マルチブラケット矯正叢生(八重歯、凸凹、乱食い歯)症例コラム
歯を抜かないで口元を引っ込めたい

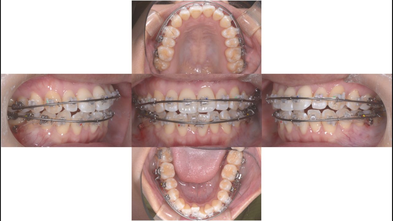
Before

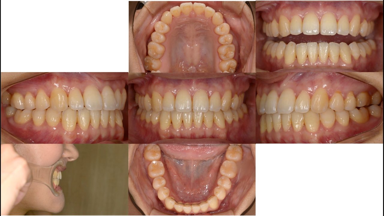
After
| 年齢 | 34歳 |
|---|---|
| 性別 | 女性 |
| 主訴 | 上下顎前歯の凸凹 口元がやや出ている |
| 診断 | 上下顎前歯叢生 両側アングルクラスⅠ |
| 矯正方法 | 全顎マルチブラケットによる矯正治療 |
| 矯正期間 | 22か月 |
| 費用 | 730,000円(税別) |
| 調整料 | 5,000円(税別) |
| 備考 | 前歯の凸凹を主訴にいらっしゃいました。 凸凹は軽度なので、それだけであれば、6か月くらいで終わる簡単な症例です。 治療前の診断では前歯が理想より3,4㎜前に位置している状態でした。 実際、5か月で凸凹はほぼ治りました。 しかし、もっと口元を引っ込めて欲しいという希望が出てきました。 矯正用アンカーを使用して、上下顎すべての歯を後方へ移動させる治療計画を追加しました。 治療期間はだいぶ延びてしまいましたが、歯を抜くことなく、口元をすっきりさせることができました。 矯正用アンカースクリューのおかげで、歯を抜かずにできる症例がかなり多くなりました。 |
治療詳細

初診 2019.5.22
上下顎前歯に軽度の凸凹を認めます。 写真からはわかりませんが、口元が多少出ている状態です。

矯正治療開始 2019.6.28
マルチブラケットを上下顎に装着しました。歯は抜いていません。凸凹を治すためにマリガンオーバーレイアーチで側方拡大を行います。

開始5か月 2019.11.19
予定通り、5か月でほぼ前歯の凸凹は治りました。しかし、前歯がきれいになると口元をもっと引っ込めたいという希望が出てきました。治療計画を一部変更して、矯正用アンカースクリューを使い、上下顎の歯すべてを後方へ移動させる計画を入れました。

矯正治療終了 2021.4.24
動的治療期間は22か月でした。予定より時間はかかりましたが、口元が大きく引っ込み、非常にきれいなスマイルになりました。歯を抜かずにこの結果を得られたことは非常に価値があります。

スマイル治療前後比較

横顔 治療前後比較
この治療の担当者
昭和歯科・矯正歯科 院長 木南 意澄
八重歯や凸凹とした歯並び(叢生)の改善をはじめ、矯正治療において500症例以上の豊富な実績と15年以上の経験がございます。確かな技術力で複雑に重なり合った歯をきれいに並べ、見た目の美しさだけでなく、虫歯や歯周病になりにくい清潔なお口の環境を実現してきました。
無料相談では、お顔貌と口腔内診査を行い、あなたに合った矯正治療の概要をご説明します。
当院での叢生のきれいな改善例をお見せし、治療期間や費用を概算いたします。
「歯の重なりが気になる」「歯磨きがしにくい」とお悩みの方は、お気軽にご相談ください。

資格・所属学会
- インビザライン認定医
- 日本先進矯正歯科学会
- 日本舌側矯正歯科学会
当院が行う叢生(八重歯、凸凹、乱食い歯)について詳しくはこちら→叢生専門ページ
