部分矯正治療
mtm
部分矯正治療とは

矯正治療は全部の歯を動かす、もしくは固定源として使うことが基本です。しかし、ほんの1部分以外は問題のない歯並び、噛み合わせの場合、部分矯正の適応になります。
できるだけ少なく、小さな装置で矯正治療を行えれば、費用と期間を大きく短縮できます。
- 治療回数/期間
- 1カ月につき1回~2回 / 3カ月~1年
- メリット
-
- 治療計画によって、最小限の装置で済む。
- 治療費が比較的安く、治療期間が比較的短い。
- デメリット
-
- 噛み合わせを大きく改善することは難しい。
- 固定源となる歯が少ないので、動かしたくない歯まで動くリスクがある。
- 経年的に口腔内状況が変わると、再度、矯正治療が必要になるリスクがある。
対象となる範囲

部分矯正とは歯列の一部を改善するために一部だけに装置を付けて、矯正治療を行うことです。前歯だけのこともあれば、奥歯だけのこともあります。
噛み合わせや歯列、骨格に大きな問題がなく、その一部分の改善のみで解決する場合に行います。
重度の不正咬合や骨格の問題がある場合は、全体矯正が必要になることがあります。
部分矯正をおすすめする方
部分矯正は1〜6本程度の歯を動かすことに適した特定の歯の並びを改善したい場合に向いている治療法です。
歯並びの乱れの中で言うと軽度の叢生(デコボコした歯並び)、出っ歯、空隙歯列(すきっ歯)歯の捻転などの症状に適しています。
- 軽度の症状を改善したい方
- 前歯のすきっ歯が気になる方
- 部分的に気になる歯並びをコストを抑えて治療したい方
- 矯正の治療期間を短くしたい方
マウスピースを使用した部分矯正

部分的な歯並びの矯正もマウスピースで整えることができます。
取り外しが可能なので、食事や歯磨きの際のストレスがなく、矯正をスタートするハードルも低いと言えます。
費用や期間を抑え、理想の歯並びを手に入れましょう。
部分矯正の症例紹介
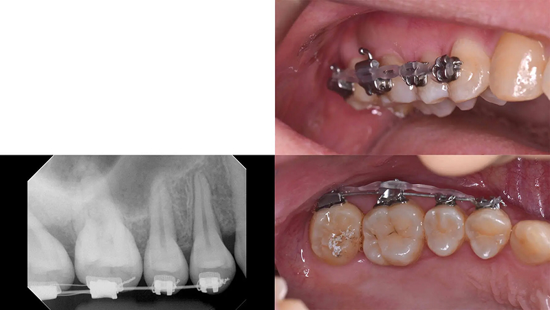
Case01抜歯する奥歯の代わりに親知らずを移動させた症例
右上第2大臼歯が歯髄炎で痛みがある状態でした。歯髄炎の治療はもちろんできますが、神経をとることになるので、歯の寿命は短くなります。そこで、戦略的に抜歯して、無垢の親知らず(第3大臼歯)を部分矯正で第2大臼歯の位置に持ってくる治療方法を提案しました。長期的に考えると良法ということが伝わり承諾していただけました。右上4本分に装置をつけ、親知らずを移動させました。若い方には特に意義深い治療となりました。
初診 2014.10.31

抜歯+矯正治療開始 2014.11.19

矯正治療の経過 2015.2.5

ファイナル 2015.3.13

| 主訴 | 右上1番奥歯がじっとしていても痛い |
|---|---|
| 診断 | 右側アングル1級、左側アングル2級の叢生 |
| 矯正方法 | 矯正用アンカーとマルチブラケットを用いた部分矯正 |
| 矯正期間 | 4か月・6回 |
| 費用 | 179,000円(税別) |
| 調整料 | 月1回 5,000円(税別) |
Case02マウスピース型矯正で前歯の凸凹を改善した部分矯正
前歯の凸凹が気になると受診されました。ただ、従来の矯正装置は付けたくないとのことで審美矯正を希望されました。本来なら全顎矯正の適応ですが、費用の兼ね合いもあり、前歯の凸凹だけ治療しても、審美的な改善はもちろん、機能的にも問題ないと診断しました。14枚(上下で28枚)以内のインビザライン ライトを適応しました。短期間できれいになったと大変満足していただけました。
口元比較
Before
After
初診 2016.5.16

矯正治療開始 2016.6.29

ファイナル 2017.1.4

| 主訴 | 前歯の凸凹を目立たない矯正で治したい |
|---|---|
| 診断 | 右側アングル1級、左側アングル3級の叢生 |
| 矯正方法 | マウスピース型矯正(インビザライン ライト) |
| 矯正期間 | 6か月・8回 |
| 費用 | 390,000円(税別) |
| 調整料 | 月1回 5,000円(税別) |
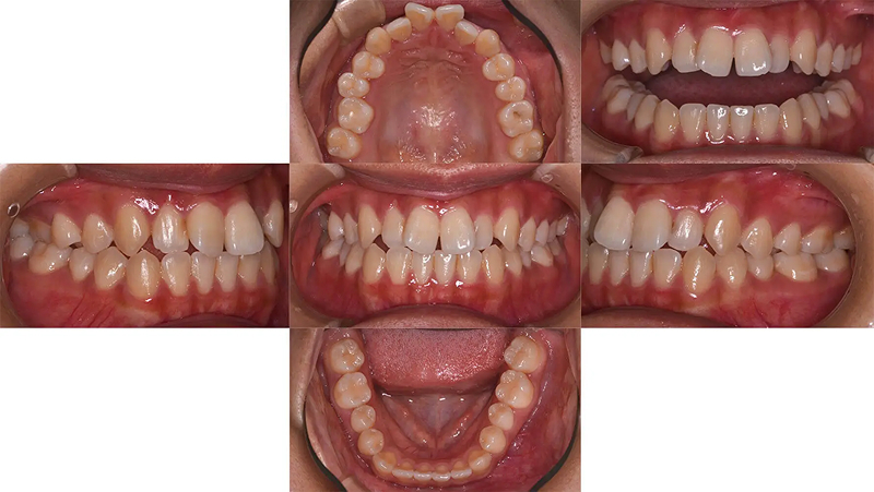
Case03部分矯正とインプラントで歯列を整えた症例
メインテナンスに通っていた患者さんであるとき、左上第2大臼歯のかぶせ物が脱離して来院されました。第2大臼歯は歯根破折をしており、残念ながら予後不良で抜歯と診断しました。元々、第2小臼歯が欠損しており、第1大臼歯がそのスペースに倒れこんでいる歯列不正がありました。この機会に歯列を整えて、インプラントをしましょうと提案しました。承諾していただき、5か月の部分矯正後、インプラントを埋入しました。3年経ちましたが経過は順調です。
初診 2016.1.21

左上7番 歯根破折 ⇒ 抜歯 左上6番 部分矯正開始 2016.2.8

左上6番 部分矯正終了 2016.7.12 ファイナル 2016.9.27

治療後3年 2019.10.12

| 主訴 | 左上1番奥歯の冠が外れた |
|---|---|
| 診断 | 右側アングル1級、左側アングル2級の叢生 |
| 矯正方法 | 矯正用アンカーを用いた部分矯正 |
| 矯正期間 | 5か月・7回 |
| 費用 | 129,000円(税別) |
| 調整料 | 月1回 5,000円(税別) |
歯並びでお悩みの方・矯正をご検討の方は
ぜひご相談ください

矯正治療において500症例以上の豊富な治療実績・15年以上の矯正治療経験があり、確かな技術力によって多くの患者さまの笑顔を実現してきました。
無料相談では、顔貌と口腔内診査を行い、あなたにあった矯正治療の概要を説明します。
当院での治療例をお見せし、治療期間や費用を概算します。
歯並びやお口の機能でお悩みがあればお気軽にご相談ください。
ご来院前に、お電話やネット予約にて事前予約をお願い致します。
- 【受付時間】
- 9:00~12:00/ 13:00~18:00 ※土曜日 …9:00~13:00
- 【休診日】
- 土曜午後、日曜、祝日
部分矯正のよくある質問
前歯の歯並びだけ気になりますが、部分的な矯正はできますか?
前歯の傾斜やすきっ歯の改善は、部分矯正でも可能です。噛み合わせを改善したい場合は、全顎矯正が必要になるので、まずは歯科医院に相談してみましょう。
部分矯正は前歯の位置を調整する治療が中心となるため、奥歯の噛み合わせには影響を与えにくいです。そのため、歯並びの見た目を優先したい方には適していますが、根本的な噛み合わせの問題がある場合は、部分矯正では対応が難しいこともあります。
部分矯正と全顎矯正の違いは何ですか?
現在のお口の状況や症状により、最適な治療法が異なります。見た目だけを改善したい場合は、部分矯正で対応できることもありますし、噛み合わせの改善をしたい場合は、全顎矯正が必要になります。予算を含めて、矯正医に相談してみてください。
部分矯正は主に前歯の歯並びを整える治療で、比較的短期間かつ費用も抑えられるというメリットがあります。
部分矯正ができないと言われることはありますか?
あります。部分矯正では治療が難しい症例では、全顎矯正をお勧めします。奥歯の噛み合わせに問題がある場合や、歯を大きく移動させる必要があるケースでは、部分矯正では限界があるため、全顎矯正を検討することになります。
例:前歯が閉じない(開咬)、出っ歯を後ろに移動させたい、左右非対称の歯並びを改善したい場合、など。
部分矯正はどのくらいの期間で終わりますか?
部分矯正の治療期間は、症例によりますが、一般的に3ヶ月〜1年程度です。歯の動きが早い場合は短期間で終わることもありますが、歯の状態や治療方法によっては長くなることもあります。まずは診断を受けて、具体的な治療期間を確認することをおすすめします。
部分矯正の後にホワイトニングはできますか?
はい、矯正治療後のホワイトニングは可能です。部分矯正を行うことで歯並びが整うと、歯の表面の汚れが均等に落ちやすくなるため、ホワイトニングの効果も高まりやすくなります。ホワイトニングを希望する場合は、矯正治療が完了した後に、歯科医に相談するとよいでしょう。
部分矯正後に口臭が気になることはありますか?
矯正装置を装着すると、歯と装置の間に食べかすが溜まりやすくなるため、しっかりとした歯磨きが必要です。特に、矯正中は専用の歯ブラシやデンタルフロスを活用し、口腔内を清潔に保つことで、口臭のリスクを軽減できます。マウスピース矯正の場合は取り外しができるため、通常のブラッシングが可能ですが、装着前には必ず歯を磨くようにしましょう。
