症例コラム開咬(前歯が噛まない状態)
右下の奥歯に痛みがでている開咬を改善

Before

After
| 性別 | 男性 |
|---|---|
| 主訴 | 右下奥歯が痛い |
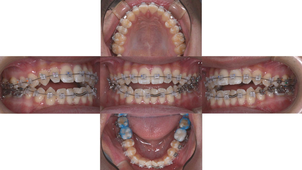
| 診断 | アングルクラスⅠの開咬 |
| 矯正方法 | 矯正用アンカーを用いた非抜歯によるマルチブラケットシステム |
| 矯正期間 | 15か月 |
| 費用 | 970,000円(税別) |
| 調整料 | 月1回 5,000円(税別) |
| 備考 | 奥歯の痛みを主訴に来院されました。嚙み合わせの状態を見ると前歯が噛んでいない「開咬」でした。 開咬は奥歯に負担がかかる嚙み合わせで、痛みの根本原因と診断しました。 矯正用アンカーを用いて、奥歯を圧下して、開咬を治す治療計画を立てました。 開咬は後戻りしやすい病態なので、保定をしっかりしてメインテナンスをしています。 |
治療詳細

初診

矯正治療開始

