マルチブラケット矯正上顎前突(出っ歯)症例コラム
口元を引っ込めるための再矯正治療

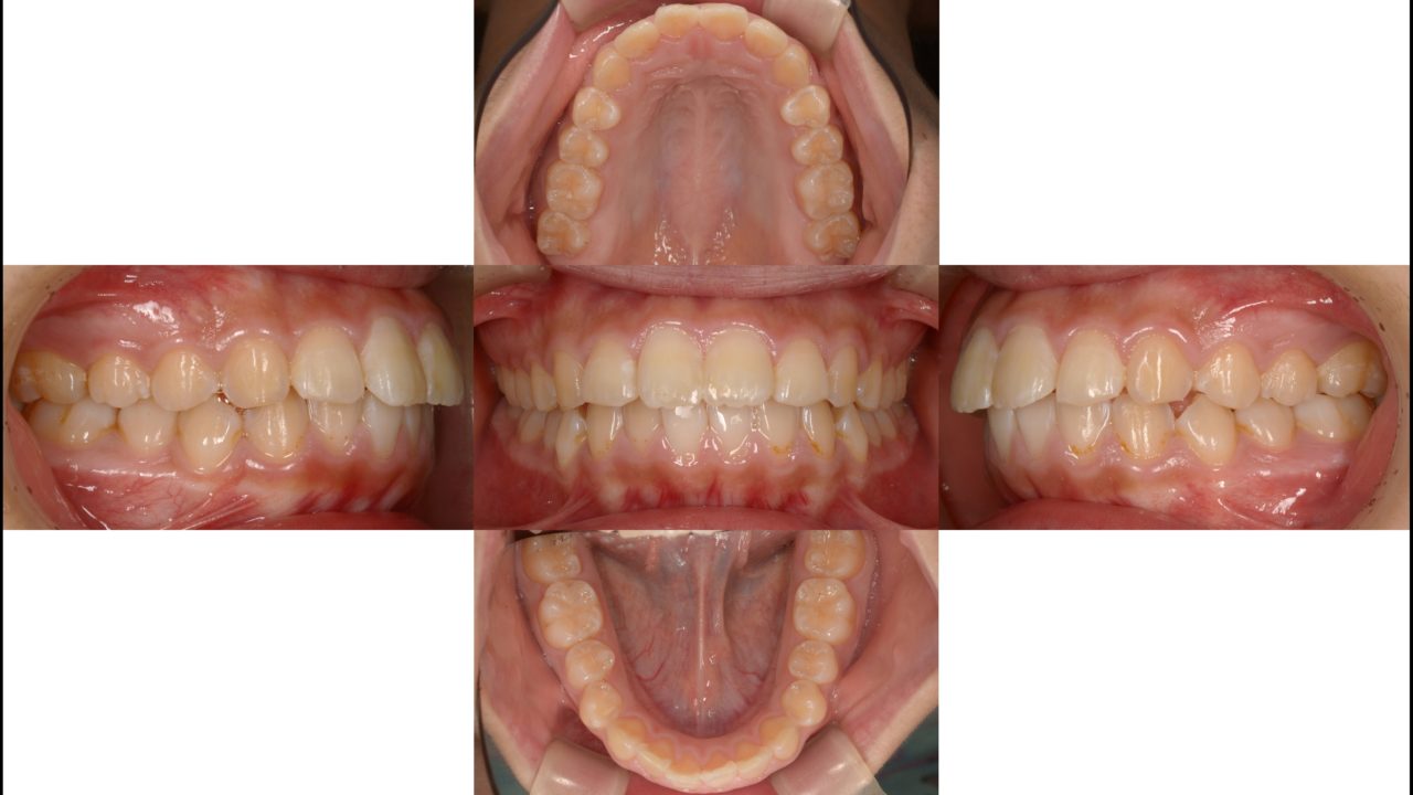
Before

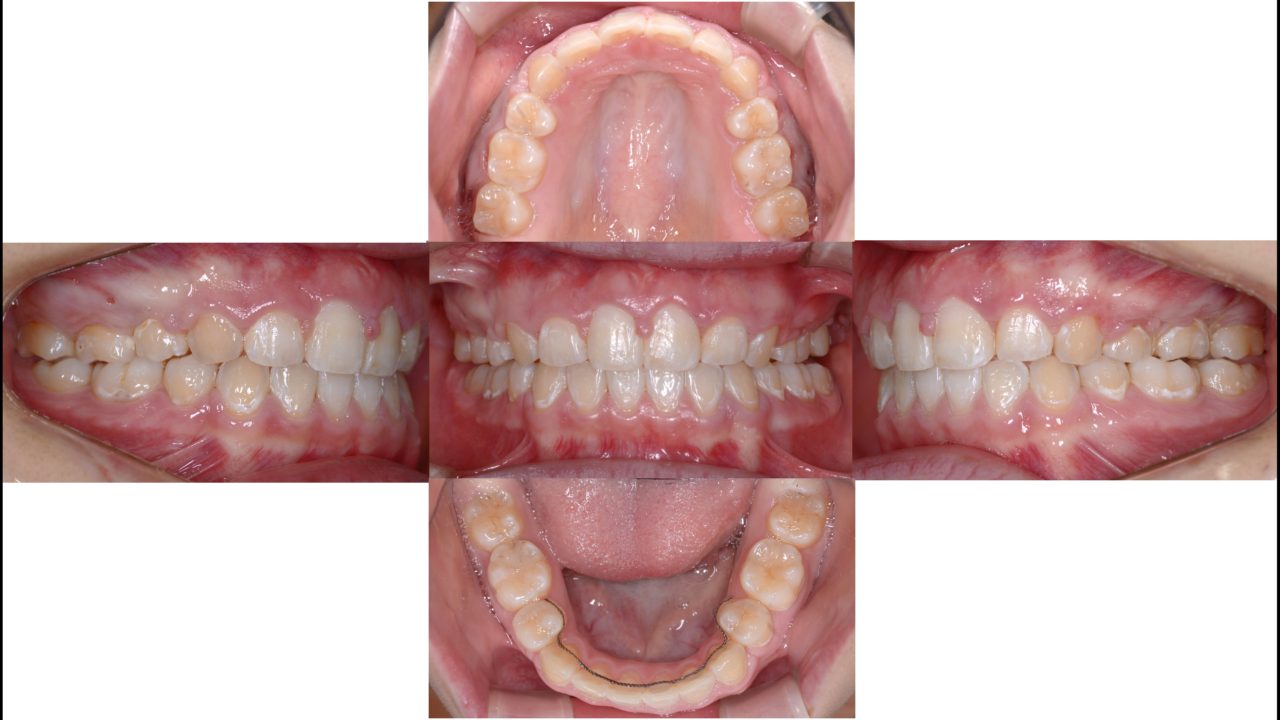
After
| 主訴 | 口元が前に出ているのが気になる |
|---|---|
| 診断 | 両側アングルクラスⅠ 上下顎前突 |
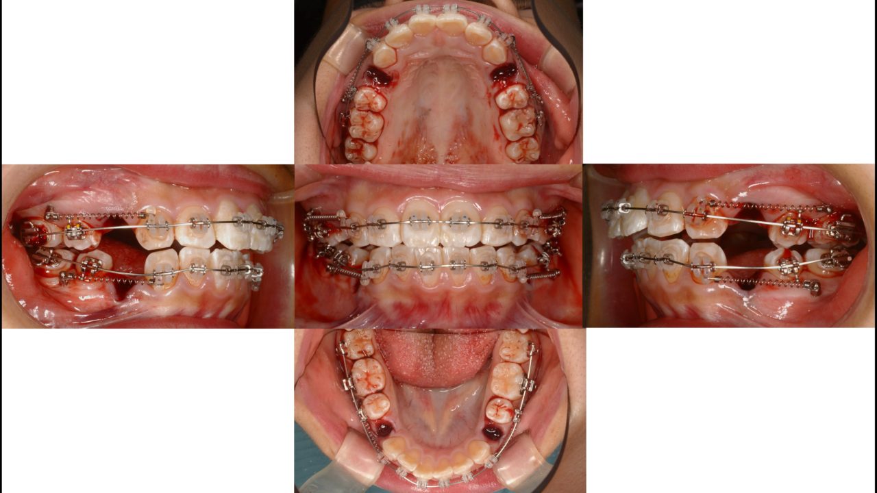
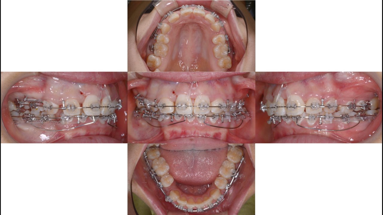
| 矯正方法 | 小臼歯4本抜歯と矯正用インプラントを伴うマルチブラケットシステム |
| 矯正期間 | 24か月 |
| 費用 | 806,000円(税別) |
| 調整料 | 5,000円(税別) |
| 備考 | 小学生のときに他院で第1期矯正をされていました。歯の凸凹は治り歯列はきれいになりましたが、全体的に前に出た仕上がりに不満を持っていました。成長の予測が難しい第1期矯正において、起こりうることです。口元をきれいに引っ込めるために抜歯を伴う矯正治療をすることになりました。第1小臼歯を4本抜歯し、矯正用インプラントにてできるだけ前歯を後方に移動しました。口元が引っ込み、とてもきれいになりました。矯正治療のやり直しはできればしたくないし、さらに結果が求められるので大変ですが、良い結果が出てよかったです。 |
治療詳細

初診 2018.5.12

矯正開始 2018.6.11

矯正開始10か月 2019.4.16

矯正終了 2020.7.2

