マルチブラケット矯正症例コラム
奥歯の前倒れを改善

Before

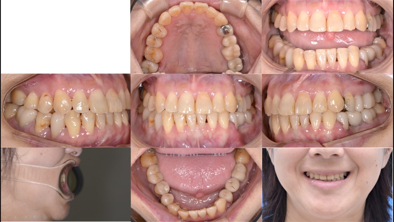
After
| 主訴 | 奥歯で噛みにくい 奥歯の冠がよく外れる |
|---|---|
| 診断 | 両側アングルクラスⅢ叢生 |
| 矯正方法 | 矯正用インプラントを伴うマルチブラケットシステム |
| 矯正期間 | 19か月 |
| 費用 | 730,000円(税別) |
| 調整料 | 5,000円(税別) |
| 備考 | 以前から当院に通院されている方で定期的に奥歯にトラブルを起こしていました。 下顎奥歯が左右ともに傾斜しており、いわゆる「噛み合わせが悪い」状態でした。 20年後までの歯のトラブルを考えて、噛み合わせと昔に治療した冠を全てコーディネートする フルマウスリコンストラクションをすることになりました。 歯の欠損があったので、2本はインプラントをしました。 矯正治療終了後、セラミックによる補綴治療を行い、噛み合わせのしっかりした状態を作りました。 しっかりメインテナンスをできるだけ再治療のない状態を目指します。 |
治療詳細

初診 2018.2.22

初診 レントゲン

矯正治療開始 2018.9.4
基本治療終了時

矯正開始6か月 2019.3.18
右下第2小臼歯をアップライト

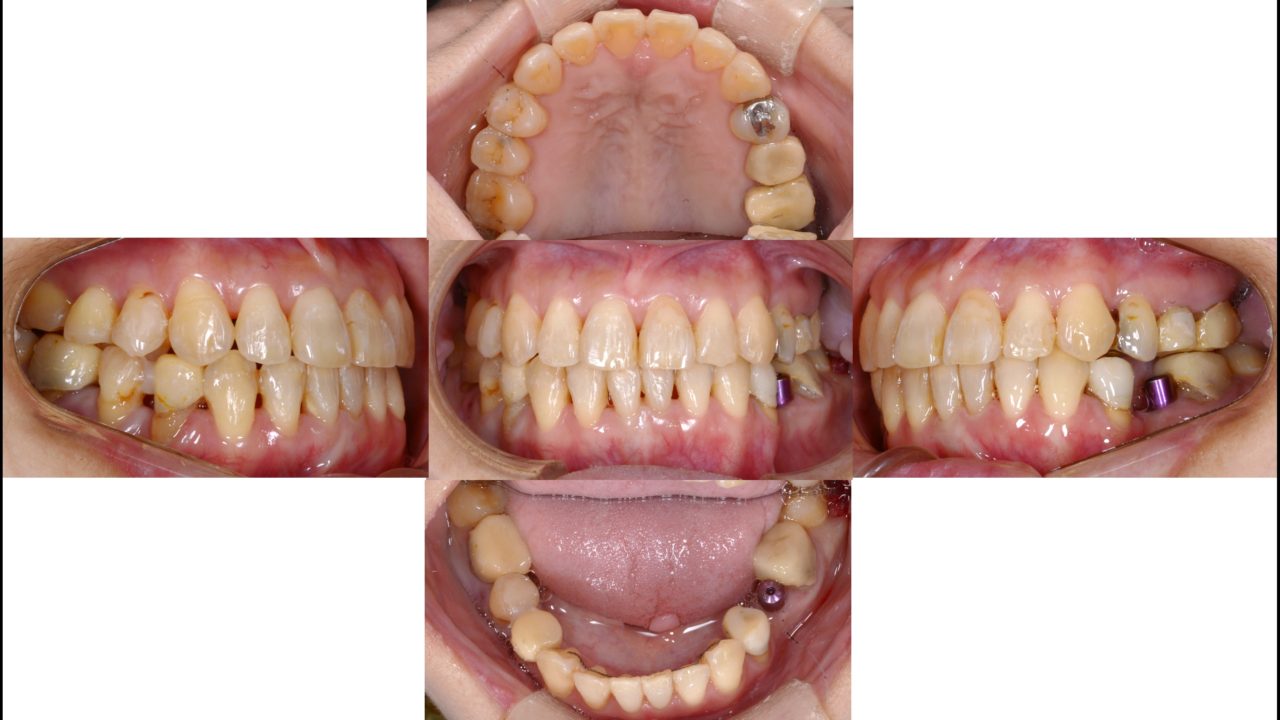
矯正治療終了 2020.4.20

補綴修復治療終了
インプラント2本を含むセラミック治療終了

