マルチブラケット矯正上顎前突(出っ歯)叢生(八重歯、凸凹、乱食い歯)症例コラム
前歯の歯ぐきが腫れている

Before

After
| 主訴 | 前歯の歯ぐきが腫れている |
|---|---|
| 診断 | 両側アングル1級、上顎前突をを伴う叢生 |
| 矯正方法 | 矯正用アンカーを用い、抜歯を伴うマルチブラケット |
| 矯正期間 | 21か月 |
| 費用 | 806,000円(税別) |
| 調整料 | 月1回 5,000円(税別) |
| 備考 | 左上中切歯の根尖性歯周炎で来院されました。根っこの先に過剰歯があり、左上中切歯の神経は死んでいました。根管治療後、歯列不正を改善のために矯正治療を提案しました。小臼歯4本抜歯を伴うものですが、噛み合わせが良くなるだけでなく、口元もかなりすっきりし、審美を得られる可能性があることを説明をしたところ、快く了承をしていただけました。失活歯で予後不良の左下第2大臼歯も抜歯し、親知らずを利用しました。すべての治療期間は23か月かかりましたが、今後の人生が楽しみになる顔貌の良化を遂げたと考えます。ご本人にも非常に喜んでいただけました。 |
治療詳細

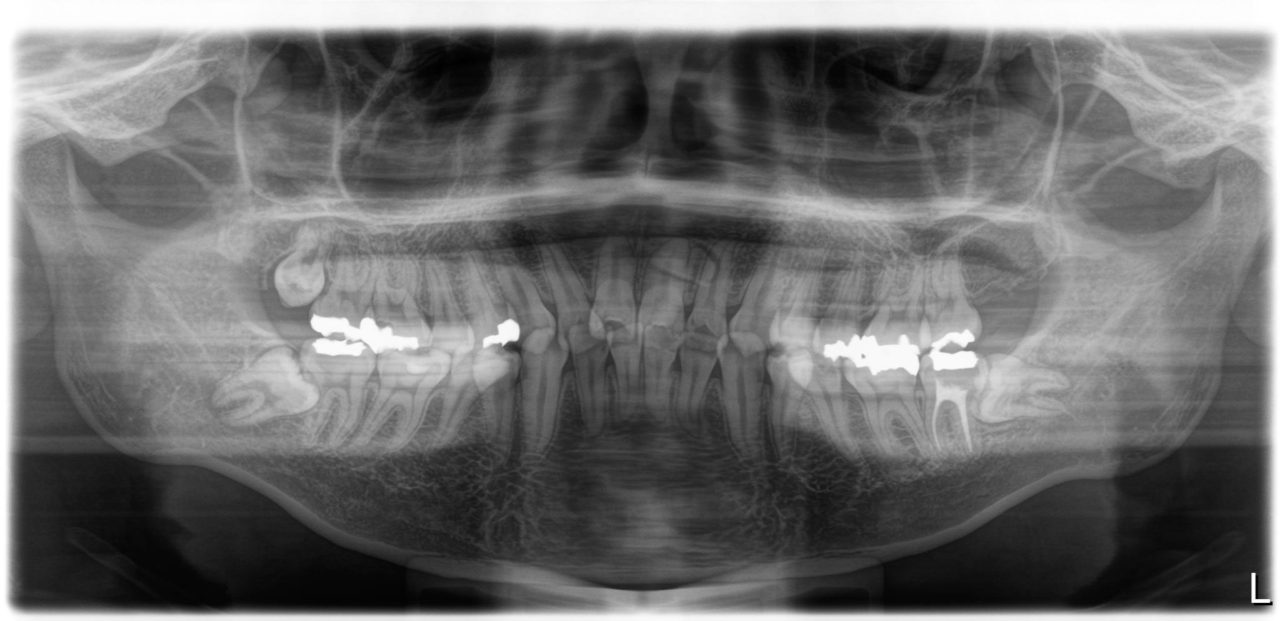
初診 2017.11.2

初診 パノラマレントゲン

矯正開始 2018.1.26

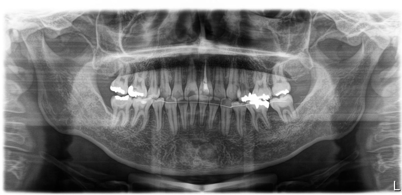
ファイナル 2019.12.6

ファイナル パノラマレントゲン

