抜歯をしない矯正
non extraction
抜歯をしない矯正(非抜歯矯正)とは

非抜歯矯正とは、親知らず以外の永久歯を抜かずに歯並びを整える矯正治療のことです。
非抜歯矯正のメリットは、抜歯矯正と比較して治療期間を短縮しやすいことです。また、本来は抜歯する必要のない、健康な歯を抜くこともありません。
ただし、適応症例が限られており、全ての患者さんが利用できる治療法ではありません。また、後戻りのリスクもあるため、適切な診断と綿密な治療計画が必要です。
非抜歯矯正を成功させるポイント
当院は基本的にはまず、非抜歯による治療計画を立てます。私が行う矯正歯科治療全体の7割を占めます。1期治療(児童期矯正)は非抜歯です。
また、口元を引っ込める希望がない場合はほとんど非抜歯で行えます。歯がガタガタ並ぶ原因の多くはスペース不足です。きれいに並べるにはスペースを作る必要があります。スペースを作った後に歯を配列します。ただ、どれも限界があるので、診断が大切になります。長い人生を考えると、やはり歯の数は多いに越したことはありません。非抜歯矯正で治療のゴールが達成できないか、あらゆる角度から診断しています。
歯を並べるためのスペースを作る方法
矯正治療では歯を並べる為のスペースを作ります。歯が綺麗に並ぶスペースを作り歯並びを整えていく為、歯を抜かずに矯正が可能となります。
- 歯列を拡大する
- 歯を後ろに移動する
- 歯を外に倒す
- エナメル質を少し削る
非抜歯矯正歯科治療の症例紹介
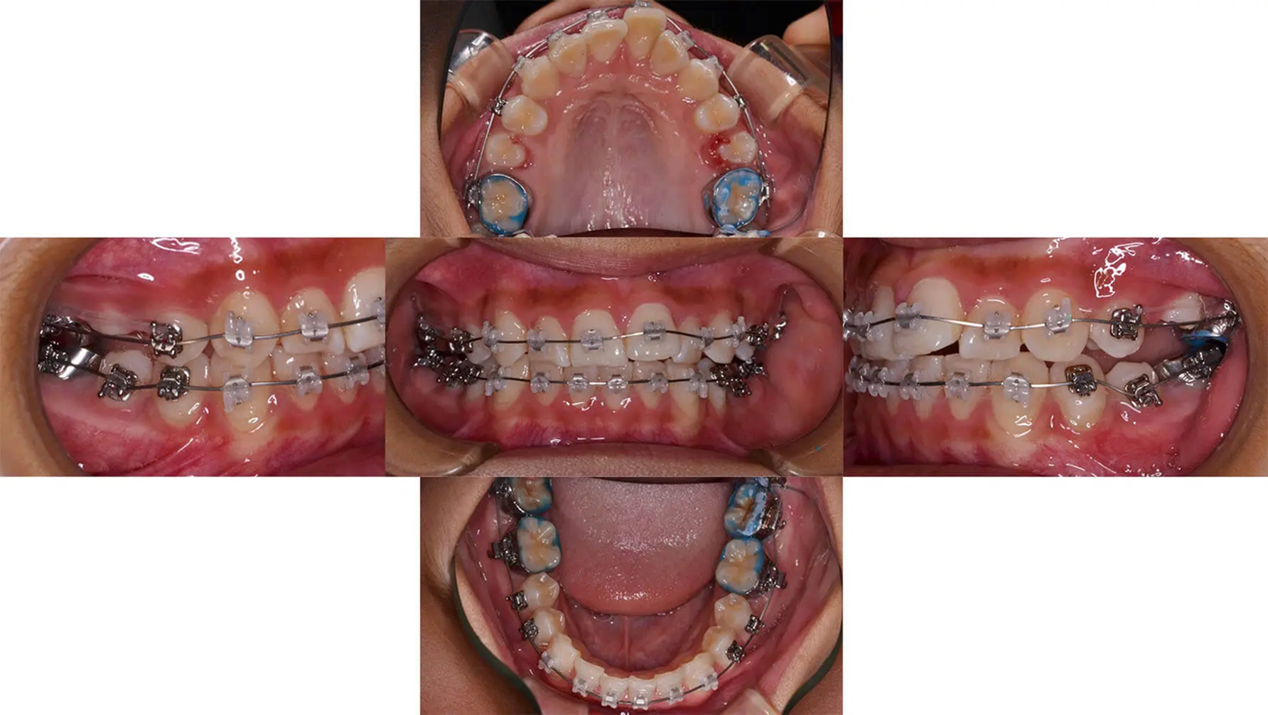
Case01出っ歯を歯を抜かずに改善した症例
小学生のころから来院されていて、出っ歯を気にしていました。中学生になり左側中切歯がさらに前方に出てきたので、それを機会に矯正治療を開始しました。出っ歯の場合、大きく後方に移動するには小臼歯抜歯が必要です。しかし、今回は診査の結果と本人の希望により、抜歯なしで行うことにしました。非抜歯でしたが前歯が揃い、ある程度後方に移動できました。3年後、後戻りは最低限で経過しています。
口元比較
Before
After
口元比較 横側
Before
After
初診 2015.5.29

矯正治療開始 2015.6.19

ファイナル 2016.8.31

ファイナル 2016.8.31

治療3年後 2019.8.23

| 主訴 | 前歯1本前に出ている |
|---|---|
| 診断 | 左側アングル1級、右側アングル2級叢生を伴う上顎前突 |
| 矯正方法 | ゴムメタルワイヤーを用いたマルチブラケット |
| 矯正期間 | 15か月・17回 |
| 費用 | 690,000円(税別) |
| 調整料 | 月1回 5,000円(税別) |
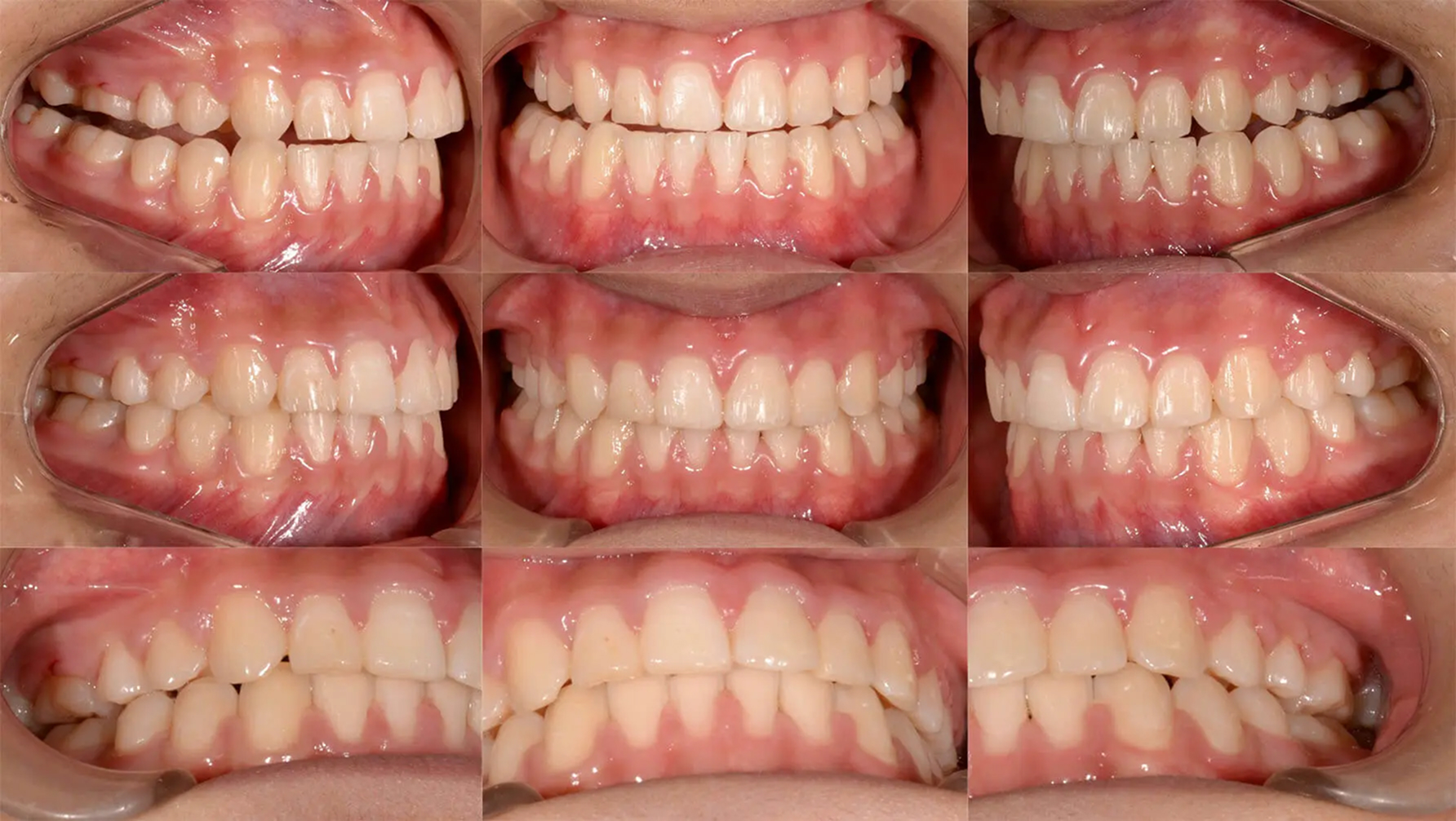
Case02凸凹とを歯を抜かずに改善した症例
全体的な歯列不正が著しく、ブラッシングがしにくい状態でした。永久歯の異所萌出により両側上顎乳犬歯は晩期残存していました。診査の結果、歯列の狭窄を認めたため、オーバーレイアーチによる拡大を行えば、抜歯なしで矯正できると診断しました。かなり窮屈な部位もありましたが、きれいに歯列を整えました。むし歯治療も適正に行い、審美的な状態を獲得しました。
口元比較
Before
After
初診 2017.5.16

矯正治療開始 2017.8.7

ファイナル 2018.11.13

ファイナル 2018.11.13

| 主訴 | 全体的な凸凹をきれいにしたい |
|---|---|
| 診断 | 両側アングル1級の叢生 |
| 矯正方法 | オーバーレイアーチを用いたマルチブラケット |
| 矯正期間 | 13か月・15回 |
| 費用 | 710,000円(税別) |
| 調整料 | 月1回 5,000円(税別) |
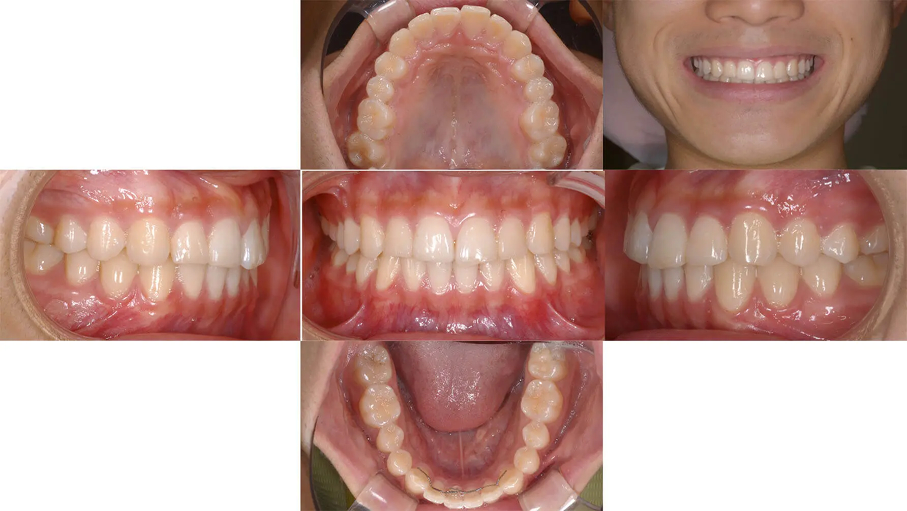
Case03顔の中心のズレを改善した症例
歯が顔とズレているの気になると来院した中学生です。左上の八重歯も改善希望でした。診査の結果、矯正用アンカーを用いることで抜歯なし行えると診断しました。8か月と短期間で終えることができました。八重歯の部分は後戻りしやすいので、保定装置の装着が必須になります。
口元比較
Before
After
初診 2017.8.22

矯正治療開始 2017.9.13

ファイナル 2018.5.1

ファイナル 2018.5.1

| 主訴 | 顔の中心と歯の真ん中がずれている |
|---|---|
| 診断 | 両側アングル1級の叢生 |
| 矯正方法 | 矯正用アンカーを用いたマルチブラケット |
| 矯正期間 | 8か月・10回 |
| 費用 | 730,000円(税別) |
| 調整料 | 月1回 5,000円(税別) |
歯並びでお悩みの方・矯正をご検討の方は
ぜひご相談ください

矯正治療において500症例以上の豊富な治療実績・15年以上の矯正治療経験があり、確かな技術力によって多くの患者さまの笑顔を実現してきました。
無料相談では、顔貌と口腔内診査を行い、あなたにあった矯正治療の概要を説明します。
当院での治療例をお見せし、治療期間や費用を概算します。
歯並びやお口の機能でお悩みがあればお気軽にご相談ください。
ご来院前に、お電話やネット予約にて事前予約をお願い致します。
- 【受付時間】
- 9:00~12:00/ 13:00~18:00 ※土曜日 …9:00~13:00
- 【休診日】
- 土曜午後、日曜、祝日
非抜歯矯正のよくある質問
できるだけ歯を抜かずに矯正することはできますか?
はい、当院では基本的には非抜歯で行いたいと考え、実際に、私が担当する矯正治療の約7割は非抜歯で行っております。
ただし、歯並びや顎の状態によっては、スペース不足から抜歯が必要となるケースもあります。
まずは非抜歯で治療が可能かどうかを、様々な角度からしっかり診断して判断します。
歯が並ぶスペースがなくても、歯を抜かずに矯正治療ができますか?
スペースがない状態では、そのまま歯を並べることはできません。当院では以下のような方法でスペースを確保しています。
- 歯列の拡大(アーチを広げる)
- 奥歯の位置を後方に移動させる
- 前歯をわずかに外側へ倒す
- 歯の表面(エナメル質)をごくわずかに削る(IPR)
これらの方法を適切に組み合わせ、非抜歯で対応可能かどうかを診断します。
患者さんの骨格や歯の大きさとのバランスを考慮し、無理のない治療を行っています。
非抜歯と抜歯、どちらが長持ちしますか?
どちらが長持ちするかは、噛み合わせや治療方針によります。大切なのは、「無理に歯を残すこと」でも「簡単に歯を抜くこと」でもなく、正しい噛み合わせと歯列バランスを作ることです。当院では、歯をできるだけ多く残す方針ですが、それが将来的な安定や健康を損なうと判断した場合は、必要に応じて抜歯を提案することもあります。長期的に見て、歯や歯ぐきに負担が少ないこと、そしてしっかり噛める状態を維持することを優先しています。
