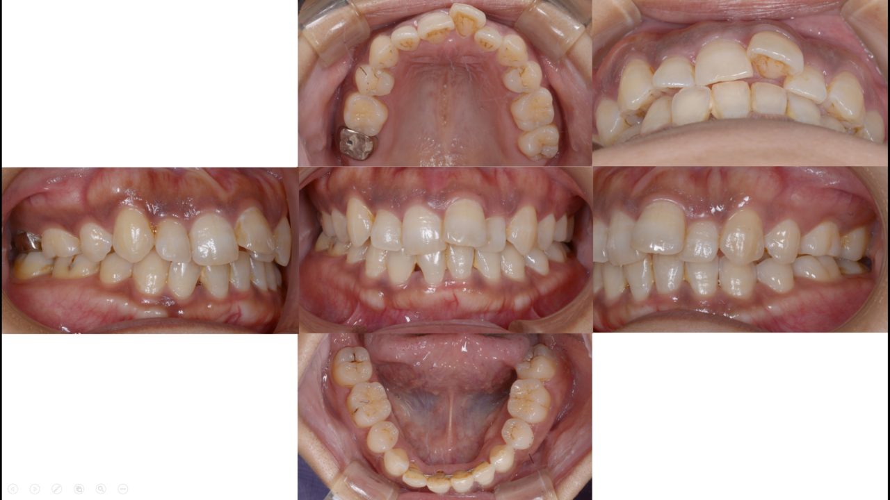
Before

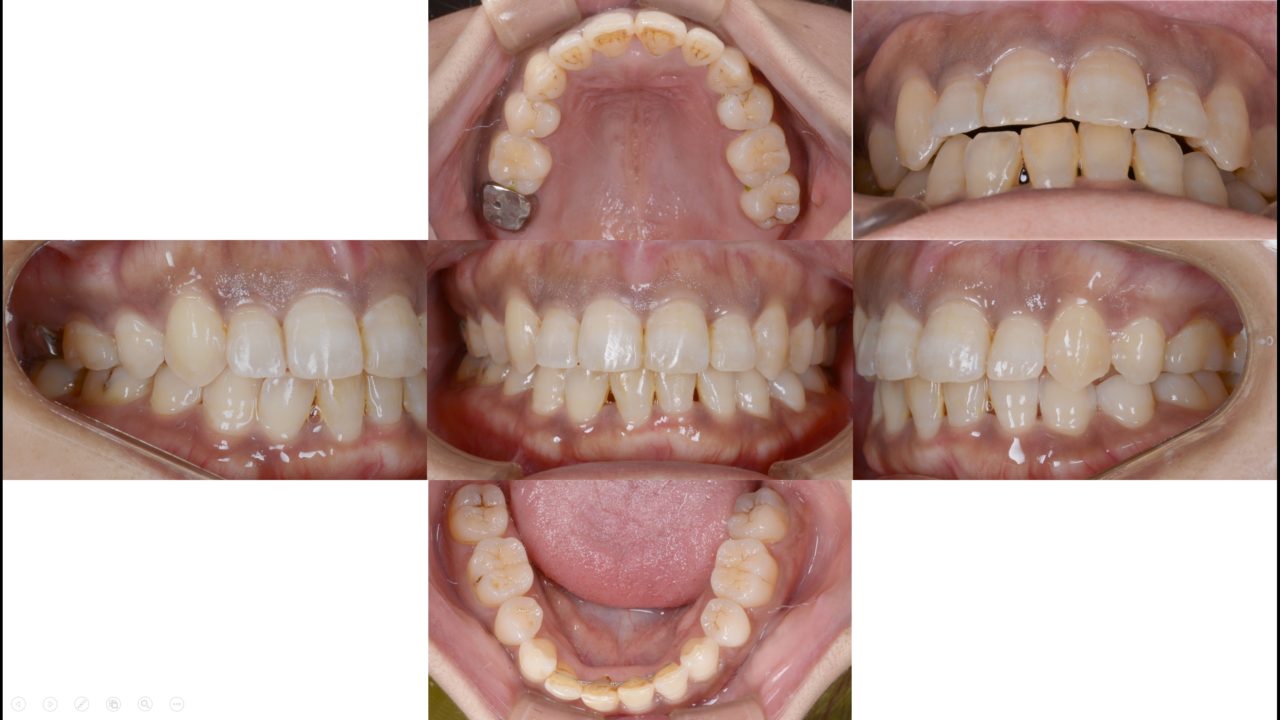
After
| 年齢 | 39歳 |
|---|---|
| 性別 | 女性 |
| 主訴 | 左上前歯が前に出ているのが気になる |
| 診断 | 左上中切歯唇側転位 右側アングルクラスⅠ 左側アングルクラスⅡ |
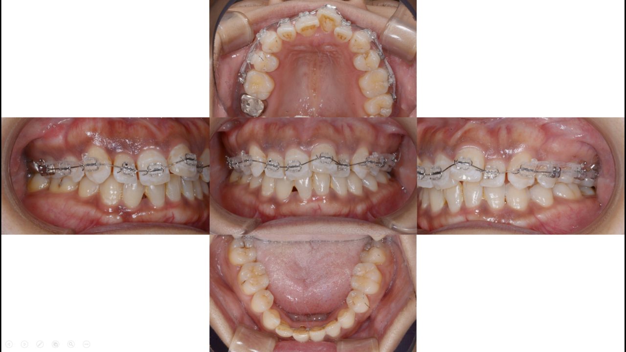
| 矯正方法 | 上顎マルチブラケット部分矯正 |
| 矯正期間 | 5か月 |
| 費用 | 210,000円(税別) |
| 調整料 | 5,000円(税別) |
| 備考 | 20歳のころに抜歯矯正を行っていました。保定をしなくなってから、前歯が動き、左上中切歯はかなり前突していました。 長年、気になっていましたが費用が気になり、治療に踏み切ることができませんでした。 再矯正でもあり、費用をできるだけ抑えたいとの希望があったので、上顎前歯のみの部分矯正としました。 全体が前に出ないようにエナメル質を削合するIPRを10本の歯に行いました。 上顎部分矯正の制限がありましたが、審美的、機能的に問題ないレベルまで改善できました。 5か月と短期間で希望通り終了したので、非常に喜んでいただけました。 |
治療詳細

初診 2020.7.14

部分矯正開始 2020.7.17
上顎のみマルチブラケット

ファイナル 2020.12.10

治療前後 口元比較
この治療の担当者
昭和歯科・矯正歯科 院長 木南 意澄
出っ歯(上顎前突)の改善をはじめ、矯正治療において500症例以上の豊富な実績と15年以上の経験がございます。確かな技術力で、前歯の突出感や口元のシルエットをしっかりと整え、多くの患者さまの美しい笑顔を実現してきました。
無料相談では、実際の出っ歯の改善例(アンカースクリューの活用など)をお見せしながら、治療期間や費用を概算いたします。
「前歯が出ている」「口元を引っ込めたい」とお悩みの方は、お気軽にご相談ください。

資格・所属学会
- インビザライン認定医
- 日本先進矯正歯科学会
- 日本舌側矯正歯科学会
当院が行う出っ歯の治療について詳しくはこちら→出っ歯の治療専門ページ
