マルチブラケット矯正症例コラム
前歯をきれいにしたい

Before

After
| 主訴 | 前歯をきれいにしたい |
|---|---|
| 診断 | 両側アングル1級、上下顎前突 |
| 矯正方法 | 小臼歯4本抜歯を伴うマルチブラケットシステムの抜歯矯正 |
| 矯正期間 | 27か月 |
| 費用 | 806,000円(税別) |
| 調整料 | 5,000円(税別)/月 |
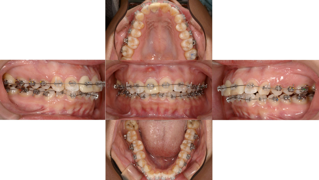
| 備考 | 以前から気にされていた前歯の被せ物や詰め物の変色は、もちろん改善対象です。 しかし、せっかく美しく治すのであれば、矯正治療で口元全体から美しさを追求しませんか、とご提案しました。 上顎・下顎ともに前歯が大きく前方へ突出しているタイプでしたので、小臼歯を4本抜歯し、前歯を最大限後退させる矯正治療を実施しました。 矯正用アンカースクリューを併用することで、口元を最大限下げることを目指したため、歯の移動距離が大きくなり、治療期間は比較的長くなりました。矯正治療の終了後、前歯2本はセラミックを用いて審美修復を行いました。治療前は口を閉じる際に力が必要でしたが、治療後は口元がすっきりと引き締まりました。 |
治療詳細

初診 2017.5.10

初診 パノラマレントゲン写真

矯正開始 2017.11.27

ファイナル 2020.3.24

