マウスピース矯正叢生(八重歯、凸凹、乱食い歯)症例コラム
マウスピース矯正で治したい

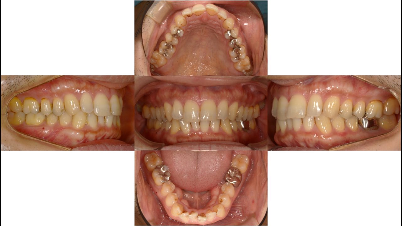
Before

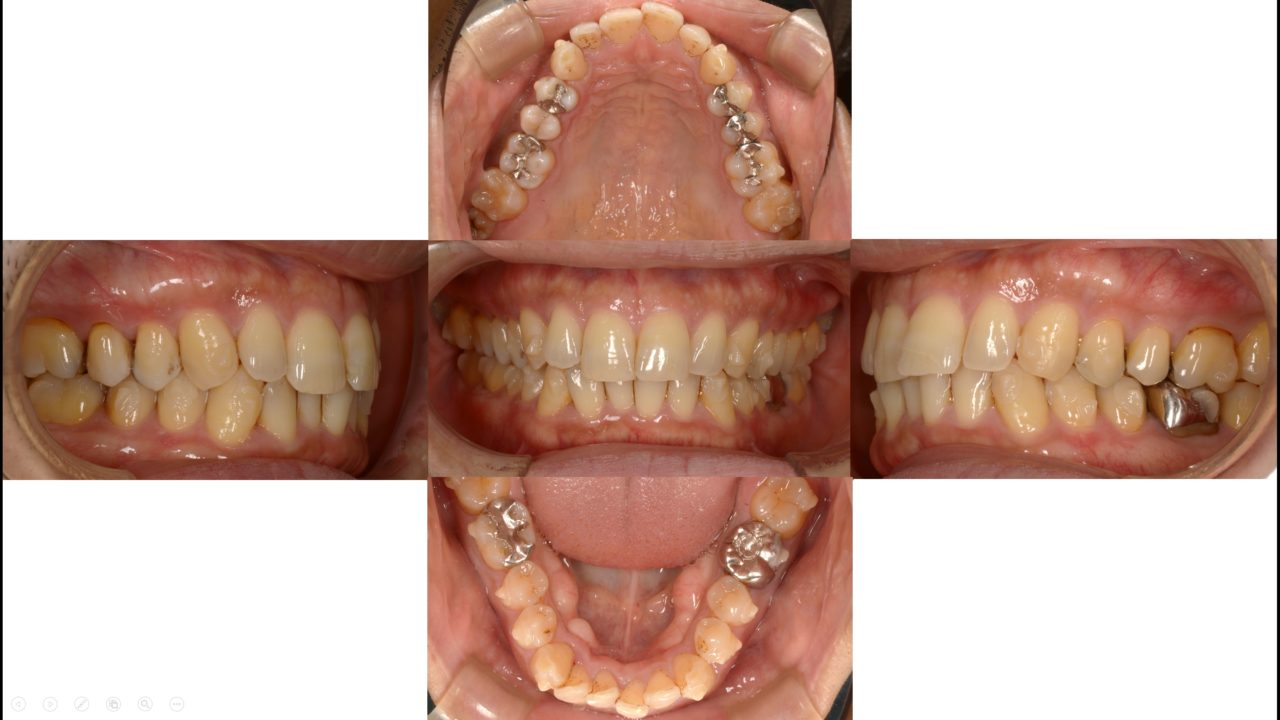
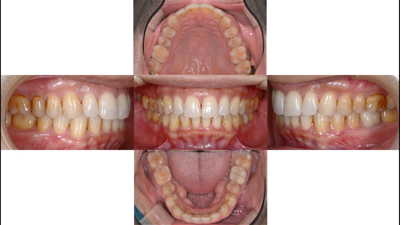
After
| 主訴 | 前歯の凸凹をマウスピース矯正で治したい |
|---|---|
| 診断 | 両側アングル1級叢生 |
| 矯正方法 | インビザラインによるマウスピース矯正 |
| 矯正期間 | 13か月 |
| 費用 | 890,000円(税別) |
| 調整料 | 5,000円(税別) |
| 備考 | 上下顎の前歯の凸凹を治したいという審美的な主訴でした。 以前に奥様が当院でインビザラインによるマウスピース矯正を受けられ終了しています。 その様子をふまえて、ご主人もマウスピース矯正を希望されました。 前歯の凸凹をまっすく並べるために上下顎共に左右に歯列を拡大しました。 特に上顎は狭い狭窄歯列でしたので、適正な広さに回復しました。 元々上下のバランスは悪くないので、非常にきれいな仕上がりとなりました。 銀歯もすべてセラミックに代え、ホワイトニングもしました。 |
治療詳細

初診 2018.8.18

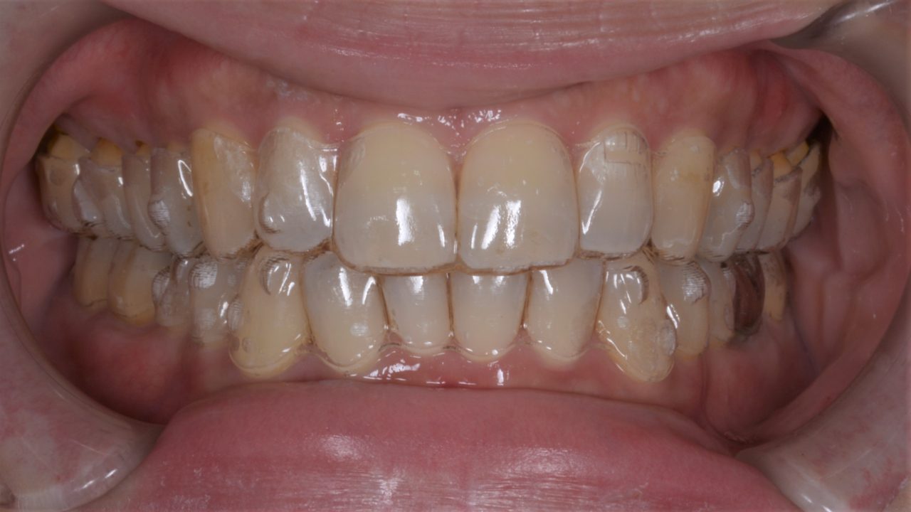
マウスピース矯正開始

マウスピース装着
インビザラインシステムを適応

