子どもの早期矯正
early orthodontic

小児期の早い段階の
受け口(反対咬合)の治療
第Ⅰ期治療で最も早期に始められるのが反対咬合の治療です。
3歳から治療の適応になります。小児の反対咬合の治療に用いるのがムーシールド、プレオルソです。
ムーシールド

ムーシールドは、1983年に開発された治療法で、30年以上の実績があり、全国4万人近い子供達がすでに治療を受け、効果が証明されています。装置はマウスピース型をしており、口腔内に入れることで、不正咬合の原因となる筋機能のアンバランスを修正する機能的顎矯正装置です。
- 治療回数/期間
- 3カ月につき1回~2回/1年
- メリット
-
- 将来、抜歯を伴う矯正を避けられる可能性が高まります
- 本格的な矯正治療の前に行うので費用がリーズナブル
- 取り外しが可能なため、食事の際も快適です
- 必要な時に外せるため、見た目が気になる方にも安心です
- デメリット
-
- 成長段階で後戻りをする可能性があります
- 舌や口のトレーニングを同時並行で行う必要があります
- 対応症例として、受け口(反対咬合)がメインです
- 十分な治療効果が出やすい時期は限られています
プレオルソ

プレオルソは主に3〜9歳くらいの子ども向け(乳歯列期~混合歯列期)のマウスピース型の矯正装置です。
基本的には寝ている間と、日中に1時間程度の装着とされています。
歯並びの乱れの原因となる舌の位置、口呼吸、指しゃぶりなどの悪習癖を改善に効果があるとされています。
- 治療回数/期間
- 1カ月につき1回~2回/半年~2年
- メリット
-
- 器具を外せるので、人前で装置に気づかれる心配がありません
- 痛みや負担が少ない器具です
- 指しゃぶりなどの癖の改善ができ、後戻りがしづらいです
- 顎の発達を助け、歯並びを整えます
- デメリット
-
- 矯正ができる範囲には限界があります
- 装着時間を管理する必要があります
- 歯ぎしりがある場合、使用できないことがあります
- 十分な治療効果が出やすい時期は限られています
ムーシールド、プレオルソの3つのポイント
-
POINT 01
反対咬合の原因に直接アプローチ
小児の反対咬合の主な原因は「舌の位置(舌癖)」です。
この舌癖を治すことで、噛み合わせを正常にする治療法になります。歯を直接動かす装置を使う前に機能的矯正装置を使ってみるべきです。 -
POINT 02
治療方法が他の矯正に比べ簡便
取り外し式マウスピースで、しかも、装着は就寝時のみです。これほど、簡単で効果のある矯正歯科治療は少ないと言えます。
-
POINT 03
治療費が安い
本格矯正に比べて、初期の反対咬合治療はかなり安価で行えます。将来、受け口になるか、ならないかは50万、100万かかる将来の治療を防げるなら、5万円でできる今の治療は大きな意味があります。
ムーシールドの症例紹介
Case013歳から始めた反対咬合治療
最も典型的なムーシールドによる反対咬合の治療例です。
-

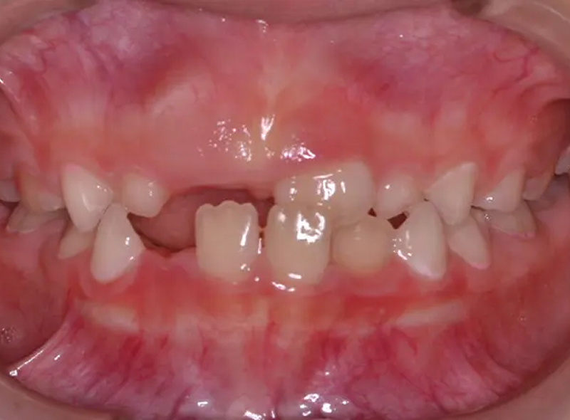
3歳4か月の女児。前歯がすべて反対咬合になっています。
-

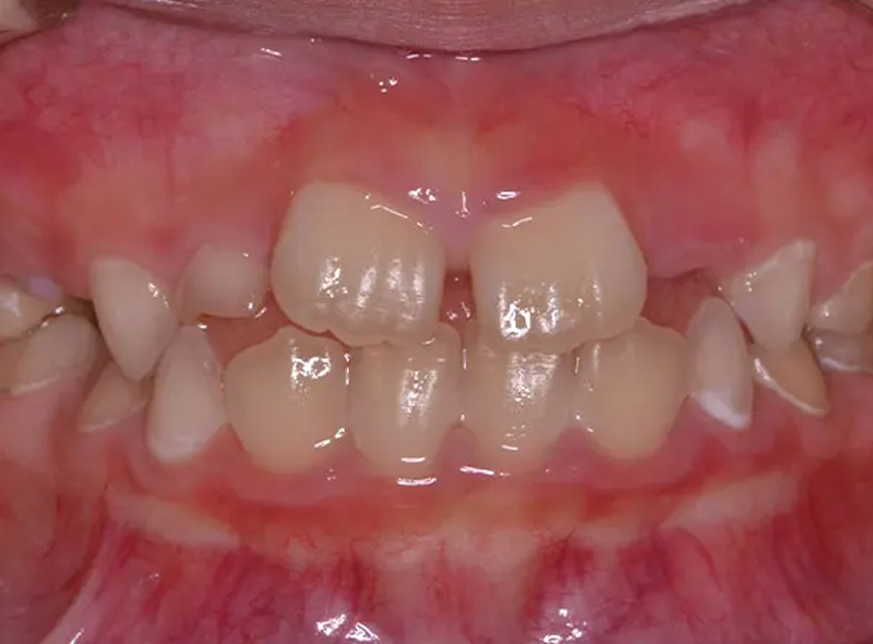
3か月後、かなり改善され、切端位で噛めるようになりました。
-

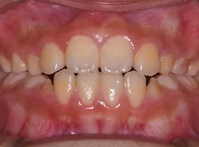
9か月後、完全な正常咬合になりました。
| 主訴 | 反対咬合を矯正したい |
|---|---|
| 診断 | 反対咬合治療 |
| 矯正方法 | ムーシールドの使用 |
| 矯正期間 | 12か月・4回 |
| 費用 | 49,000円(税別) |
| 調整料 | 3か月に1回 1,000円(税別) |
Case02S、Mサイズを使い、効率的に反対咬合を改善した症例
Sサイズが入るうちはSを使った方が成功率が上がるので、いけるところまでSを使いました。
-

5歳9か月の女児。乳歯は生え変わりがあるが、Sで開始。
-

7か月後、Sが入らなくなったため、Mサイズに変更。
-

14か月後。前歯永久歯の萌出は正常咬合となった。
| 主訴 | 反対咬合を矯正したい |
|---|---|
| 診断 | 反対咬合 |
| 矯正方法 | ムーシールドの使用 |
| 矯正期間 | 14か月・5回 |
| 費用 | 49,000円(税別) |
| 調整料 | 3か月に1回 1,000円(税別) |
Case03スタートが遅れたがMサイズで早期に改善した症例
永久前歯の反対咬合は成功率が下がりますが、早期に改善し、後戻りのない症例です。
-

7歳5か月の男児。永久前歯の反対咬合。骨格的にも下顎が大きい傾向でした。
-

3か月後、浅いですが、正常咬合へ。それでも、1年間はムーシールドを継続します。
-

11歳の定期検診。後戻りなく、正常咬合を保っています。
| 主訴 | 反対咬合を矯正したい |
|---|---|
| 診断 | 反対咬合 |
| 矯正方法 | ムーシールドの使用 |
| 矯正期間 | 12か月・4回 |
| 費用 | 49,000円(税別) |
| 調整料 | 3か月に1回 1,000円(税別) |
Case04反対咬合を治療後、永久歯萌出に伴い叢生が発症し、床矯正を行った第Ⅰ期治療症例
-

初診3歳10か月。
反対咬合を主訴に受診。 -

ムーシールド12か月で正常咬合に改善しました。その後、2回/年の定期検診で生え変わりを待ちます。
| 主訴 | 受け口を治したい |
|---|---|
| 診断 | 舌癖による歯性反対咬合 |
| 矯正方法 | ムーシールド |
| 矯正期間 | 1年・4回 |
| 費用 | 49,000円(税別) |
| 調整料 | 3か月に1回 1,000円(税別) |
床矯正について

床矯正歯科治療は、臨床上の咬合の発育段階を示す方法として、ヘルマンの咬合発育段階という方法があり、第Ⅰ期治療は、ヘルマンの咬合発育段階Ⅲ A(第1大臼歯萌出完了期)から行うことが多く、その中で、最もポピュラーで特にヨーロッパでは広く普及している、取り外し式の機械的装置を使用した治療法です。
また適応範囲も広く、こどもに起こる歯列不正の大部分が叢生(歯列の凸凹)です。歯が凸凹に生えることにより、出っ歯や反対咬合になる場合がありますが、それらは骨格的なものは少なく、歯がきれいに並べば、解決することが多いです。重度の出っ歯や反対咬合、開咬はそちらの改善を優先するため、別の装置なりますが、逆に言うとそれ以外は床矯正治療の適応になります。
- 治療回数/期間
- 1カ月につき1回~2回/1カ月につき1回~2回/1年半~3年
- メリット
-
- 成人になってから抜歯をせずに矯正を終えられる可能性が高まります
- 治療の痛みが少ないです
- 取り外しが出来るので、食事やブラッシングの際に困りません
- デメリット
-
- 公的医療保険が適用されない自費診療です
- 装着時間が少ないと十分な治療効果が得られません
床矯正の3つのポイント
-
POINT 01
抜歯をしなくていい
床矯正歯科装置は、お子様の成長に合わせて少しづつ歯列の幅を広げて行くことで、健康的な天然歯を抜歯する可能性を回避できる矯正です。
-
POINT 02
治療期間が短い
マルチブラケットシステムの治療には数年の期間がかかる場合が多くありますが、床矯正歯科装置の治療期間はおよそ1年ほどで終わる事が多いです。
-
POINT 03
治療費が比較的安い
永久歯が生え揃ってから行う、矯正治療に比べると、治療費も比較的安くすみます。
床矯正の症例紹介
Case01下顎前歯の叢生を改善した第Ⅰ期治療症例
当院で行っている床矯正を主装置とした第Ⅰ期治療として、最もオーソドックスなパターンです。下顎前歯の凸凹を主訴としたもので、床矯正拡大装置を半年、マルチブラケットを3か月で動的治療を終了しています。
-
初診6歳7か月。
下顎前歯の叢生を気にして受診。 -
床矯正拡大装置の開始。
治療期間6か月。
調整料 月1回 3,000円(税別) -
マルチブラケット装置開始。
治療期間3か月。
調整料 月1回 5,000円(税別) -
第1期治療期間9か月。
保定と生え変わりの経過観察。
| 主訴 | 下顎前歯が凸凹に生えてきた |
|---|---|
| 診断 | 上下顎前歯叢生(上顎の側切歯は未萌出だが、歯の大きさとスペースから考えると叢生になる) |
| 矯正方法 | 床矯正拡大装置(上下顎)+マルチブラケット(上下顎6本×2) |
| 矯正期間 | 9か月・9回 |
| 費用 | 345,000円(税別) |
| 調整料 | 調整料 月1回 3,000~5,000円(税別) |
Case02ムーシールド終了後の第Ⅰ期治療症例
ムーシールドによる反対咬合治療後、定期検診で永久歯の生え変わりを観察しました。しかし、大きな歯が生えてきて、前歯が叢生になりました。
そこで、床矯正拡大装置とマルチブラケットを用いた第Ⅰ期治療を再開しました。この症例も第Ⅰ期治療として、比較的多いパターンです。
-
再診7歳2か月。
反対咬合の再発はないが、永久歯が叢生に生えてきた。 -
床矯正拡大装置の開始。
治療期間8か月。
調整料 月1回 3,000円(税別) -
上顎側切歯が生え変わるのを待ってから、マルチブラケット装置開始。
治療期間3か月。
調整料 月1回 5,000円(税別) -
第Ⅰ期治療期間4年6か月。保定と生え変わりの経過観察。
| 主訴 | 下顎前歯が凸凹に生えてきた |
|---|---|
| 診断 | 上下顎前歯叢生(上顎の側切歯は未萌出だが、歯の大きさとスペースから考えると叢生になる) |
| 矯正方法 | 床矯正拡大装置(上下顎)+マルチブラケット(上下顎6本×2) |
| 矯正期間 | 13か月・14回 |
| 費用 | 345,000円(税別) |
| 調整料 | 調整料 月1回 3,000~5,000円(税別) |
POINT
ムーシールドや床矯正で安定しない場合
ムーシールドや床矯正を行っても、完全に正常咬合で安定しない場合は、初めて、歯を直接動かす装置を使うことになり、代表的な装置はリンガルアーチです。リンガルアーチは、歯を移動させる簡易的な矯正装置です。機能的矯正装置により、舌癖を改善させることで、後戻りのリスクが軽減します。
よくある質問
3歳の子どもの前歯がガタガタです。矯正治療をする場合、何歳頃始めるのがよいでしょうか?
3歳であれば、始めることができる矯正もあります。まずは、どの程度ガタガタなのか、お口の中全体の状況を専門医に確認してもらい、治療を開始すべき年齢を確認してみましょう。
子どもの指しゃぶりは歯並びを悪くしますか?
指を吸うことにより口内の圧力が高まることや、指で前歯を押す癖がつくことから、歯並びを悪くする可能性が高いです。歯の並びだけでなく、顎や顔の形にも影響が出ることがあります。2歳~3歳頃には、指しゃぶりの癖を辞めさせるのが良いでしょう。
子どもの上の歯と下の歯がぶつかり合っています。何歳から治療が必要ですか?
3歳頃から治療が可能です。早いうちに治療を始めると、治療期間が短く費用も抑えることができるので、早めの受診をしてみてください。
また、噛み合わせのズレを放置すると、顎の成長に影響を与えたり、発音や食事のしやすさにも支障をきたすことがあります。成長とともに自然に改善するケースもありますが、一度専門医の診察を受けることで、適切な治療開始時期を見極めることができます。
子どもの歯並びが気になりますが、矯正装置を付けることで、いじめられたりすることが心配です。
矯正の種類によりますが、「家にいるときだけ」「寝るときだけ」装着する矯正装置もあります。無理のない範囲で始めてみてはいかがでしょうか。
最近では、透明なマウスピース矯正など、目立ちにくい方法も増えており、お子さんの負担を軽減することが可能です。さらに、小児矯正は将来的な本格的な矯正治療を軽減できることが多いため、早期に相談することで負担を最小限に抑えることができます。
子どもがマウスピース矯正を始めましたが、装着したまま眠れないようです。
初めの数日は、装着を嫌がる、寝れなくて辛い、というお声をよく聞きますが、慣れていくと気にせず眠れる方が多いです。頑張ったご褒美などを決めて、楽しんで治療に励んでみてください。マウスピースが痛い場合は、歯科医に相談し、調整してもらうことで快適に装着できることもあります。
子どもの滑舌が悪いことが気になります。
歯並びが悪いことにより、発音に影響が出ることがあります。特に「サ行」は、前歯の隙間の空気が漏れることで音を出すので、歯並びによって発音が難しくなります。
また、舌の位置や動きの癖が原因で発音がうまくできないこともあります。その場合、矯正治療とともに、MFT(口腔筋機能療法)を取り入れることで、発音が改善することが期待できます。
乳歯のうちから矯正治療をするメリットはありますか?
はい、乳歯の時期から矯正を始めることで、顎の成長をコントロールしながら歯並びを整えやすくなります。また、将来的に抜歯をせずに済む可能性が高まり、本格的な矯正の必要性が減ることもあります。早期治療によって、口呼吸や発音の問題を改善できることもあります。
指しゃぶりや口呼吸は歯並びに影響しますか?
はい、指しゃぶりや口呼吸は、歯並びや顎の成長に影響を与える可能性があります。特に、4〜5歳以降も続くと、前歯が前に出たり、上下の歯の間に隙間ができたりすることがあります。これを予防するためには、舌の正しい位置や鼻呼吸を意識する習慣をつけることが重要です。矯正治療とあわせて、口腔筋機能療法(MFT)を行うことで、より良い結果が期待できます。
矯正を始めると、普段の食事に制限がありますか?
ワイヤー矯正の場合は、硬いもの(氷、せんべい、ナッツなど)や、粘着性のあるもの(ガム、キャラメルなど)は装置が壊れる原因になるため、控えたほうが良いです。一方で、マウスピース矯正であれば、食事の際に装置を外せるため、基本的に食事制限はありません。治療方法によって注意点が異なるため、事前に確認しておくと安心です。
歯並びの悪さは、親から子へ遺伝しますか?
顎や歯の大きさ・形が遺伝するため、結果的に歯並びが似てくることはよくあります。また、普段の姿勢や呼吸方法、舌の使い方という生活習慣も歯並びに深く関係します。親子で似たような生活習慣があれば、似たような歯並びになります。
お子さまの歯並びでお悩みの方・矯正をご検討の方は
ぜひご相談ください

矯正治療において500症例以上の豊富な治療実績・15年以上の矯正治療経験があり、確かな技術力によって多くの患者さまの笑顔を実現してきました。
無料相談では、顔貌と口腔内診査を行い、あなたにあった矯正治療の概要を説明します。
当院での治療例をお見せし、治療期間や費用を概算します。
歯並びやお口の機能でお悩みがあればお気軽にご相談ください。
ご来院前に、お電話やネット予約にて事前予約をお願い致します。
- 【受付時間】
- 9:00~12:00/ 13:00~18:00 ※土曜日 …9:00~13:00
- 【休診日】
- 土曜午後、日曜、祝日
