マルチブラケット矯正上顎前突(出っ歯)症例コラム
重度の出っ歯をワイヤー矯正で改善

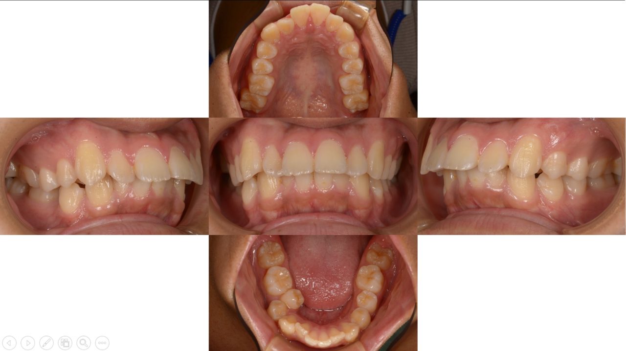
Before

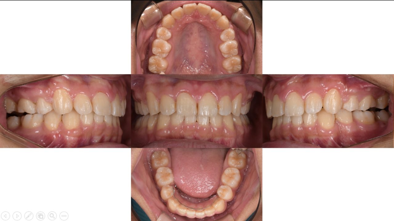
After
| 年齢 | 19歳 |
|---|---|
| 性別 | 男性 |
| 主訴 | 上顎の前歯が前突していて、口が閉まらない状態であった。 見た目も口元が突出していて、引っ込めることが主訴であった。 右下5番は歯列の内側に入り、機能していなかった。 |
| 診断 | 両側アングルクラスⅡ 叢生、上顎前突を伴う不正咬合 |
| 矯正方法 | 前歯を極力後方に移動させたいので矯正用アンカースクリューを4本使う治療計画とした。 小臼歯を4本抜歯して、叢生を改善しながら、口元を引っ込める抜歯矯正とした。 上顎前歯は10㎜の後方移動を計画した。 |
| 矯正期間 | 24か月 |
| 費用 | 1,106,600円(税込み) |
| 調整料 | 5,500円(税込み) |
| 備考 | 小臼歯を4本抜歯し、前歯を後方に移動した。 極力抜歯スペースを前歯を引っ込めるために利用したいので、矯正用アンカースクリューから前歯を牽引した。 治療期間約2年で治療目標だった上顎前歯を10㎜後方に移動できた。 口元は治療前よりかなり下がり、きれいなスマイルを獲得できた。 |
治療詳細

2022.7.7 初診
重度の上顎前突 右下5番はブロックアウト

2022.10.4 マルチブラケット装着
小臼歯4本抜歯と同時にマルチブラケット装着

2024.11.1 矯正治療終了
出っ歯が改善し、適正な歯軸を獲得できた

口元 治療前後比較
適正な口元を獲得できた
この治療の担当者
昭和歯科・矯正歯科 院長 木南 意澄
出っ歯(上顎前突)の改善をはじめ、矯正治療において500症例以上の豊富な実績と15年以上の経験がございます。確かな技術力で、前歯の突出感や口元のシルエットをしっかりと整え、多くの患者さまの美しい笑顔を実現してきました。
無料相談では、実際の出っ歯の改善例(アンカースクリューの活用など)をお見せしながら、治療期間や費用を概算いたします。
「前歯が出ている」「口元を引っ込めたい」とお悩みの方は、お気軽にご相談ください。

資格・所属学会
- インビザライン認定医
- 日本先進矯正歯科学会
- 日本舌側矯正歯科学会
当院が行う出っ歯の治療について詳しくはこちら→出っ歯の治療専門ページ
