マルチブラケット矯正下顎前突(反対咬合、受け口)叢生(八重歯、凸凹、乱食い歯)症例コラム
下顎前歯をきれいにしたい

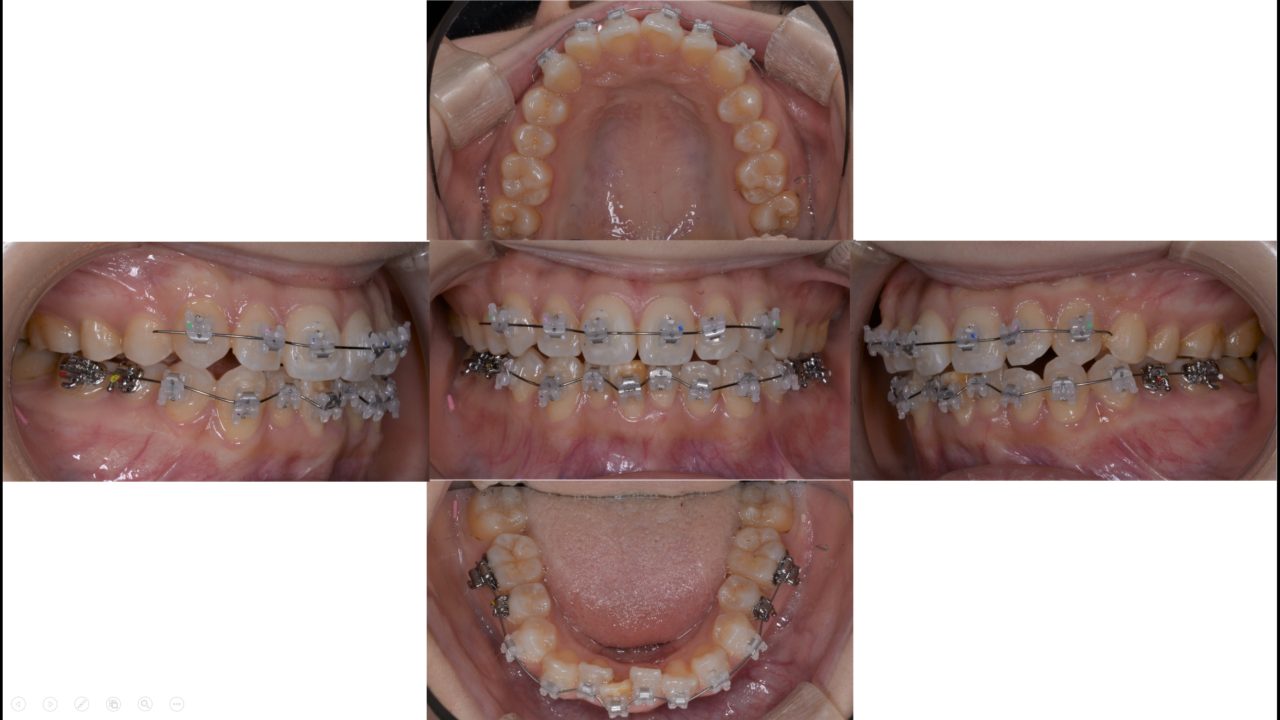
Before

After
| 主訴 | 以前矯正をていたが、下顎前歯が凸凹になった 歯の色もきれいにしたい |
|---|---|
| 診断 | 両側アングルクラスⅠ叢生 |
| 矯正方法 | 上下前歯だけ動かすマルチブラケットシステムを用いた部分矯正 |
| 矯正期間 | 3か月 |
| 費用 | 350,000円(税別) +ホワイトニング費、下顎前歯審美修復治療費 |
| 調整料 | 5,000円(税別) |
| 備考 | 患者様は中学生の頃に矯正治療を経験されていましたが、保定装置(リテーナー)の使用を中断された結果、歯の凸凹(叢生)が再発していました。 また、右下中切歯(前歯)にはエナメル質形成不全が見られ、審美的な問題となっていました。 幸い、奥歯の噛み合わせ(臼歯関係)には問題がなかったため、前歯の歯並びのみを改善する部分矯正を適用しました。 その結果、わずか3ヶ月という短期間で治療を完了することができました。 矯正治療の終了後は、歯全体のホワイトニングを行い、特に審美障害のあった右下中切歯に対してダイレクトボンディングによる修復を行いました。 |
治療詳細

初診 2020.3.31

矯正治療開始

矯正治療終了 2020.7.6

