上顎前突(出っ歯)
maxillary
上顎前突(出っ歯)とは

上顎前突とはいわゆる「出っ歯」のことです。
見た目の訴えとして最も多い歯列になります。下顎に対して上顎が前方へ出ているもの、上顎の前歯が前方に位置しているもの、歯が前方へ傾斜しているもの、これらを総称します。重度になると前歯がしっかり噛まないため、奥歯の寿命に悪影響が出たり、口が閉じにくい、噛みにくいなどの症状が出たりします。
上顎前突(出っ歯)詳細
★が多いほど悪くなります。(3段階)
こんなお悩みはないでしょうか?
- 口の中が乾燥しやすい
- 前歯が出ているのが気になる
- 笑うと歯茎が見える
- 笑ったときに歯が目立つ
叢上顎前突(出っ歯)の原因
-
Reason 01
先天的な遺伝的要因
上顎前突(出っ歯)の原因の一つとして、先天的な遺伝的要因と後天的な要因がありますが、親から子に受け継がれる身体的特徴として、上顎骨の過成長や下顎骨の成長不足、歯の大きさなどの身体的特徴が上顎前突に結びつきやすいと言われています。
-
Reason 02
上下の顎(あご)のバランス
正常であれば上顎と下顎のバランスが整っていれば歯並びが崩れにくいとされますが、上顎の骨の成長が過剰だったり、下顎の成長が不足していたりすると、上下顎のバランスが崩れて、上の前歯が前に突き出てしまいやすくなります。
-
Reason 03
口呼吸の習慣
口呼吸が関係すると言われるのは、口を常に開けていることで口や顔の筋肉のバランスが崩れ、上顎や歯の位置に影響を与えるためです。特に、口呼吸によって舌が正しい位置に収まらず、歯を前に押し出す力が加わることで、出っ歯が進行しやすくなります。
-
Reason 04
指しゃぶりなどの悪癖
幼少期の指しゃぶりや舌で前歯を押す癖などの悪癖は、歯列に継続的な圧力をかけるため、歯が前方に押し出されやすくなります。その結果、これらの「歯を動かす悪癖」が上顎前突(出っ歯)の原因の一つとして挙げられます。
上顎前突(出っ歯)をそのままにしていると・・・

食べ物を噛み切れない
上顎前突(出っ歯)を放置すると、咀嚼が不十分なせいで、食べ物をかみ切るのが難しくなります。食べ物がよくかみ砕かれないまま胃腸に届くと、消化不良や栄養吸収の低下を引き起こす恐れがあります。また、顎関節症を発症するリスクも高まるため、早期の治療が必要です。
歯が割れる(破折)リスクがある
前歯が割れやすくなることも上顎前突を放置するリスクです。上の前歯が飛び出していると、転んだ時に前歯を打つ可能性が高くなります。筋力の衰えなどが原因で転倒しやすくなった高齢者の方や、スポーツで身体接触が多い方は、特に注意しなければなりません。
口の中が乾燥しやすくなる
上顎前突の人は口を閉じにくくなるため、口呼吸の頻度が増えます。そのため口腔内が乾燥しやすくなり、ドライマウス(口腔乾燥症)を引き起こす原因となります。口呼吸の癖がつくと、鼻呼吸が困難になり、風邪や喉の病気にかかりやすくなることも注意点です。また、睡眠の質を下げる可能性もあります。
上顎前突(出っ歯)の治療方法
-
小臼歯を抜歯したスペースに前突している前歯6本を後方へ下げて、出っ歯を治す方法
適応は本当に上顎前歯が前方に出ていて、大きく引っ込める必要もしくは希望がある場合です。ポピュラーな方法で、出っ歯で悩んでいる方はこちらになります。最大限引っ込めるときは矯正用インプラントを使います。
-
下顎の位置を前に誘導する方法
上顎前突ではなく、実は下顎劣成長症例に適応します。出っ歯に見えるのが、上顎と下顎のアンバランスが原因で、下顎が下がっている場合は非抜歯で行うことができます。
日本人に多い噛み合わせで4~5人に1人
実際は上顎が出ているというより、下顎が引っ込んでいる場合が多く、診査診断が重要になります。いずれにしろ、上顎前歯はその人の印象を大きく左右します。見た目に関しても、最も影響がある歯列と言えます。上顎前突は叢生を併発していることが多いです。
「出っ歯でありながら、凸凹もある状態、それでいて、前歯をきれいに引っ込めたい。」
これが最も抜歯矯正の適応になります。
治療後のインパクトは大きい
Before
After
上顎前突の矯正治療は最も見た目が改善します。口元の与える印象は間違いなくNo.1でしょう。上顎前歯の不正で思い悩んでいる人はたくさんいます。まだ、あきらめていない人、あきらめようと自分に言い聞かせて、思いを封じている人、気にならないと思おうとしている人、矯正のハードルは決して低くないですが、人生を良化する威力があるのも本当です。様々な装置を使って、時間を少々いただければ、20mm以上前歯の切端を引っ込めることができます。
| 主訴 | 前歯が気になる |
|---|---|
| 診断 | 上顎前突(出っ歯) |
| 矯正方法 | ワイヤー矯正 |
| 矯正期間・回数 | 20カ月・22回 |
| 費用 | 890,000円(税別) |
| 調整料 | 5,000円(税別) |
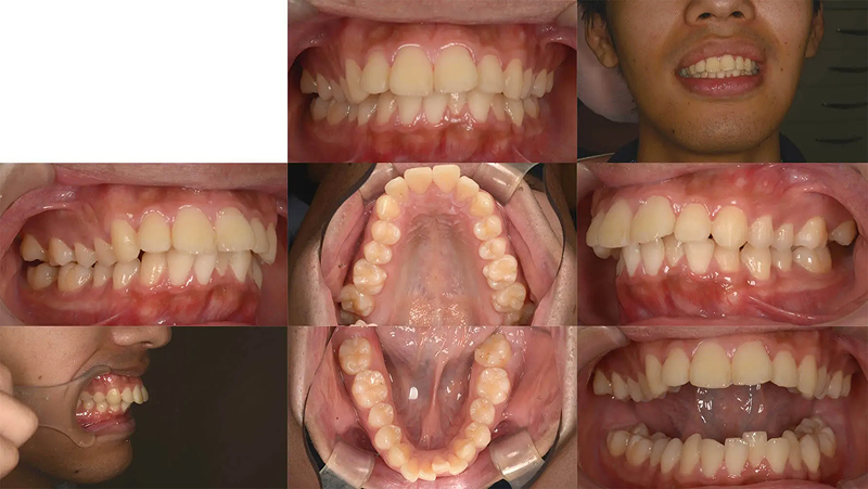
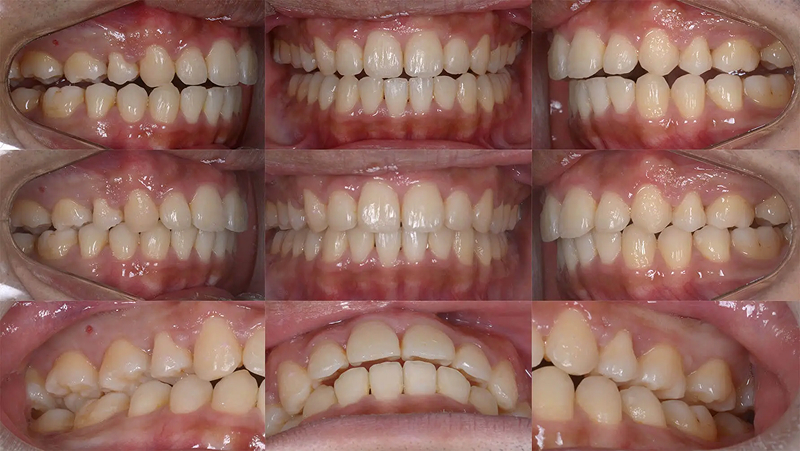
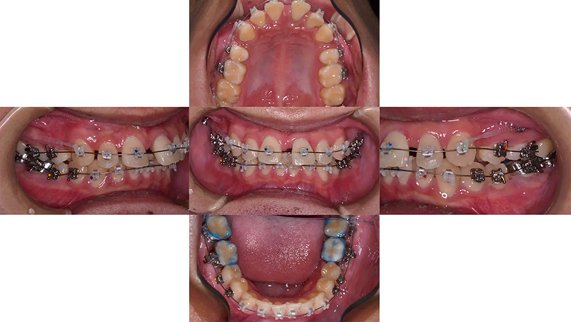
上顎前突(出っ歯)の症例
Case01凸凹と出っ歯を改善した症例
口がきちんと閉まらないのを気にされて来院されました。歯を抜かないでできるならとの希望でしたが口元を美しく仕上げるには最低限、上顎小臼歯2本の抜歯が必要と診断しました。矯正用アンカーを使用して、可及的に前歯を後方に下げるように行いました。口元がすっきりしてきれいなスマイルが仕上がりました。もちろん、口も自然に閉じられるようになりました。
口元比較
Before
After
口元比較 横側
Before
After
初診 2017.6.23

矯正開始 2017.8.4

ファイナル 2019.5.31

ファイナル 2019.5.31

| 主訴 | 凸凹と出っ歯を治したい |
|---|---|
| 診断 | 左側アングル2級、右側アングル1級叢生を伴う上顎前突 |
| 矯正方法 | 上顎第1小臼歯2本抜歯を伴うマルチブラケット |
| 矯正期間 | 21か月・23回 |
| 費用 | 748,000円(税別) |
| 調整料 | 月1回 5,000円(税別) |
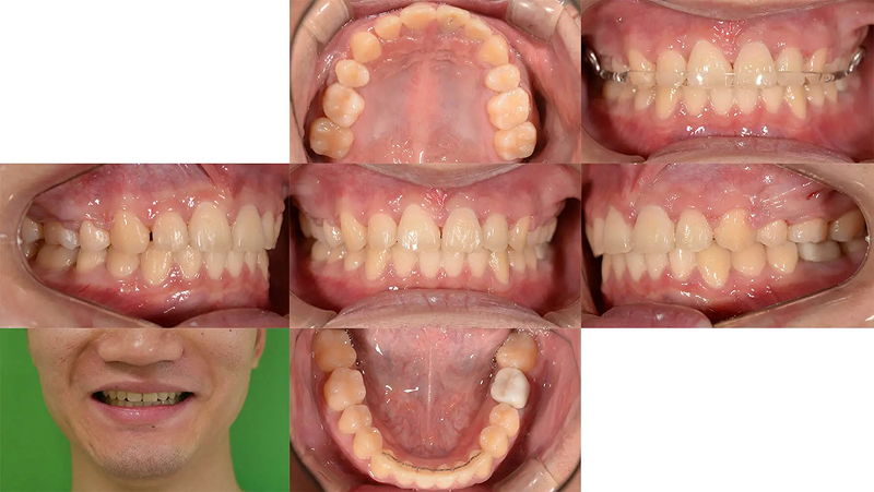
Case02凸凹と出っ歯を改善した症例
海外からの転医の患者さんです。日本で留学することになったので、治療の続きをしたいとのことでした。既に両側上顎第1小臼歯2本が抜歯されていました。上顎前歯は著しく前方に傾斜しており、審美的に大きな問題がありました。この状態からの治療計画なので、制限がありましたが、無事、上顎前歯を後方に移動し、前歯を噛ませて、素敵なスマイルを獲得できました。
口元比較
Before
After
初診 2015.10.5

矯正開始 2015.11.18

ファイナル 2015.10.5

| 主訴 | 凸凹と出っ歯を治したい |
|---|---|
| 診断 | 両側アングル2級の上顎前突 |
| 矯正方法 | 上顎第1小臼歯2本抜歯を伴うマルチブラケット |
| 矯正期間 | 18か月・20回 |
| 費用 | 730,000円(税別) |
| 調整料 | 月1回 5,000円(税別) |
Case03歯を抜かないで出っ歯を治したい
上顎前歯2本が出ているのを矯正するために来院されました。しかし、親御さんが抜歯はしないで欲しいという条件付きでした。非抜歯で出っ歯を治すのはある程度になります。それをご承諾の上、できるだけ上顎前歯を後ろに下げる矯正治療を行いました。劇的には変わっていませんが、出っ歯は改善し、患者さんにも親御さんにも大変満足していただけました。4年半後も変わらない状態を保てています。
口元比較
Before
After
初診 2014.4.4

矯正開始 2015.11.18

ファイナル 2015.10.5

ファイナル 2015.10.5

矯正終了4年後 2018.12.11

| 主訴 | 歯を抜かないで出っ歯を治したい |
|---|---|
| 診断 | 両側アングル2級の上顎前突 |
| 矯正方法 | ゴムメタルを用いたマルチブラケット |
| 矯正期間 | 7か月・9回 |
| 費用 | 690,000円(税別) |
| 調整料 | 月1回 5,000円(税別) |
上顎前突(出っ歯)でお悩みの方は
ご相談ください

矯正治療において500症例以上の豊富な治療実績・15年以上の矯正治療経験があり、確かな技術力によって多くの患者さまの笑顔を実現してきました。
無料相談では、顔貌と口腔内診査を行い、あなたにあった矯正治療の概要を説明します。
当院での治療例をお見せし、治療期間や費用を概算します。
歯並びやお口の機能でお悩みがあればお気軽にご相談ください。
ご来院前に、お電話やネット予約にて事前予約をお願い致します。
- 【受付時間】
- 9:00~12:00/ 13:00~18:00 ※土曜日 …9:00~13:00
- 【休診日】
- 土曜午後、日曜、祝日
上顎前突(出っ歯)のよくある質問
抜歯せずに治療はできますか?
出っ歯の原因によります。顎の上下のバランスが悪いのか、生活習慣に問題があるのかにより、抜歯の必要性が異なります。
出っ歯のみの部分的な治療は可能ですか?
お口の状態によっては可能ですが、顎の広さ、他の歯の大きさや位置などにもよるので、一度、歯科医院に相談してみてください。
上顎前突(出っ歯)になる原因は何ですか?
顎や歯の形の遺伝、食事や癖などの生活習慣、口呼吸などが考えられます。
出っ歯を自分で改善できますか?
出っ歯の原因が生活習慣にある場合、ご自身で改善して頂くことも可能です。考えられる原因は、指しゃぶりや爪を噛む癖、姿勢の悪い状態での食事などがありますので、まずは生活習慣を見直してみましょう。
