マルチブラケット矯正症例コラム開咬(前歯が噛まない状態)
前歯で物が噛めない

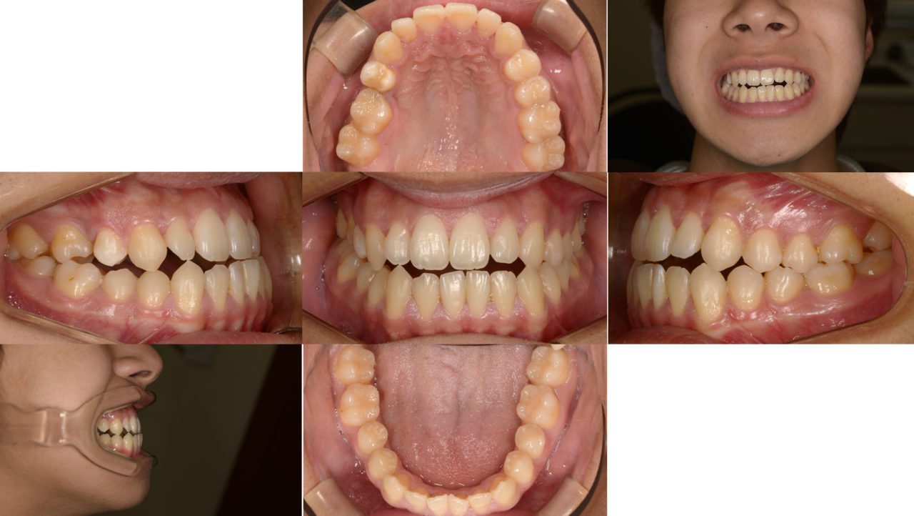
Before

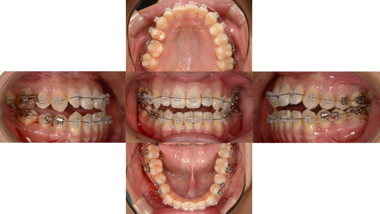
After
| 主訴 | 前歯で物が噛めない |
|---|---|
| 診断 | 両側アングル1級、下顎変位を伴う開咬 |
| 矯正方法 | ゴムメタルと矯正用アンカーを用いたマルチブラケットシステム |
| 矯正期間 | 18か月 |
| 費用 | 770,000円(税別) |
| 調整料 | 月1回 5,000円(税別) |
| 備考 | 奥歯だけが噛んでいて、前歯が全くかんでいない開咬という状態でした。前歯で噛みちぎることができないため、舌を使うのでまた開咬がひどくなるという悪循環でした。矯正用アンカーとゴムメタルを用いた矯正を行いました。顎位が安定しなかったため、ゆっくり進めましたが、1年半で前歯をしっかり噛ませることができました。右上5の歯の欠損部にはインプラントを行いました。見た目、機能ともに大きく改善したと言えます。若いときにこのような治療ができたことは今後の人生に大きく意味があったと考えます。 |
治療詳細

初診 2018.3.13

初診 パノラマレントゲン

矯正開始 2018.5.21

矯正終了 2019.11.11

ファイナル 2020.2.14

