マルチブラケット矯正上顎前突(出っ歯)症例コラム
舌側矯正で出っ歯を治す

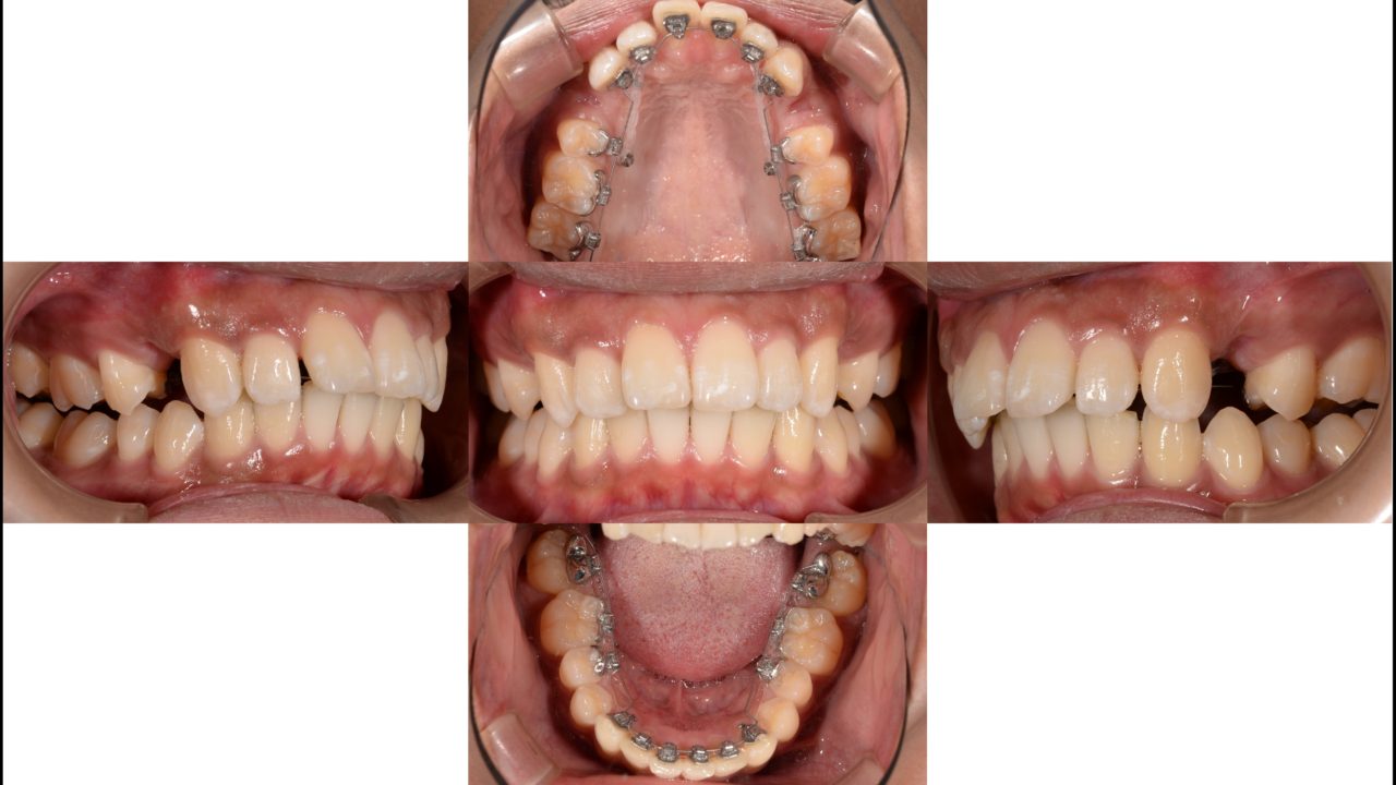
Before

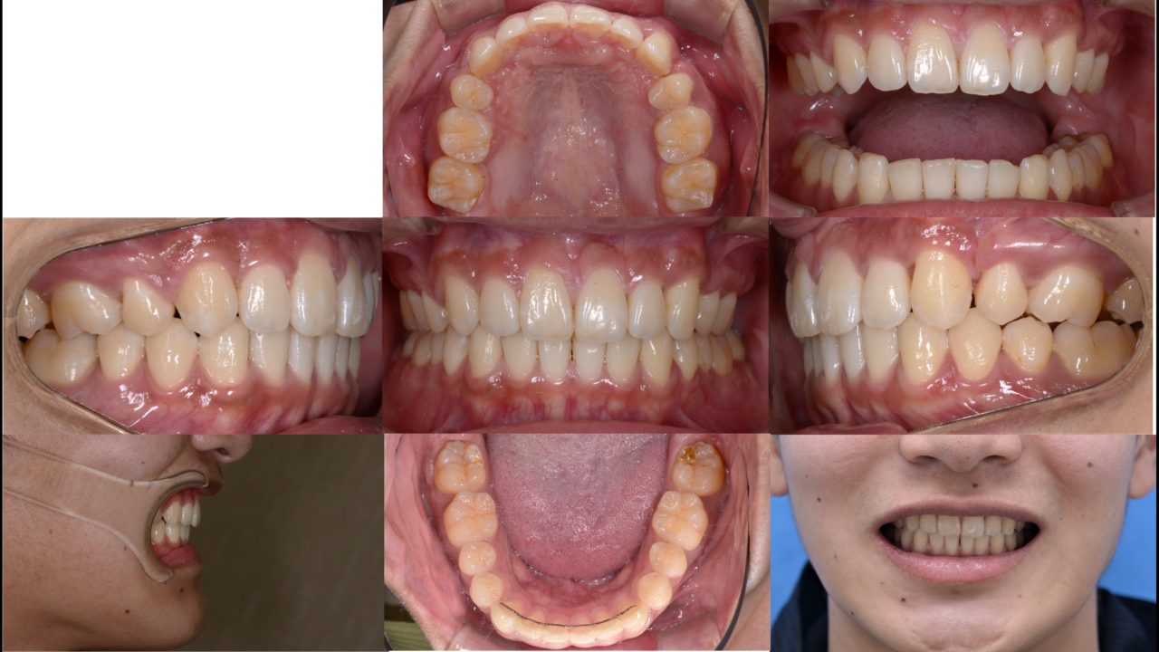
After
| 主訴 | 裏側の付ける矯正装置で歯並びをきれいにしたい |
|---|---|
| 診断 | 両側アングルクラスⅡ叢生 |
| 矯正方法 | ハーモニーシステムによる舌側矯正 |
| 矯正期間 | 39か月 |
| 費用 | 1,131,840円(税込み) |
| 調整料 | 5,400円(税込み) |
| 備考 | かなり上顎前歯が前突していました。骨格的にも上顎が下顎に対して大きく前方にありました。 矯正用インプラントを使用して前歯を可及的後方に下げる治療計画を立てました。 審美矯正を希望されていたので、矯正装置を歯の裏側に付ける舌側矯正を適応しました。 その中でもセルフライゲーションのハーモニーシステムにしました。 治療期間は予定よりかかってしまいましたが、口元が大きく引っ込み、非常にかっこいい仕上がりになりました。 |
治療詳細

初診 2016.10.28

舌側矯正開始 2017.2.1

ハーモニーシステムと矯正用インプラント

矯正終了 2020.5.28

