マルチブラケット矯正下顎前突(反対咬合、受け口)叢生(八重歯、凸凹、乱食い歯)症例コラム
小児の反対咬合(受け口)と叢生(乱食い)をムーシールドと床矯正で改善した症例

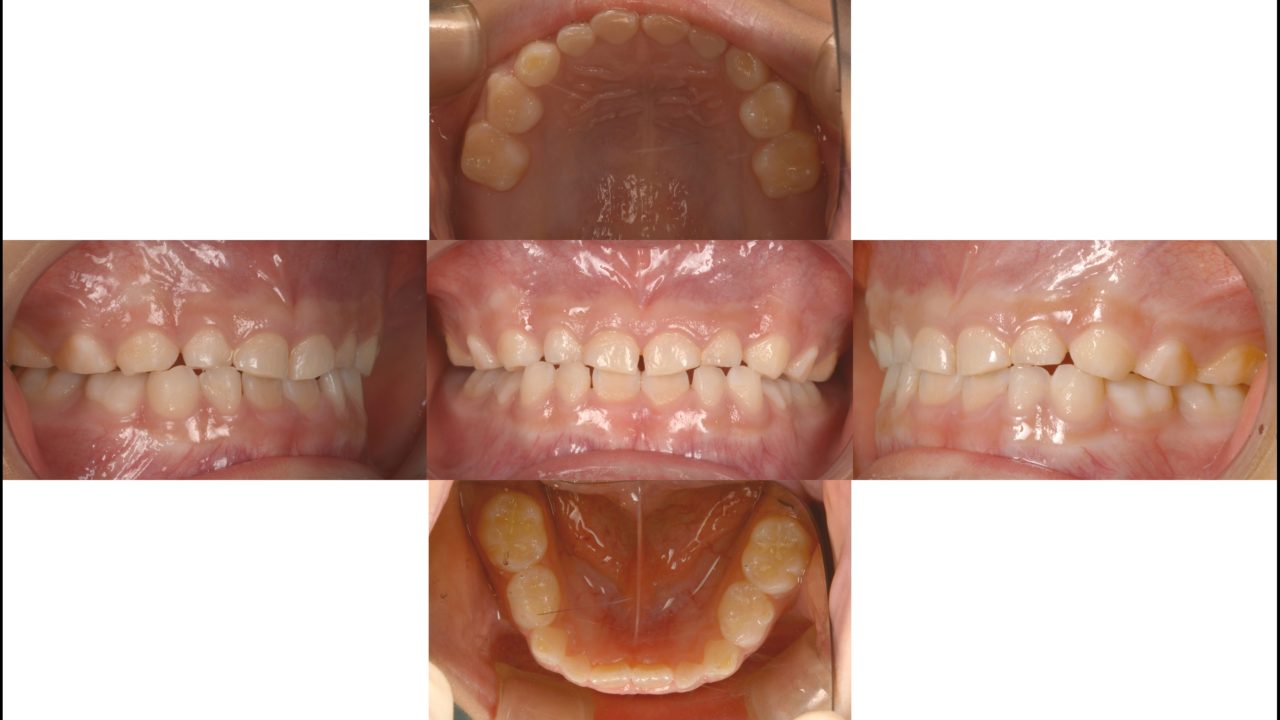
Before

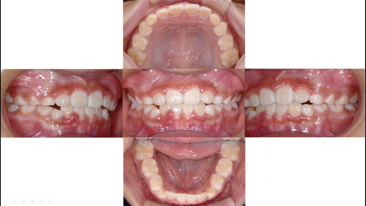
After
| 主訴 | 乳前歯4本の反対咬合 |
|---|---|
| 診断 | #1 舌のポジション不正による乳歯列の反対咬合 #2 永久歯下顎前歯の叢生 |
| 矯正方法 | #1 ムーシールド #2 床矯正とマルチブラケットシステムによる第1期治療 |
| 矯正期間 | #1 14か月 #2 18か月 |
| 費用 | #1 59,000円 #2 345,000円(検査費含む、ともに税別) |
| 調整料 | #1 1,000円 #2 3,000~5,000円(ともに税別) |
| 備考 | 6歳の男子で反対咬合を主訴に来院されました。生え変わりがやや遅く、6歳臼歯がまだ生えていない状態だったので、急いでムーシールドSで反対咬合の治療を行うことにしました。6歳臼歯萌出後はムーシールドMになりますが、Sの方が遊びが少なく、治療成績が良いと感じているからです。装着後3か月で反対咬合は改善しました。 永久歯が交換するとき、下顎前歯の叢生(ガタガタ)が出たので、床矯正による拡大配列治療を行いました。順調に行けば9か月ほどで終わる治療でしたが、装置を入れる時間が短く、思うように治療が進まなかったため、18か月と2倍くらいの治療期間がかかってしまいました。しかし、仕上がりはきれいにできました。ここから側方永久歯の生え変わりを管理していきます。 |
治療詳細

初診 2017.12.21
6歳3か月、反対咬合(受け口)を主訴に来院。 ムーシールドによる機能的矯正開始。

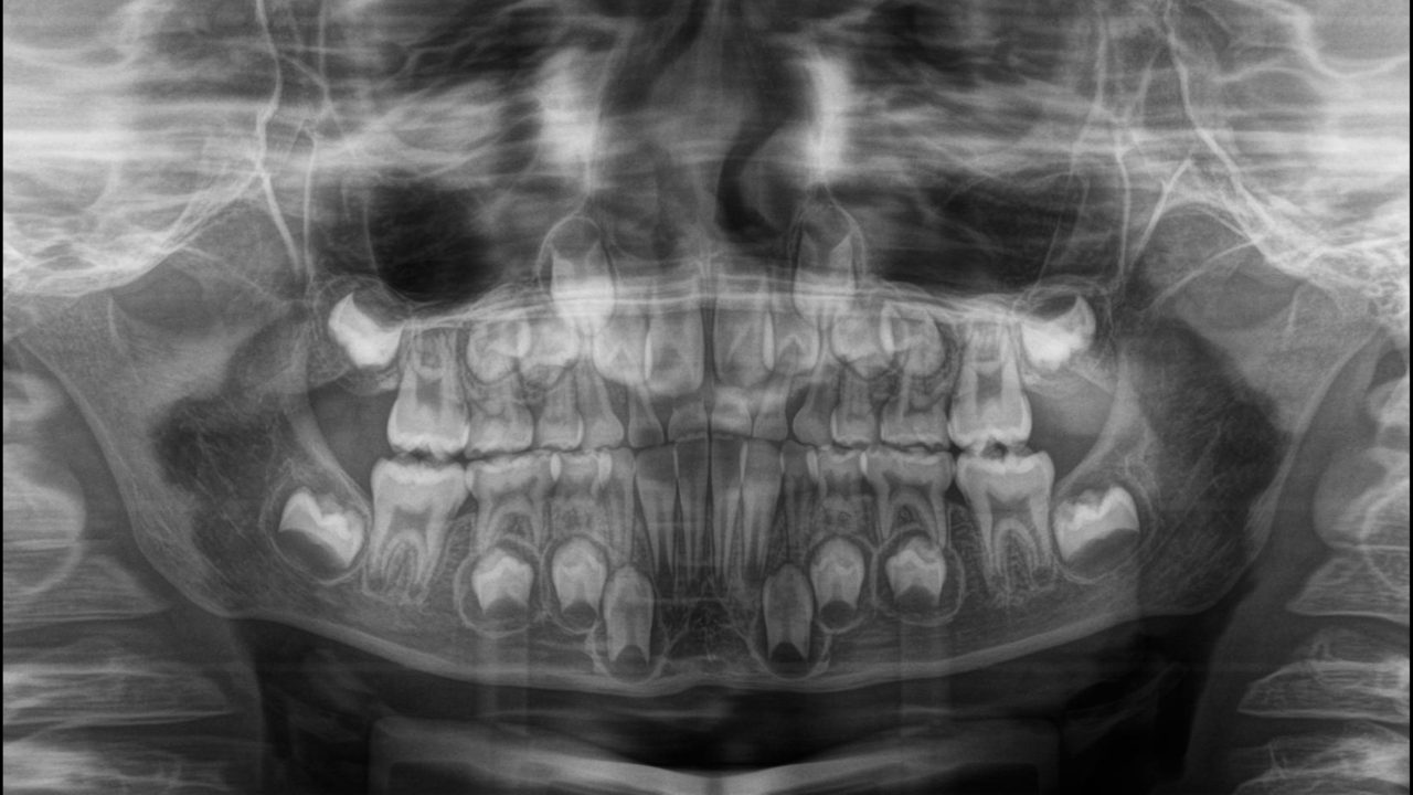
初診 レントゲン
歯の本数、位置に以上は認めない。

反対咬合改善 2018.3.20
ムーシールド開始3か月で反対咬合改善。舌位置習慣を完全に良化するため、1年間は使ってもらう。

床矯正開始 2019.4.23
反対咬合は改善したが、永久歯の下顎前歯に重度の叢生を認めたため、床矯正による歯列拡大治療を行った。

床矯正終了 2020.5.26
本来は6か月程度で終了する過程だが、装置を入れる時間が短く、13か月を要した。

マルチブラケット 2020.6.3
スペースはできたので、マルチブラケットによる歯列改善を行った。

第1期治療終了 2020.8.14
前歯が正常咬合であり、叢生がない状態を確立した。今後はメインテナンスで側方歯永久歯の萌出を管理する

治療後レントゲン
側方歯のスペースは確保されている。
