マルチブラケット矯正叢生(八重歯、凸凹、乱食い歯)症例コラム
右上側切歯先天欠損を伴う叢生

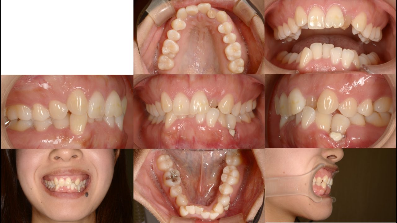
Before

After
| 主訴 | 前歯の歯並びを治したい |
|---|---|
| 診断 | 左側アングルクラスⅠ 右側アングルクラスⅡ |
| 矯正方法 | 2本抜歯を伴うマルチブラケットシステム |
| 矯正期間 | 26か月 |
| 費用 | 730,000円(税別) |
| 調整料 | 5,000円(税別) |
| 備考 | 前歯の凸凹が気になるとのことでした。旦那さんも当院で矯正治療を受けていたので、奥さんもついでに治すことになりました。左上側切歯は失活しており、変色が目立つ状態でした。また、左下第1小臼歯は歯頚部に大きなむし歯があり、歯肉退縮が著しい状態でした。叢生を解消するために抜歯が必要だったので、この状態の悪い2本と右下第1小臼歯の全部で3本を抜歯することにしました。治療後は口元の印象が劇的に良化しました。 |
治療詳細

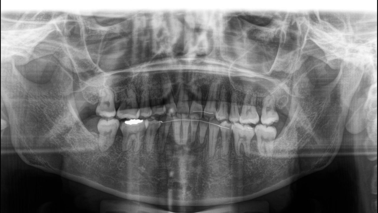
初診 2018.6.6

初診 レントゲン

矯正治療開始 2018.6.15

矯正治療終了 2020.8.6

